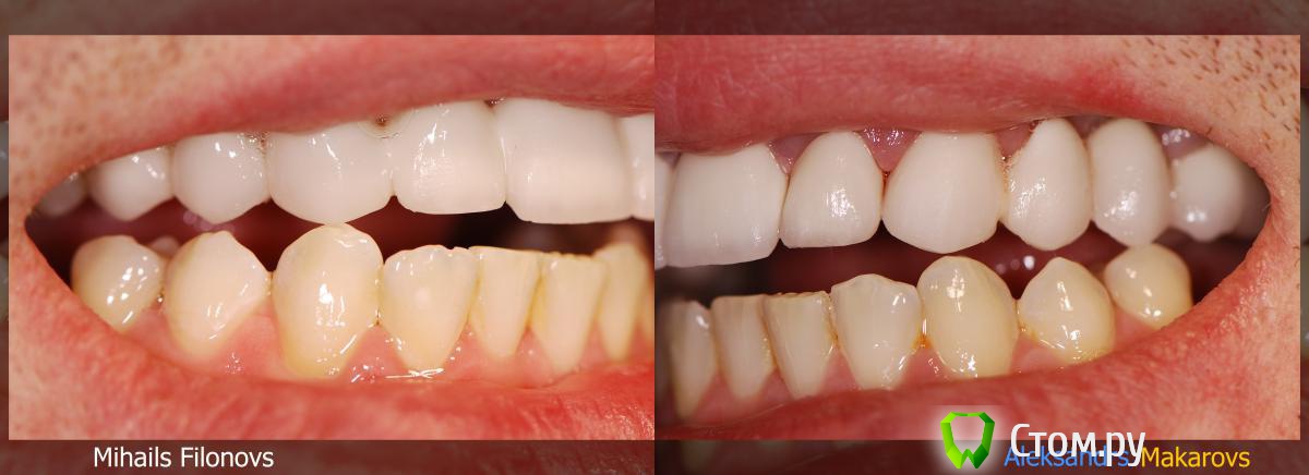
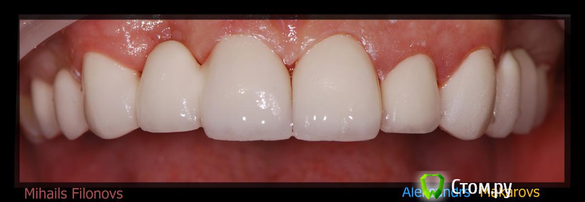
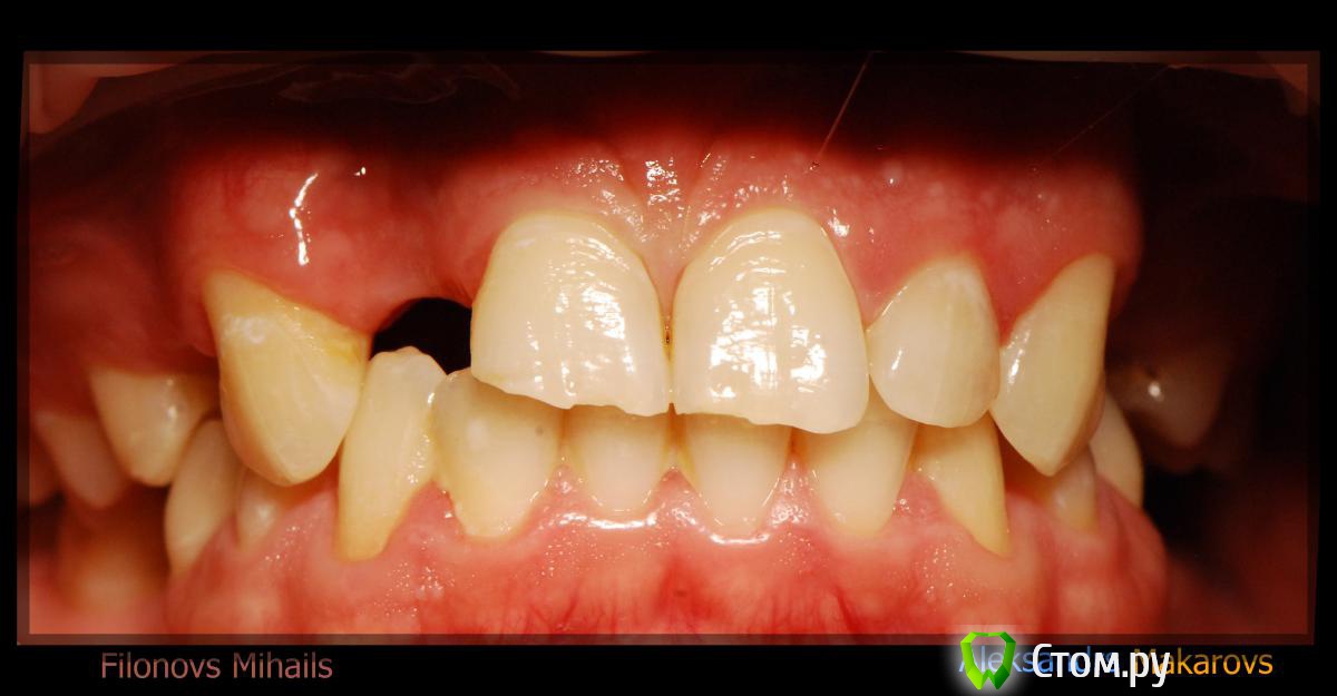
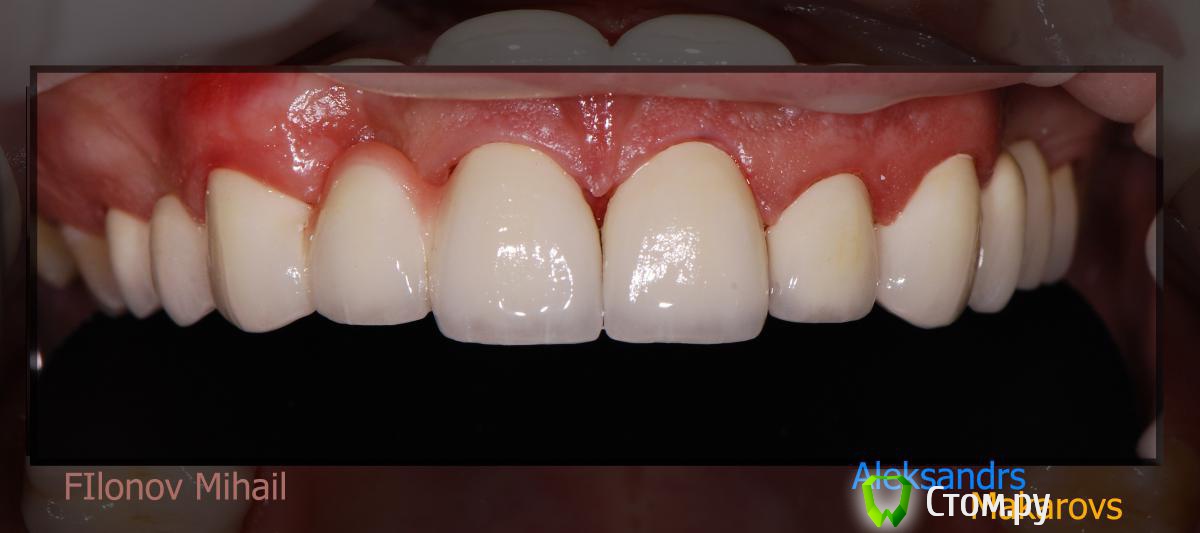
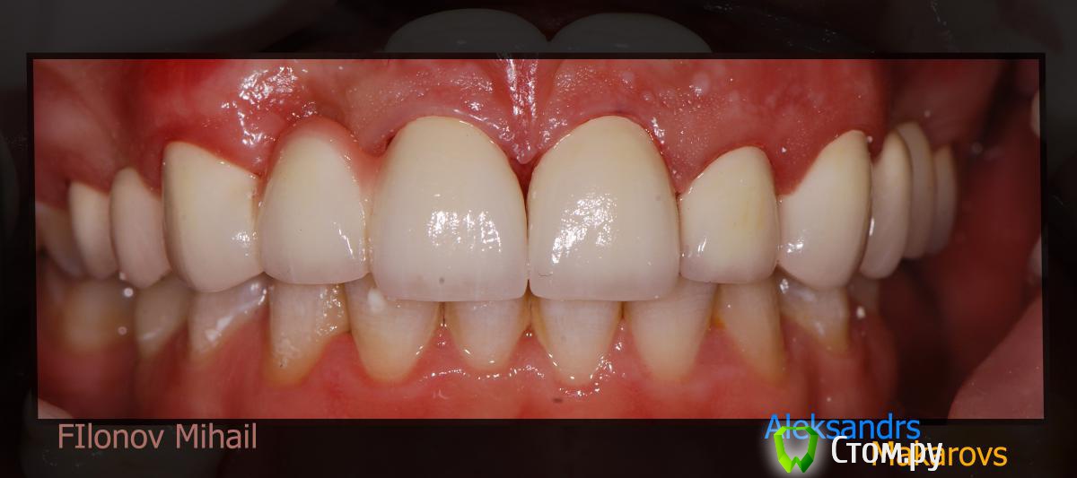
Al Kasandr Опубликовано 9 марта, 2014 Поделиться Опубликовано 9 марта, 2014 Пациент - М, 33 г.Отсутствие зубов 12,14, 24, 25От предложенных процедур по аугментации и имплантации на верхней челюсти - вежливо отказался.Альтернатива - мосты на основе ДЦ. Нижняя челюсть приговорена к имплантации. Ход пройденых действий.1 - waxup верхняя и нижняя челюсть.2 - обточка и временные по восковому шаблону. Отдых на недельку. Толщина бора ддя Обточки - 1мм. Оптика 3.5х3 - временные пластмассовые реставрации из лаборатории. еще отдых на недельку.4 - коррекция обточки, слепки - 2х этапные.5 - каркас (выточен на Амман Гирбах точилке) примерка, на вазелине, чтоб не слетали.6 - бисквит, корекции - по форме. цвет по желанию клиента. нижняя челюсть отбеливается.7 - цементируем (тут на фосфат цемент. чисто клинические недочеты) Пациент говорит что нравится. На фото вижу, что можно было еще улучшить.Жду ваших советов, критику! Некоторых фото этапов нет. найду выложу! 2 Ссылка на комментарий
Im@m Опубликовано 10 марта, 2014 Поделиться Опубликовано 10 марта, 2014 красиво! единственно мне кажется что нужно было бы приподнять прикус маленько. ОПТГ и резальтат через месяц выложи Ссылка на комментарий
Lolopop Опубликовано 10 марта, 2014 Поделиться Опубликовано 10 марта, 2014 улыбка у пациента очень интересная, вроде бы дефект 12 зуба обычно люди скрывают, а тут он кривит именно правым уголком рта...=) Ссылка на комментарий
Lolopop Опубликовано 10 марта, 2014 Поделиться Опубликовано 10 марта, 2014 жаль что отказался от хирургии 12 зуба... а так очень достойно)) Ссылка на комментарий
Ст@ся Опубликовано 10 марта, 2014 Поделиться Опубликовано 10 марта, 2014 Работа врача ортопеда - не только корректно "обточить" зубы - все ваши усилия идут прахом ввиду отсутствия адекватной предортопедической подготовки. Ссылка на комментарий
Orient Опубликовано 10 марта, 2014 Поделиться Опубликовано 10 марта, 2014 кусок сст в области 12го и понтик Ссылка на комментарий
Al Kasandr Опубликовано 10 марта, 2014 Автор Поделиться Опубликовано 10 марта, 2014 Работа врача ортопеда - не только корректно "обточить" зубы - все ваши усилия идут прахом ввиду отсутствия адекватной предортопедической подготовкиМожно в более развернутом и конкретном варианте ваш ответ. пытаюсь извлечь полезную иформацию из всего, на будущее. Ссылка на комментарий
Брэд Пэтро Опубликовано 10 марта, 2014 Поделиться Опубликовано 10 марта, 2014 Работа врача ортопеда - не только корректно "обточить" зубы - все ваши усилия идут прахом ввиду отсутствия адекватной предортопедической подготовки.А можно поподробнее? Не совсем по теме, но новую не вижу смысла создавать: подскажите пожалуйста, где про обработку под ДЦ почитать? Раньше уступы делали 1-1.3, недавно же видел обработку с уступом 0.3 мм. Скоро большая работа, а я не могу определиться до конца по обработке. Ссылка на комментарий
iБолит Опубликовано 10 марта, 2014 Поделиться Опубликовано 10 марта, 2014 А можно поподробнее? Не совсем по теме, но новую не вижу смысла создавать: подскажите пожалуйста, где про обработку под ДЦ почитать? Раньше уступы делали 1-1.3, недавно же видел обработку с уступом 0.3 мм. Скоро большая работа, а я не могу определиться до конца по обработке.0.3 Вы хотите под ДЦ? Может быть под е.мах? Ссылка на комментарий
Брэд Пэтро Опубликовано 11 марта, 2014 Поделиться Опубликовано 11 марта, 2014 0.3 Вы хотите под ДЦ? Может быть под е.мах?По логике вещей я что-то напутал, ведь каркас у ДЦ и тот толще 0.3мм. Ссылка на комментарий
Al Kasandr Опубликовано 11 марта, 2014 Автор Поделиться Опубликовано 11 марта, 2014 По логике вещей я что-то напутал, ведь каркас у ДЦ и тот толще 0.3мм. Одно дело теория. Другое - сколько может ваш техник вырезать из блока.Я перед работой несколько лабораторий опросил, сколько минимум монут выточить у себя в лабе. Не все дали четкий ответ, кроме 1й лаб, с кем работу и делал в итоге, зная цифры заранее. Ссылка на комментарий
Рекомендуемые сообщения
Для публикации сообщений создайте учётную запись или авторизуйтесь
Вы должны быть пользователем, чтобы оставить комментарий
Создать аккаунт
Зарегистрируйте новый аккаунт в нашем сообществе. Это очень просто!
Регистрация нового пользователяВойти
Уже есть аккаунт? Войти в систему.
Войти