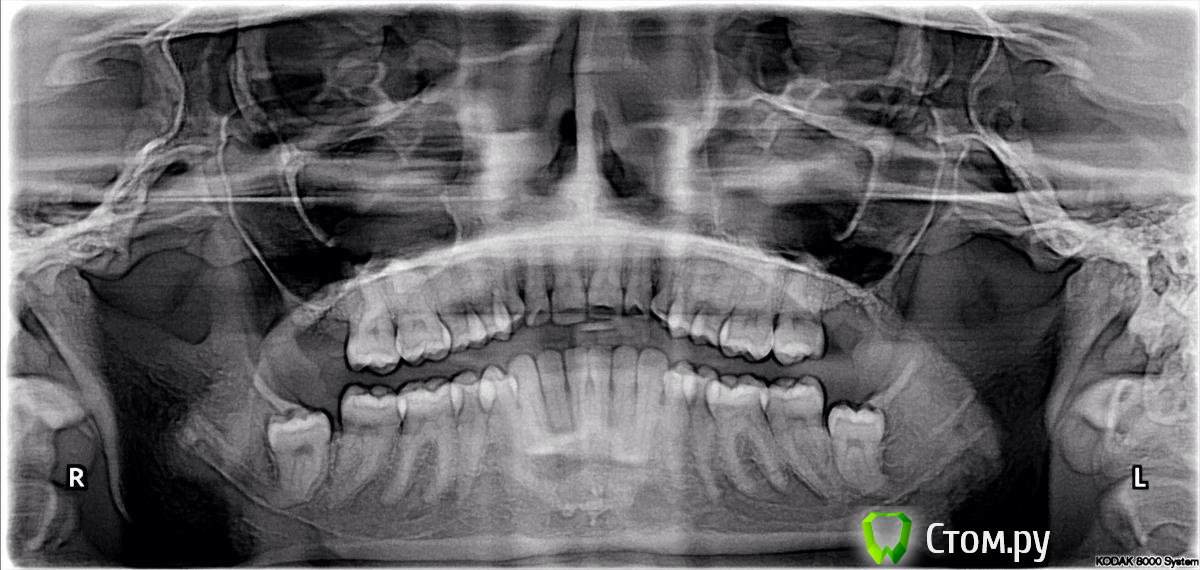
Ketherin Опубликовано 19 февраля, 2014 Поделиться Опубликовано 19 февраля, 2014 Здраствуйте!Нижние зубы мудрости не беспокоят, но если удалять то по рентгену видно, что может быть задет нижний нерв. Очень большая вероятность онемения?Удаление неизбежно? Ссылка на комментарий
diesel87 Опубликовано 19 февраля, 2014 Поделиться Опубликовано 19 февраля, 2014 Здравствуйте, по снимку 8ки расположены пока на безопасном расстоянии от 7ок,если все же запланируется удаление то у грамотного хирурга весь прием не займет больше 40 минут, по поводу онемения не факт,все зависит от атравматичности удаления. Ссылка на комментарий
Ketherin Опубликовано 19 февраля, 2014 Автор Поделиться Опубликовано 19 февраля, 2014 Спасибо за ответ! Значит риск все же велик? Боюсь, что сама не рискну их удалять. Хирург меня сегодня очень долго убеждал, что и где должно онеметь, я до сих пор сижу в шоковом состоянии... Ссылка на комментарий
Bier Опубликовано 19 февраля, 2014 Поделиться Опубликовано 19 февраля, 2014 да, риск есть. Ссылка на комментарий
Ketherin Опубликовано 19 февраля, 2014 Автор Поделиться Опубликовано 19 февраля, 2014 Риск 50 на 50? Стоит ли сделать КТ? Рентген 3D? Можно ли избежать удаления? Какой из зубов более опасно удалять? Ссылка на комментарий
diesel87 Опубликовано 19 февраля, 2014 Поделиться Опубликовано 19 февраля, 2014 Риск 50 на 50? Стоит ли сделать КТ? Рентген 3D? Можно ли избежать удаления? Какой из зубов более опасно удалять?Больший риск травмы нижнечелюстного нерва при удалении правой 8ки, у левой корни расположены не в канале, но за ним, а почему вам их назначили на удаления, какие показания? Ссылка на комментарий
Ketherin Опубликовано 19 февраля, 2014 Автор Поделиться Опубликовано 19 февраля, 2014 Сказали, что лучше удалить до 35 лет, тогда меньший риск травмы, если в будущем возникнет карман между 7 и 8 зубами, как раз справа, тогда кариес и тп и тд. Мне сейчас 27 и неизвестно вырастет ли корень еще глубже в канал. А сейчас пока они не беспокоят, хотя бугорки на деснах есть. Жаль, что у меня так все плохо с нервом и каналом.. Ссылка на комментарий
IvanK Опубликовано 20 февраля, 2014 Поделиться Опубликовано 20 февраля, 2014 Я бы сделал КТ. Если не планируется ортодонтическое лечение и не беспокоят - не удалял бы. (имхо) 1 Ссылка на комментарий
Ketherin Опубликовано 20 февраля, 2014 Автор Поделиться Опубликовано 20 февраля, 2014 А 3d снимок будет достаточно информативен? Меня пугают, что если сразу не удалю, то когда-нибудь точно придется удалять и тогда-то будут точно проблемы. У меня корни правого расположены внутри канала? Ссылка на комментарий
red_butler Опубликовано 20 февраля, 2014 Поделиться Опубликовано 20 февраля, 2014 У меня корни правого расположены внутри канала? вот для того что бы ответить на этот вопрос и нужна Кт Меня пугают, что если сразу не удалю, то когда-нибудь точно придется удалять и тогда-то будут точно проблемы. если удалять не во время обострения, никакой разницы Ссылка на комментарий
Ketherin Опубликовано 20 февраля, 2014 Автор Поделиться Опубликовано 20 февраля, 2014 То есть возраст не имеет значения? 3д снимок сделаю на всякий случай. Жаль, что риск высок, придется всю жизнь беречь восьмерку. Ссылка на комментарий
red_butler Опубликовано 20 февраля, 2014 Поделиться Опубликовано 20 февраля, 2014 То есть возраст не имеет значения? после 14 лет, не играет 1 Ссылка на комментарий
Ketherin Опубликовано 20 февраля, 2014 Автор Поделиться Опубликовано 20 февраля, 2014 Хорошо, а если будет кариес, то удаление станет более опасным? Ссылка на комментарий
red_butler Опубликовано 20 февраля, 2014 Поделиться Опубликовано 20 февраля, 2014 Хорошо, а если будет кариес, то удаление станет более опасным?Кариес чего? Если на вторых молярах - придется лечить. Ссылка на комментарий
IvanK Опубликовано 20 февраля, 2014 Поделиться Опубликовано 20 февраля, 2014 если удалять не во время обострения, никакой разницы +1 Ссылка на комментарий
IvanK Опубликовано 20 февраля, 2014 Поделиться Опубликовано 20 февраля, 2014 Кариес чего? Если на вторых молярах - придется лечить. или, если кариес корня - удалять Шучу. КТ бы посмотреть,если не беспокоит - наблюдение еще никому не мешало. Ссылка на комментарий
Ketherin Опубликовано 20 февраля, 2014 Автор Поделиться Опубликовано 20 февраля, 2014 Спасибо за ответы! Будут снимки 3d, тогда выложу. Не хочется жить в постоянном страхе, что зуб нужно будет удалять и нерв может быть поврежден.. Ссылка на комментарий
Ketherin Опубликовано 20 февраля, 2014 Автор Поделиться Опубликовано 20 февраля, 2014 Забыла спросить, а корень может еще глубже прорасти в канал? Ссылка на комментарий
Bier Опубликовано 20 февраля, 2014 Поделиться Опубликовано 20 февраля, 2014 корень у Вас уже вырос и больше никуда расти не будет.Надо посмотреть на КТ, если корень не в канале, то риск не очень велик. 1 Ссылка на комментарий
Ketherin Опубликовано 20 февраля, 2014 Автор Поделиться Опубликовано 20 февраля, 2014 Буду молиться! Ссылка на комментарий
Ketherin Опубликовано 20 февраля, 2014 Автор Поделиться Опубликовано 20 февраля, 2014 Уважаемые доктора, сделала 3д снимки, вот ссылка 3d (2).rarОчень-очень жду ответа! Ссылка на комментарий
Ketherin Опубликовано 20 февраля, 2014 Автор Поделиться Опубликовано 20 февраля, 2014 на всякий случай пара скринов, но если честно я не знаю откуда делать скрин, там самому надо крутить картинку. <A href="http://www.fayloobmennik.net/3595420">Untitled.jpg</A><A href="http://www.fayloobmennik.net/3595421">Untitled1.jpg</A><A href="http://www.fayloobmennik.net/3595424">Untitled2.jpg</A><A href="http://www.fayloobmennik.net/3595427">Untitled3.jpg</A> Ссылка на комментарий
Bier Опубликовано 20 февраля, 2014 Поделиться Опубликовано 20 февраля, 2014 не те ссылки выбрали, нужны с квадратными скобками 1 Ссылка на комментарий
Ketherin Опубликовано 20 февраля, 2014 Автор Поделиться Опубликовано 20 февраля, 2014 Ракурсы не те? Извините, я с компьютером очень плохо дружу. Что мне переделать? Ссылка на комментарий
IvanK Опубликовано 20 февраля, 2014 Поделиться Опубликовано 20 февраля, 2014 на всякий случай пара скринов, но если честно я не знаю откуда делать скрин, там самому надо крутить картинку. Untitled.jpgUntitled1.jpgUntitled2.jpgUntitled3.jpgссылки не те воспользуйтесь http://radikal.ru/ ссылка №2 после загрузки Ссылка на комментарий
Рекомендуемые сообщения
Для публикации сообщений создайте учётную запись или авторизуйтесь
Вы должны быть пользователем, чтобы оставить комментарий
Создать аккаунт
Зарегистрируйте новый аккаунт в нашем сообществе. Это очень просто!
Регистрация нового пользователяВойти
Уже есть аккаунт? Войти в систему.
Войти