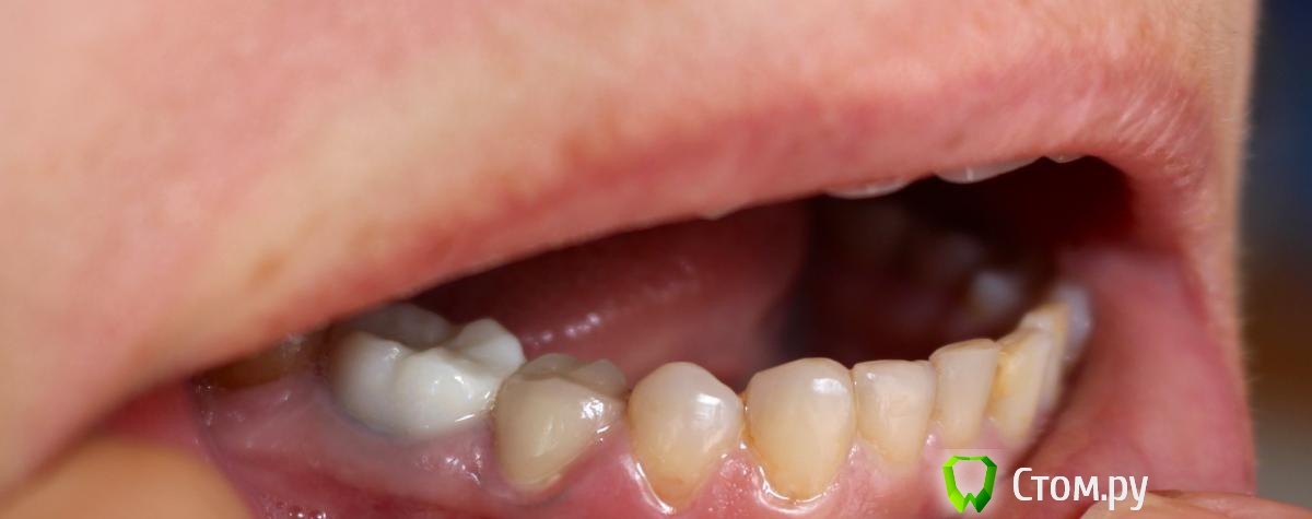
Marochan Опубликовано 23 февраля, 2014 Поделиться Опубликовано 23 февраля, 2014 После установки 17 февраля коронки на нижнюю правую шестерку из оксида циркония, через несколько дней десна начала изменять цвет. После повторного обращения к врачу 21 февраля, врач предложил еще немного понаблюдать и сказал, что сразу после установки могут быть изменения, но потом они проходят. Проблема еще в том, что есть небольшая боль в основании десны, сильного дискомфорта нет. Прочитала в интернете, что для восстановления цвета десны может помочь, только снятие коронки на несколько недель... мой врач сказал, что при снятии есть риск сломать коронку, поэтому снимать не хочет((( Ссылка на комментарий
Солнечный СВЕТ Опубликовано 23 февраля, 2014 Поделиться Опубликовано 23 февраля, 2014 (изменено) Причин изменения цвета десны в данной ситуации может быть много неаккуратное препарирование,грубая ретракция десны,неправильно установленная временная каронка,не убранные излишки цемента после фиксации,такого быть не должно,рекомендую сделать снимак,цвет Коронки вообще помоему не подбирался! Изменено 23 февраля, 2014 пользователем Солнечный СВЕТ Ссылка на комментарий
Marochan Опубликовано 23 февраля, 2014 Автор Поделиться Опубликовано 23 февраля, 2014 Причин изменения цвета десны в данной ситуации может быть много неаккуратное препарирование,грубая ретракция десны,неправильно установленная временная каронка,не убранные излишки цемента после фиксации,такого быть не должно,рекомендую сделать снимак,цвет Коронки вообще помоему не подбирался! Зубы на нижней челюсти после 2-х лет ортодонтического лечения и сильно пожелтели. После лечения и замены временных коронок, было запланировано отбеливание всех зубов. Какой снимок нужно сделать? (есть снимок до установки коронки). Как понять причину в данной ситуации, нужно ли снимать для этого коронку? Ссылка на комментарий
Солнечный СВЕТ Опубликовано 23 февраля, 2014 Поделиться Опубликовано 23 февраля, 2014 (изменено) Можно прицельный сделать это для полной картины,в данной ситуации он не покажет почему десна изменилась в цвете,точную причину назвать сложно,скорее всего будет рецессия десны,это когда десна опускается ниже уровня Коронки,если так произойдет то устраняется рецессия хирургически.пока нужно посматреть снимок. Изменено 23 февраля, 2014 пользователем Солнечный СВЕТ Ссылка на комментарий
Stomart Опубликовано 23 февраля, 2014 Поделиться Опубликовано 23 февраля, 2014 Зубы на нижней челюсти после 2-х лет ортодонтического лечения и сильно пожелтели. После лечения и замены временных коронок, было запланировано отбеливание всех зубов. .Отбеливание делают до протезирования, чтобы потом подобрать цвет коронок. Ссылка на комментарий
Marochan Опубликовано 25 февраля, 2014 Автор Поделиться Опубликовано 25 февраля, 2014 Сегодня ходила к другому врачу, чтобы получить второе мнение. После пантомограммы и двух снимков нижних левых зубов, врач сказал, что проблема в 5 зубе (коронка на штифте), который поставила в прошлом году. Изменение цвета десен началось с этого зуба. У шестерки коронка низкая и вся нагрузка сейчас на пятерке. Серый цвет десны под шестеркой, по мнению врача такой из-за того, что виден старый зуб и неправильно была подогнана коронка. Окончательный диагноз - все надо переделывать( Ссылка на комментарий
IvanK Опубликовано 25 февраля, 2014 Поделиться Опубликовано 25 февраля, 2014 Здравствуйте Выложите панорамный снимок. Ссылка на комментарий
Marochan Опубликовано 26 февраля, 2014 Автор Поделиться Опубликовано 26 февраля, 2014 К сожалению, переснять снимок в кабинете у врача не получилось. На руки его тоже не выдают. В марте будут лечить пятерку, тогда попробую сделать снимок) Ссылка на комментарий
Солнечный СВЕТ Опубликовано 26 февраля, 2014 Поделиться Опубликовано 26 февраля, 2014 К сожалению, переснять снимок в кабинете у врача не получилось. На руки его тоже не выдают. В марте будут лечить пятерку, тогда попробую сделать снимок)Чтобы это могло значить) Ссылка на комментарий
IvanK Опубликовано 26 февраля, 2014 Поделиться Опубликовано 26 февраля, 2014 Сделайте повторно снимок в другом учреждении.. 1 Ссылка на комментарий
Marochan Опубликовано 4 марта, 2014 Автор Поделиться Опубликовано 4 марта, 2014 Снимок был сделан 25 февраля. Сегодня врач сняла коронку (нижняя правая пятерка), так как боль в десне снизу усилилась и есть и пить было практически невозможно (зуб стал реагировать даже на теплый чай). Ссылка на комментарий
IvanK Опубликовано 4 марта, 2014 Поделиться Опубликовано 4 марта, 2014 Зубы нужно перелечить. 8ки удалить. 1 Ссылка на комментарий
Marochan Опубликовано 5 марта, 2014 Автор Поделиться Опубликовано 5 марта, 2014 Зубы нужно перелечить. 8ки удалить.Какие именно нужно зубы перелечить? Насчет восьмерок, почти все врачи сказали, что они уже выросли и другим зубам не мешают. Если начнет болеть, тогда можно удалить, а так особой спешки нет. Ортодонт тоже их оставил, сказал, что можно не удалять. Ссылка на комментарий
IvanK Опубликовано 5 марта, 2014 Поделиться Опубликовано 5 марта, 2014 http://fotohost.kz/images/2014/03/05/PrXod.jpg Ссылка на комментарий
IvanK Опубликовано 5 марта, 2014 Поделиться Опубликовано 5 марта, 2014 Хорошо, подождите и удалите еще и 7ки... Перелечивать: 37, 45,46, далее коронки на них.Прицельный снимок 32,скорее всего коронки еще на 32,35 Ссылка на комментарий
red_butler Опубликовано 5 марта, 2014 Поделиться Опубликовано 5 марта, 2014 Насчет восьмерок, почти все врачи сказали, что они уже выросли и другим зубам не мешают. Если начнет болеть, тогда можно удалить, а так особой спешки нет. Ортодонт тоже их оставил, сказал, что можно не удалять. Вас консультировали в Японии? У японских стоматологов оооочень своеобразное отношение к неправильно расположенным зубам и прикусу в частности 1 Ссылка на комментарий
Marochan Опубликовано 6 марта, 2014 Автор Поделиться Опубликовано 6 марта, 2014 Все консультации и лечение делаю в Японии. В октябре 2013 закончила лечение у ортодонта, носила брекеты 2,5 года. Сейчас зубы расположены правильно, насколько это возможно в моем случае. Зачем удалять семерки? 1 2 Ссылка на комментарий
red_butler Опубликовано 7 марта, 2014 Поделиться Опубликовано 7 марта, 2014 Зачем удалять семерки? сейчас не стоит вопрос о удалении вторых моляров, но ретенированные восьмые зубы могут этому поспособствовать - фатальный кариес корней Ссылка на комментарий
Marochan Опубликовано 7 марта, 2014 Автор Поделиться Опубликовано 7 марта, 2014 Не совсем поняла, на снимке виден фатальный кариес корней? Если да, то на каких зубах? Ссылка на комментарий
Солнечный СВЕТ Опубликовано 8 марта, 2014 Поделиться Опубликовано 8 марта, 2014 в месте между восьмыми и седьмыми зубами гигиену хорошую осуществить качественно в вашем случае нереально поэтому там может развиться кариес корня седьмых зубов и тогда придется удалять,присоеденяюсь к выше изложенному докторами и еще заменить плоМбу на 36! Ссылка на комментарий
Солнечный СВЕТ Опубликовано 8 марта, 2014 Поделиться Опубликовано 8 марта, 2014 В 46 похоже оставили инструмент но нужно сделать качественный прицельный снимак,то что его нужно перелечивать сомнений нет Ссылка на комментарий
Marochan Опубликовано 11 марта, 2014 Автор Поделиться Опубликовано 11 марта, 2014 Назначили удаление нижней восьмерки справа. После этого будут переделаны 5,6,7 справа. В 46 действительно оставили часть инструмента во время удаления нерва. Сейчас сказали, что достать его невозможно, только еще сильнее уйдет в глубину, если попытаться достать. Ссылка на комментарий
Солнечный СВЕТ Опубликовано 12 марта, 2014 Поделиться Опубликовано 12 марта, 2014 Найдите доктора который работает с микроскопом,инструмент достать или обойти реально! Ссылка на комментарий
Marochan Опубликовано 13 марта, 2014 Автор Поделиться Опубликовано 13 марта, 2014 Насколько необходимо достать этот кусок инструмента из зуба? Ссылка на комментарий
Солнечный СВЕТ Опубликовано 14 марта, 2014 Поделиться Опубликовано 14 марта, 2014 Насколько необходимо достать этот кусок инструмента из зуба?необходимо на столько на сколько сильно ваше желание сохранить зуб! Ссылка на комментарий
Рекомендуемые сообщения
Для публикации сообщений создайте учётную запись или авторизуйтесь
Вы должны быть пользователем, чтобы оставить комментарий
Создать аккаунт
Зарегистрируйте новый аккаунт в нашем сообществе. Это очень просто!
Регистрация нового пользователяВойти
Уже есть аккаунт? Войти в систему.
Войти