Юлия Арт Опубликовано 12 марта, 2014 Поделиться Опубликовано 12 марта, 2014 здравствуйте! мне всего 26 лет, ситуация с зубами у меня критическая, уже 2 удалены из-за больших кист под ними, сейчас болят сильно три коренных зуба наверху 8-6-4 , болели обычно когда ела, старалась избегать контакта с ними, языком пробовала зубы-стреляло сильно. Врач посмотрел снимки, сказал что пломбы очень глубокие, доходят до нервов, выход только удалять нервы. Пару дней назад начали удаление нервов в 3-х зубах, боль пульсирующая прошла, на холодное не болит, но докасаться до зубов невозможно, болит так же! есть на них не могу, если по зубам постучать-небольно,но если немного из стороны в сторону надавить на некоторые участки этих зубов - болит сильно! Уже не знаю что делать...врач говорит что надо подождать, но чего ждать когда мне ясно что удаление нервов не помогло. Уже думаю, может, они поломаны...есть снимок до удаления нервов пожалуйста, помогите советом что делать и что может быть с моими зубами Ссылка на комментарий
Scrabble Опубликовано 12 марта, 2014 Поделиться Опубликовано 12 марта, 2014 Вам сразу три зуба депульпировали? 1 Ссылка на комментарий
IvanK Опубликовано 12 марта, 2014 Поделиться Опубликовано 12 марта, 2014 Выложите панорамный снимок. Ссылка на комментарий
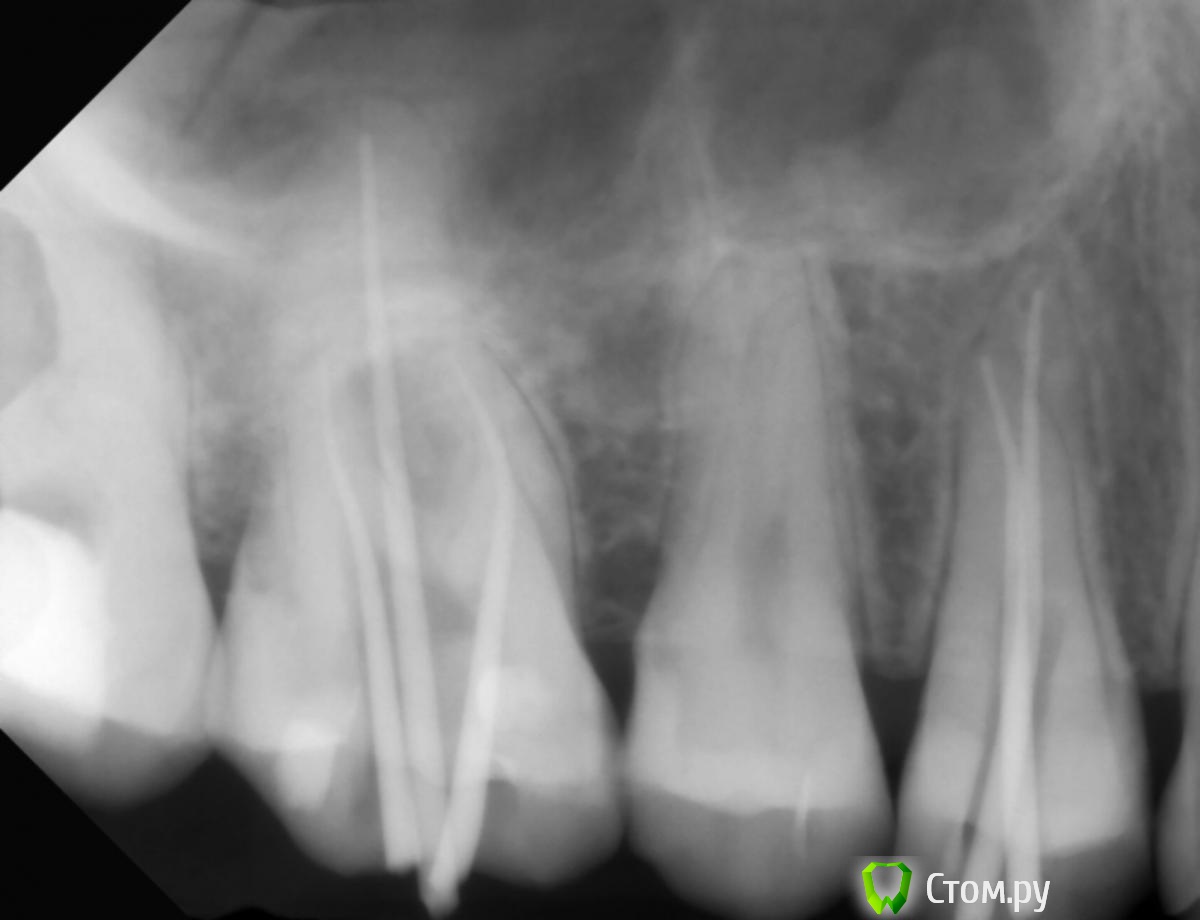
Юлия Арт Опубликовано 12 марта, 2014 Автор Поделиться Опубликовано 12 марта, 2014 снимок сделан в прошлом году, другого пока нет. нижняя 6-как и верхняя 5-ка удалены так как кисты под ними были.3 зуба с нервами за 2 дня депульпировали так как болело так что обезболивающее не брало... уже сомневаюсь что надо было это делать, хотя каналы кровили во всех зубах-пульпит был долгое время Ссылка на комментарий
anvladd Опубликовано 12 марта, 2014 Поделиться Опубликовано 12 марта, 2014 (изменено) Выкладывайте контрольные снимки без них обсуждать нечего. Изменено 12 марта, 2014 пользователем anvladd Ссылка на комментарий
Юлия Арт Опубликовано 12 марта, 2014 Автор Поделиться Опубликовано 12 марта, 2014 уже запросила фото, как только получу-обязательно выложу здесь. Мне очень нужно ваше мнение, до завтра,дорогие специалисты Ссылка на комментарий
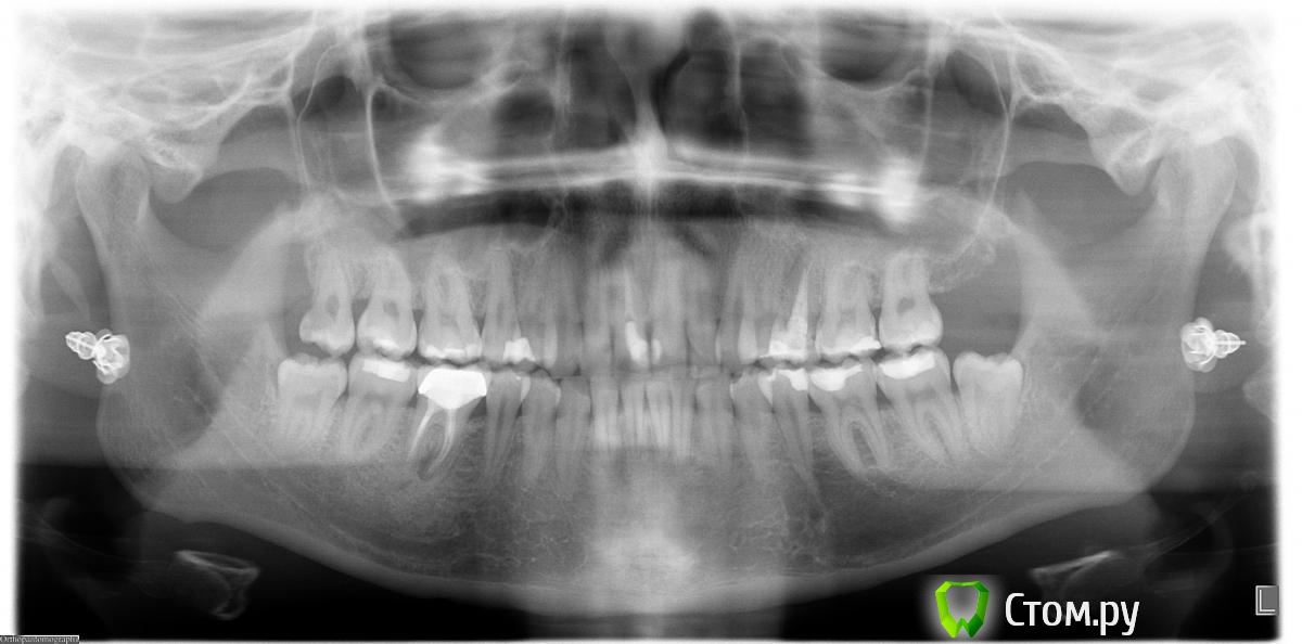
Юлия Арт Опубликовано 13 марта, 2014 Автор Поделиться Опубликовано 13 марта, 2014 вот фото, панорамный сделали сегодня (вторая кист куда-то делась у верхней 5-ки, вырывать зуб не стали),троица с депульпцией болит и ноет сильно, есть на них не могу Ссылка на комментарий
anvladd Опубликовано 13 марта, 2014 Поделиться Опубликовано 13 марта, 2014 17 зуб похоже проблемный уж слишком пломба глубоко. Ссылка на комментарий
Л Ю С Я Опубликовано 13 марта, 2014 Поделиться Опубликовано 13 марта, 2014 1.4 перелечивать, разобраться с 1.7 и 1.5, возможно и 1.6 проблемный Ссылка на комментарий
Юлия Арт Опубликовано 13 марта, 2014 Автор Поделиться Опубликовано 13 марта, 2014 17 зуб похоже проблемный уж слишком пломба глубоко.а что с ним делать? нерв удалили, а болит сильно при соприкосновении с нижним зубом и пищей Ссылка на комментарий
anvladd Опубликовано 13 марта, 2014 Поделиться Опубликовано 13 марта, 2014 Нерв удалили в 16 а вот 17 судя по снимку под подозрением. И как писала доктор выше 14 перелечивать каналы. Ссылка на комментарий
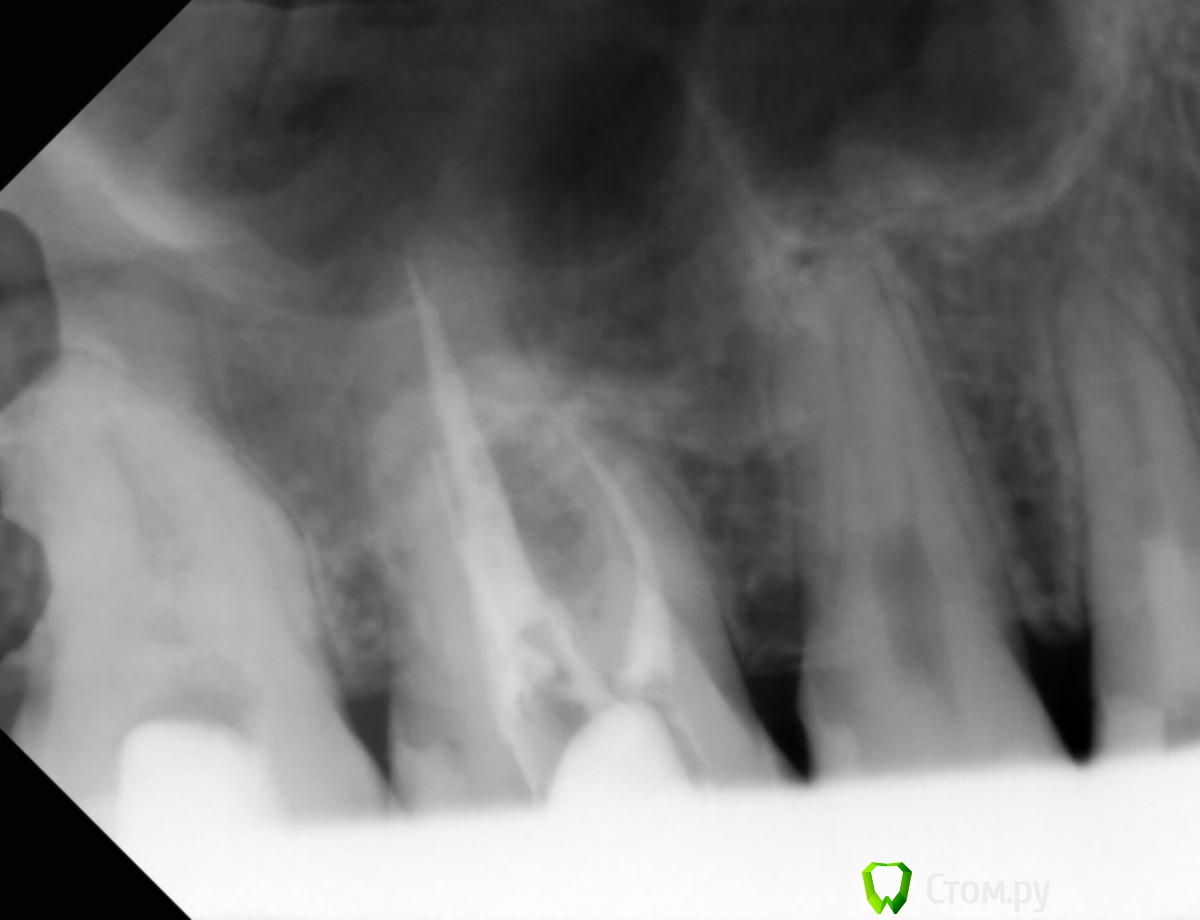
Юлия Арт Опубликовано 13 марта, 2014 Автор Поделиться Опубликовано 13 марта, 2014 (изменено) уважаемые, уже третий день после начала депульпации 7, 6(завершено) и 4-го верхних болит вся цека и все зубы 7-6-5-4...есть на них не могу, такое ощущение что их распирает изнутри, если стучать по ним-небольно, но есть неокторые места куда если пища попадает или пальцем надавить - стреляет больно! через 2 недели только приём у врача на завершение депульпации... а я ждать не смогу, отнимается левая верхняя сторона. судя по фото, что там может быть? или нервы в зубах или , может, они поломаны или десна воспалены? воможности КТ сделать пока нет Изменено 13 марта, 2014 пользователем Юлия Арт Ссылка на комментарий
Mane Опубликовано 13 марта, 2014 Поделиться Опубликовано 13 марта, 2014 По снимкам в проведенных манипуляциях криминала нет. Запасайтесь обезболивающими и ждите. Должно пройти. Если доктор сделал все правильно - весь протокол - то все пройдет. Ссылка на комментарий
anvladd Опубликовано 13 марта, 2014 Поделиться Опубликовано 13 марта, 2014 уважаемые, уже третий день после начала депульпации 7, 6(завершено) и 4-го верхних болит вся цека и все зубы 7-6-5-4...есть на них не могу, такое ощущение что их распирает изнутри, если стучать по ним-небольно, но есть неокторые места куда если пища попадает или пальцем надавить - стреляет больно! через 2 недели только приём у врача на завершение депульпации... а я ждать не смогу, отнимается левая верхняя сторона. судя по фото, что там может быть? или нервы в зубах или , может, они поломаны или десна воспалены? воможности КТ сделать пока неттак потому и болит что,как я понимаю,не завершена депульпация 7 и 4 зубов. Вы вложили снимок до или после депульпации, напишите. 1 Ссылка на комментарий
Юлия Арт Опубликовано 14 марта, 2014 Автор Поделиться Опубликовано 14 марта, 2014 так потому и болит что,как я понимаю,не завершена депульпация 7 и 4 зубов. Вы вложили снимок до или после депульпации, напишите.всё верно понимаете, у 6-го каналы вроде почистили, хотя я тут начиталась что их там 4-ре, врач нашёл только 3. 6-й тоже болит сильно, они вообще все с 7-го по 4-й дружно ноют и стреляют. скорее всего там не просто пульпит был, но и периодонтит судя по моим симптомам Ссылка на комментарий
anvladd Опубликовано 14 марта, 2014 Поделиться Опубликовано 14 марта, 2014 тогда долечивать 7,4 и перелечивать 6,искать 4й канал. удачи. Ссылка на комментарий
Рекомендуемые сообщения
Для публикации сообщений создайте учётную запись или авторизуйтесь
Вы должны быть пользователем, чтобы оставить комментарий
Создать аккаунт
Зарегистрируйте новый аккаунт в нашем сообществе. Это очень просто!
Регистрация нового пользователяВойти
Уже есть аккаунт? Войти в систему.
Войти