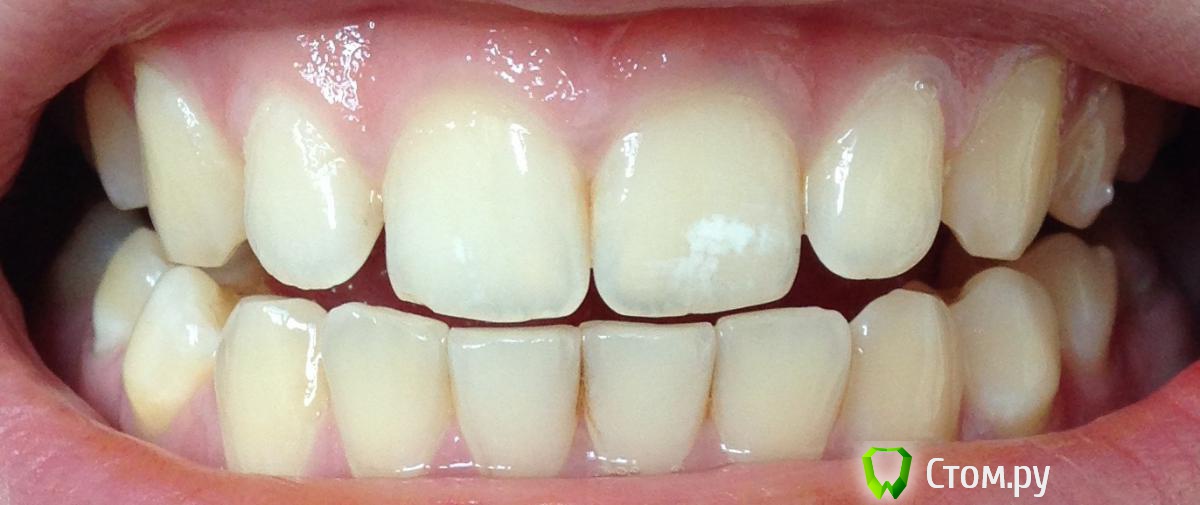
dren Опубликовано 18 марта, 2014 Поделиться Опубликовано 18 марта, 2014 Доброго времени суток.Меня беспокоит проблема пятен на двух передних зубах. По утрам пятен обычно практически не видно, а к вечеру достаточно. Был на приеме у стоматолога, сказал что ничего серьезного (мало кальция в организме), нужно кушать побольше молочных продуктов и не чистить зубы пастой с фтором. Уже прошел наверно год, но ситуация так и не изменилась в лучшую сторону. Что можете посоветовать, отбеливать зубы или есть какие то варианты еще? Ссылка на комментарий
Гарриевич Опубликовано 18 марта, 2014 Поделиться Опубликовано 18 марта, 2014 У Вас флюороз, самой безобидной стадии. Кушать и пить можете на здоровье, но от пятен это к сожалению не избавит. Лечений есть два варианта:1 - отбеливание ( вероятно пятен на отбеленных зубах видно не будет )2 - перекрыть пятна реставрацией Ссылка на комментарий
Scrabble Опубликовано 20 марта, 2014 Поделиться Опубликовано 20 марта, 2014 Можно ещё попробовать микрошлифовку с последующим перекрытием Icon. После ночи пятен не видно потому, что Вы, наверно, ртом во сне дышите. Эмаль пересыхает и белеет.Если на что-то кардинальное не решаетесь пока, то можно купить гель Рокс минералс в пакетиках-и каждый вечер после чистки наносить на пятна в слегка разогретом виде(то есть, каждый пакетик предварительно разогревать под краном с горячей водой-и втирать в чистую эмаль ватной палочкой) Потом ничего не есть, не пить. Пятна станут более блестящими и менее выраженными. 1 Ссылка на комментарий
Рекомендуемые сообщения
Для публикации сообщений создайте учётную запись или авторизуйтесь
Вы должны быть пользователем, чтобы оставить комментарий
Создать аккаунт
Зарегистрируйте новый аккаунт в нашем сообществе. Это очень просто!
Регистрация нового пользователяВойти
Уже есть аккаунт? Войти в систему.
Войти