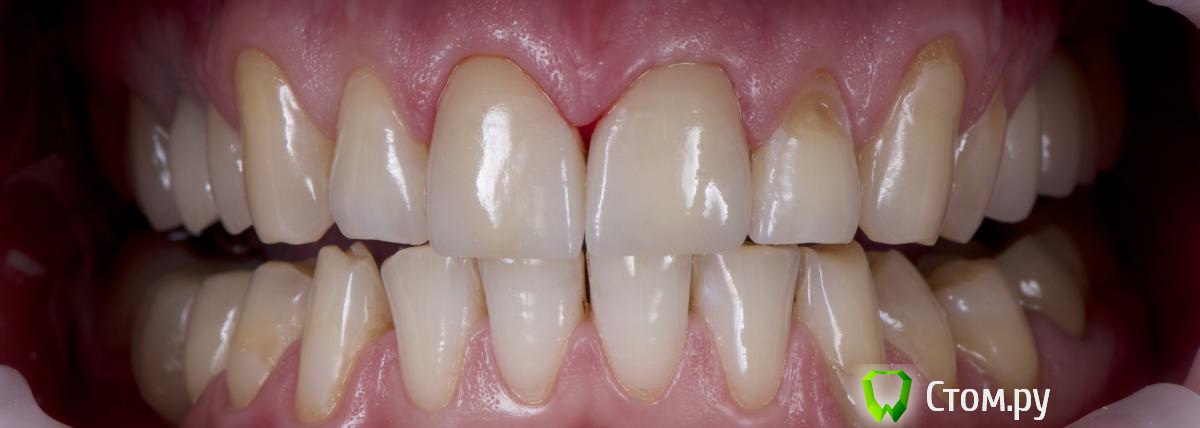
RRM Опубликовано 3 марта, 2014 Поделиться Опубликовано 3 марта, 2014 Уважаемые коллеги, прошу критики 11 Ссылка на комментарий
Mane Опубликовано 3 марта, 2014 Поделиться Опубликовано 3 марта, 2014 понравилось! Ссылка на комментарий
M@estro Опубликовано 3 марта, 2014 Поделиться Опубликовано 3 марта, 2014 Техник красавец . Хорошая работа! 2 Ссылка на комментарий
scarifikator Опубликовано 4 марта, 2014 Поделиться Опубликовано 4 марта, 2014 Техническое исполнение классное, хорошая эстетическая интеграция. Но как думаете, не колонутся в процессе протетической адаптации? ) Ссылка на комментарий
komar56 Опубликовано 4 марта, 2014 Поделиться Опубликовано 4 марта, 2014 (изменено) Работа красивая. Конусность культей великовата...Хотя мы не видим исходную ситуацию. Изменено 4 марта, 2014 пользователем komar56 Ссылка на комментарий
Heatshock Опубликовано 4 марта, 2014 Поделиться Опубликовано 4 марта, 2014 понравилось. Но оверпреп, имхо 1 Ссылка на комментарий
Kotyara Опубликовано 4 марта, 2014 Поделиться Опубликовано 4 марта, 2014 22 просится 1 Ссылка на комментарий
M@estro Опубликовано 4 марта, 2014 Поделиться Опубликовано 4 марта, 2014 22 просится в яблочко, именно об этом подумал, но не стал писать. Про оверпреп тоже подумал,но в меньшей степени - не видно исходника. Ссылка на комментарий
Evikrol Опубликовано 4 марта, 2014 Поделиться Опубликовано 4 марта, 2014 Завидую молча Ссылка на комментарий
DmitrySH Опубликовано 4 марта, 2014 Поделиться Опубликовано 4 марта, 2014 За счет 22 можно было бы чуть уже 21, хотя работа симпатичная Ссылка на комментарий
Bobby Опубликовано 5 марта, 2014 Поделиться Опубликовано 5 марта, 2014 Достойно. Фото спустя месяц глянуть бы. 1 Ссылка на комментарий
RRM Опубликовано 7 марта, 2014 Автор Поделиться Опубликовано 7 марта, 2014 Спасибо за "критику" Ссылка на комментарий
RRM Опубликовано 7 марта, 2014 Автор Поделиться Опубликовано 7 марта, 2014 Техническое исполнение классное, хорошая эстетическая интеграция. Но как думаете, не колонутся в процессе протетической адаптации? )Какие предпосылки для того чтобы они колонулись? Ссылка на комментарий
RRM Опубликовано 7 марта, 2014 Автор Поделиться Опубликовано 7 марта, 2014 22 проситсянапросился на пломбу Ссылка на комментарий
scarifikator Опубликовано 9 марта, 2014 Поделиться Опубликовано 9 марта, 2014 Какие предпосылки для того чтобы они колонулись?Абфракции и стираемость рядом стоящих Ссылка на комментарий
an_ver Опубликовано 10 марта, 2014 Поделиться Опубликовано 10 марта, 2014 Красиво,что сказать Ссылка на комментарий
RRM Опубликовано 10 марта, 2014 Автор Поделиться Опубликовано 10 марта, 2014 Абфракции и стираемость рядом стоящихСтираемость как правило имеется у всех наших пациентов, и мы протезируем их на ура, свидетельство тому клинические случаи на данном форуме, и о сколах мало кто говорит, либо скрывает либо их не так много, а неудачи которые выкладывается, это как правило последствия неправильной эксплуатации зубов) в данном случае за счет формирования резцовой направляющей снята нагрузка с боковых резцов, что снижает дальнейшее развитие абфракции боковых резцов при протрузионных движениях н.ч 1 Ссылка на комментарий
RRM Опубликовано 27 марта, 2014 Автор Поделиться Опубликовано 27 марта, 2014 Достойно. Фото спустя месяц глянуть бы.http://i58.fastpic.ru/big/2014/0327/6a/87aac440abbe602c0e1e7c04d6d8976a.jpg3 недели 4 Ссылка на комментарий
komar56 Опубликовано 27 марта, 2014 Поделиться Опубликовано 27 марта, 2014 Отлично! Ссылка на комментарий
iБолит Опубликовано 27 марта, 2014 Поделиться Опубликовано 27 марта, 2014 Я бы не впалил какие зубы под замену. Даже сейчас сомневаюсь Ссылка на комментарий
komar56 Опубликовано 27 марта, 2014 Поделиться Опубликовано 27 марта, 2014 Оформление режущего бросается в глаза...А так отлично! Ссылка на комментарий
Рекомендуемые сообщения
Для публикации сообщений создайте учётную запись или авторизуйтесь
Вы должны быть пользователем, чтобы оставить комментарий
Создать аккаунт
Зарегистрируйте новый аккаунт в нашем сообществе. Это очень просто!
Регистрация нового пользователяВойти
Уже есть аккаунт? Войти в систему.
Войти