Рэм Опубликовано 14 марта, 2014 Поделиться Опубликовано 14 марта, 2014 Всем доброго времени суток. Мне удалили зуб 12.03.2014. Всё прошло нормально. Кровяной сгусток из челюстного гнезда, не выполаскивал. Сегодня заметил на ране, по поверхности кровяного сгустка - желтоватую плёнку. Опасаюсь нагноения, а может быть это нормально? Опухания и боли нет. Не судите строго, не умею пока пользоваться Вашим форумом. Попробую загрузить фото. 1 - рана в день удаления. 2 - 3 - удалённый зуб. Немного позже, придёт человек, поможет мне сфотографировать, как выглядит рана сейчас, загружу. Ссылка на комментарий
АнтонТЛТ Опубликовано 14 марта, 2014 Поделиться Опубликовано 14 марта, 2014 Если особо не болит, то не стоит беспокоится. Вероятнее всего это фибриновый налет. 2 Ссылка на комментарий
Рэм Опубликовано 14 марта, 2014 Автор Поделиться Опубликовано 14 марта, 2014 АнтонТЛТ, благодарю за отклик. Вот так, выглядит рана сейчас. Ссылка на комментарий
IvanK Опубликовано 14 марта, 2014 Поделиться Опубликовано 14 марта, 2014 Все в порядке. Не переживайте. 2 Ссылка на комментарий
Рэм Опубликовано 14 марта, 2014 Автор Поделиться Опубликовано 14 марта, 2014 IvanK, успокоили меня, спасибо. Ссылка на комментарий
IvanK Опубликовано 14 марта, 2014 Поделиться Опубликовано 14 марта, 2014 IvanK, успокоили меня, спасибо. На здоровье Ссылка на комментарий
red_butler Опубликовано 14 марта, 2014 Поделиться Опубликовано 14 марта, 2014 Рэм а с какой целью сделаны первые три фото? Надеюсь это не хобби 2 Ссылка на комментарий
Рэм Опубликовано 14 марта, 2014 Автор Поделиться Опубликовано 14 марта, 2014 Я с детства любил биологию. Врачом, мне не суждено было стать. Интерес к анатомии человеческого организма остался. Всегда боялся лечить зубы. Но, в этот последний раз (когда удаляли) страх исчез. Появилось желание разобраться, что с этим зубом. Прихватил его домой и пофоткал в волю, со всех сторон. Самое интересное, что корень был сломан ещё будучи в челюсти. Но доктор удалил его без проблем. Больно не было. 1 Ссылка на комментарий
red_butler Опубликовано 14 марта, 2014 Поделиться Опубликовано 14 марта, 2014 будем ждать фото имплантации и протезирования 2 Ссылка на комментарий
Рэм Опубликовано 14 марта, 2014 Автор Поделиться Опубликовано 14 марта, 2014 Все новости по этому зубу, обязательно буду выкладывать - в фотографиях. 3 Ссылка на комментарий
Рэм Опубликовано 15 марта, 2014 Автор Поделиться Опубликовано 15 марта, 2014 Хотел бы ещё добавить для пациентов. Посмотрите, что находится внутри гниющего зуба. Помните, сколько бы вы не тянули, всё равно, вам придётся идти к врачу. Чем дольше вы медлите, тем больше эта гниль, отравляет ваш организм. 3 Ссылка на комментарий
IvanK Опубликовано 15 марта, 2014 Поделиться Опубликовано 15 марта, 2014 Впечатляет..) 1 Ссылка на комментарий
Рэм Опубликовано 15 марта, 2014 Автор Поделиться Опубликовано 15 марта, 2014 Спасибо. Ссылка на комментарий
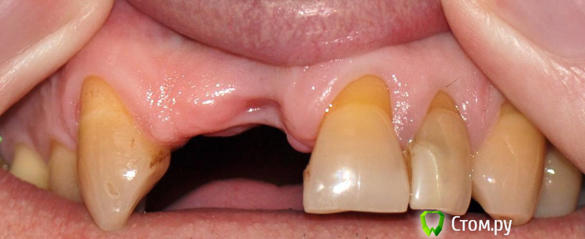
Рэм Опубликовано 16 апреля, 2014 Автор Поделиться Опубликовано 16 апреля, 2014 Всем доброго времени суток. Извиняюсь за то что, возможно не в тему, но возможно будет понятнее в этой теме написать, так как участок ротовой полости тот же. Хотел бы спросить у уважаемых врачей. Место где были удалены зубы, на данный момент, выглядит вот так. Я задумал поставить нейлоновый съёмный протез. Можно ли его сейчас ставить или надо подождать? Звонил в одну из клиник В. Новгорода, цена от 12000 до 16000 рублей. Я в ценах не ориентируюсь. Подскажите пожалуйста и по цене. Сколько должен стоить такой протез? Ссылка на комментарий
red_butler Опубликовано 16 апреля, 2014 Поделиться Опубликовано 16 апреля, 2014 По цена ничего не подскажу, такие вопросы на форуме не обсуждаются. Вы планируете съёмное протезирование как постоянное? Настоятельно не рекомендую, "по гробите" кость и десну. Как временное решение - каппа или адгезивный (приклеенный) "мост" 1 Ссылка на комментарий
sydnik Опубликовано 16 апреля, 2014 Поделиться Опубликовано 16 апреля, 2014 Я задумал поставить нейлоновый съёмный протез.потом сильно пожалеете о содеянном, он как и любой съемный будет иметь подвижность и откусывать проблематично , а про эстетику вообще молчу...+1 имплантация Ссылка на комментарий
Рэм Опубликовано 16 апреля, 2014 Автор Поделиться Опубликовано 16 апреля, 2014 Red_butler, Sydnik, благодарю Вас за советы. Ссылка на комментарий
Рекомендуемые сообщения
Для публикации сообщений создайте учётную запись или авторизуйтесь
Вы должны быть пользователем, чтобы оставить комментарий
Создать аккаунт
Зарегистрируйте новый аккаунт в нашем сообществе. Это очень просто!
Регистрация нового пользователяВойти
Уже есть аккаунт? Войти в систему.
Войти