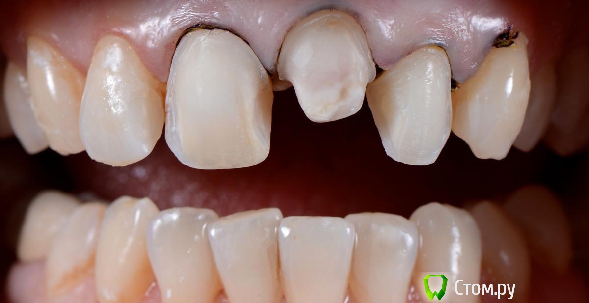
RRM Опубликовано 16 марта, 2014 Поделиться Опубликовано 16 марта, 2014 Уважаемые коллеги! Пациентку не устраивало положение, цвет и форма передних зубов, также наличие кариеса и старых пломб. Прошу оценить кейс и хотел бы услышать как бы Вы поступили в данной ситуации. 3 Ссылка на комментарий
M@estro Опубликовано 16 марта, 2014 Поделиться Опубликовано 16 марта, 2014 (изменено) Сложно судить,как поступил бы я в этой ситуации. Но почти уверен,что очень настаивал бы на ортодонтии. Почти категорически. Но работа получилась симпатичная, правда "зениты" пляшут,а улыбка ,видимо,открытая. Изменено 16 марта, 2014 пользователем M@estro 2 Ссылка на комментарий
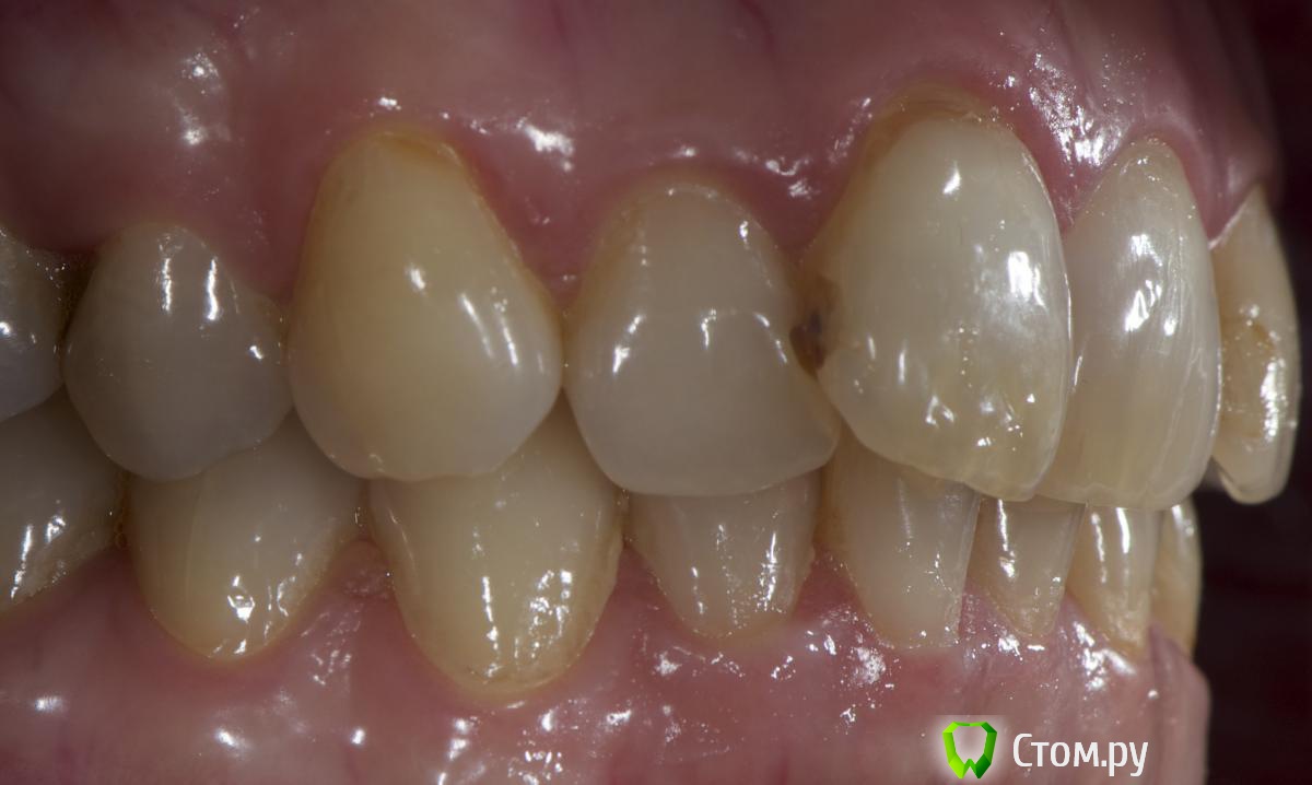
scarifikator Опубликовано 16 марта, 2014 Поделиться Опубликовано 16 марта, 2014 Хорошая потоковая работа. Думаю пациентка полностью довольна. А с зенитами заметил, пока пациенту не начнеш показывать и объяснять, он эту разницу и не замечает. Ссылка на комментарий
RRM Опубликовано 16 марта, 2014 Автор Поделиться Опубликовано 16 марта, 2014 Сложно судить,как поступил бы я в этой ситуации. Но почти уверен,что очень настаивал бы на ортодонтии. Почти категорически. Но работа получилась симпатичная, правда "зениты" пляшут,а улыбка ,видимо,открытая.Не согласилась так как она педагог(на реставрациях прорабатывали все возможные звуки которые могли бы измениться за счет изменения небного положения 21 зуба), да и не убеждал так как за период наблюдения оставался высокий гигиенический индекс. На фото максимальная улыбка которой смогли добиться) Ссылка на комментарий
RRM Опубликовано 16 марта, 2014 Автор Поделиться Опубликовано 16 марта, 2014 Хорошая потоковая работа. Думаю пациентка полностью довольна. А с зенитами заметил, пока пациенту не начнеш показывать и объяснять, он эту разницу и не замечает.Это верно что пациентка довольна, а на счет зенитов сразу рассказал, но это не являлось приоритетом 1 Ссылка на комментарий
komar56 Опубликовано 16 марта, 2014 Поделиться Опубликовано 16 марта, 2014 Хорошая информативная работа! Молодцы. Некоторые замечания выше есть. Но в реальной жизни ок! Ссылка на комментарий
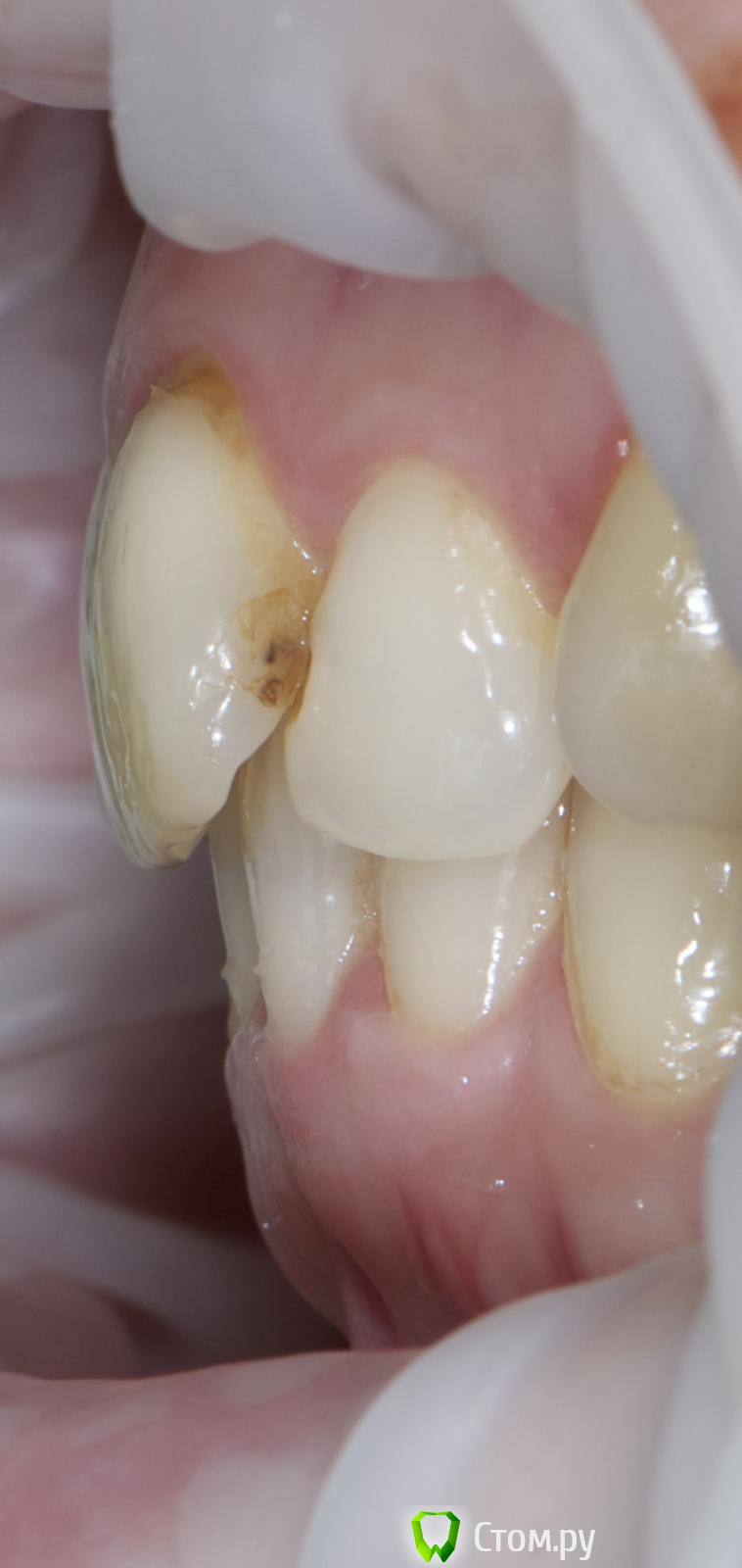
M@estro Опубликовано 16 марта, 2014 Поделиться Опубликовано 16 марта, 2014 Не согласилась так как она педагог Ну почему и написал - "сложно судить". Тут мы видим случай, а Вы работаете с человеком. А по работе - по фото вижу ,что либо недосепарировали, либо перепилили 1.1 апроксимально к 1.2 . Я бы просепарировал полностью - либо препарировал более щадяще, с сохранением зоны контакта. А тут контакт на стыке , мне кажется. Возможно,я не прав - фоток тогда дозалейте 1 Ссылка на комментарий
RRM Опубликовано 16 марта, 2014 Автор Поделиться Опубликовано 16 марта, 2014 Ну почему и написал - "сложно судить". Тут мы видим случай, а Вы работаете с человеком. А по работе - по фото вижу ,что либо недосепарировали, либо перепилили 1.1 апроксимально к 1.2 . Я бы просепарировал полностью - либо препарировал более щадяще, с сохранением зоны контакта. А тут контакт на стыке , мне кажется. Возможно,я не прав - фоток тогда дозалейтеСпасибо за комменты, изза кариеса немного углубился, есть фото но не совсем финиш Ссылка на комментарий
M@estro Опубликовано 16 марта, 2014 Поделиться Опубликовано 16 марта, 2014 отполирована классно . Думаю,надо было сносить. Но есть одно "но". На 1.2 - композитная реставра на контакте, так что кариесу она не подвержена ) Ссылка на комментарий
RRM Опубликовано 16 марта, 2014 Автор Поделиться Опубликовано 16 марта, 2014 отполирована классно . Думаю,надо было сносить. Но есть одно "но". На 1.2 - композитная реставра на контакте, так что кариесу она не подвержена ) Наверное стоило бы снести, учитывая вышесказанный факт про гигиену 2 Ссылка на комментарий
stomlg Опубликовано 17 марта, 2014 Поделиться Опубликовано 17 марта, 2014 я до сих пор не могу себе понять, когда нужно полностью контакт сепарировать, а когда сохранять его )) разъясните? Ссылка на комментарий
M@estro Опубликовано 18 марта, 2014 Поделиться Опубликовано 18 марта, 2014 (изменено) когда нужно полностью контакт сепарировать, а когда сохранять его )) разъясните? Сепарировать , если : 1) кариес/ пломба2) нужно менять положение и размер зуба3) нужно полностью изменить цвет зуба4) неплотный контакт с "соседом" - это на усмотрение,зависит от инвазивности работы в - принципе. P.s. Можно сепарировать,если хочется пилить,пилить,ПИЛИТЬ !.. Изменено 18 марта, 2014 пользователем M@estro Ссылка на комментарий
Bonaventura Опубликовано 11 апреля, 2014 Поделиться Опубликовано 11 апреля, 2014 я начинающий ортопед, кто может этапы написать, чтобы все было понятно и в голове улеглось по полочкам? Я думаю такая последовательность: диагностические модели, васк ап, преп, времянки(из чего и на что клеить?), примерки( во время примерки их нужно на что то клеить чтобы виниры с зубов не сваливались?). А когда нужно преп заводить на внутреннюю поверхность? Ссылка на комментарий
M@estro Опубликовано 11 апреля, 2014 Поделиться Опубликовано 11 апреля, 2014 я начинающий ортопед, кто может этапы написать, чтобы все было понятно и в голове улеглось по полочкам? Я думаю такая последовательность: диагностические модели, васк ап, преп, времянки(из чего и на что клеить?), примерки( во время примерки их нужно на что то клеить чтобы виниры с зубов не сваливались?). А когда нужно преп заводить на внутреннюю поверхность? Мой Вам совет - посидите недельку на форуме - и почитайте. Если каждый любой ортопед,который регулярно постит, начнёт писать Вам этапы- уйдёт пару дней на написание. 1 Ссылка на комментарий
Lolopop Опубликовано 21 мая, 2014 Поделиться Опубликовано 21 мая, 2014 сегодня пациент немного в ступор ввел меня вопросом, а можно ли после протезирования винирами (через несколько лет) поставить брекет систему? и на самом деле - каковы действия - снятие виниров - изготовление временных виниров пластмассовых???или изготовление коронок пластмассовых??? Ссылка на комментарий
M@estro Опубликовано 21 мая, 2014 Поделиться Опубликовано 21 мая, 2014 сегодня пациент немного в ступор ввел меня вопросом, а можно ли после протезирования винирами (через несколько лет) поставить брекет систему? и на самом деле - каковы действия - снятие виниров - изготовление временных виниров пластмассовых???или изготовление коронок пластмассовых??? Инвизилайн - и нет проблем. Ну или брекеты к виниру, аццкий вариант,но имеет право на жизнь. Ссылка на комментарий
Lolopop Опубликовано 21 мая, 2014 Поделиться Опубликовано 21 мая, 2014 Инвизилайн - и нет проблем. Ну или брекеты к виниру, аццкий вариант,но имеет право на жизнь. каппы то понятно, а на сколько брекет прилипает к керамике?))) может кто так делал? Ссылка на комментарий
Rash163 Опубликовано 21 мая, 2014 Поделиться Опубликовано 21 мая, 2014 (изменено) каппы то понятно, а на сколько брекет прилипает к керамике?))) может кто так делал? это как плавликом протравить, а то и с куском керамики при снятии выдрать можно. Липнет брекет к стеклу. Если все по протоколу. Изменено 21 мая, 2014 пользователем Rash163 1 Ссылка на комментарий
Рекомендуемые сообщения
Для публикации сообщений создайте учётную запись или авторизуйтесь
Вы должны быть пользователем, чтобы оставить комментарий
Создать аккаунт
Зарегистрируйте новый аккаунт в нашем сообществе. Это очень просто!
Регистрация нового пользователяВойти
Уже есть аккаунт? Войти в систему.
Войти