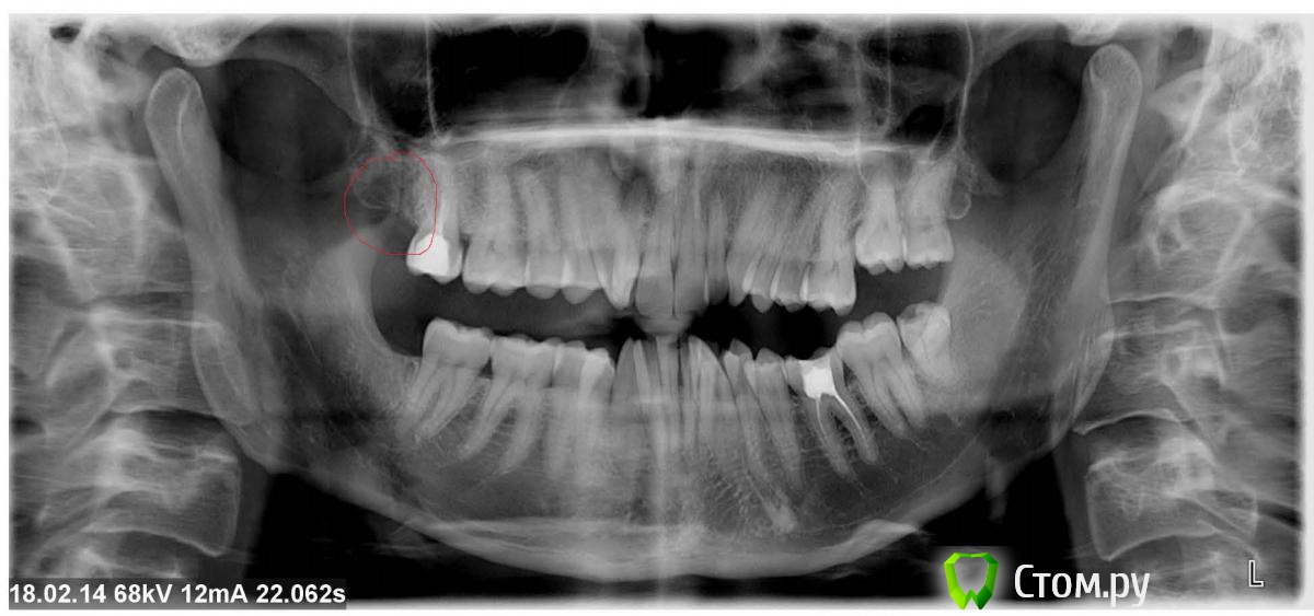
Анатолий М Опубликовано 18 февраля, 2014 Поделиться Опубликовано 18 февраля, 2014 Добрый день уважаемые форумчане. Не смог точно определить в какой раздел форума мне следует обратится.Коротко ситуация слудующая.Пол года хождения по врачам с болью в правой верхней части челлюсти.Боли не сильные. Скорее ноющие. Переодически усиливаются либо затихают. Иногда изчезают совсем. В течении дня такие перерывы часты.Бывают перерывы которые длятся от нескольких дней до нескольких недель. Когда ни каких болей нет совсем. Потом все начинается с начала.При постукивании шпателем по зубам все зубы никак не риагируют. Десна не воспалены. Видимых поталогий в полости рта не отмечается.По ночам болей нет совсем. Начинаются утром и то затихая то усиливаясь продолжаются в течении дня.Сначала врачи думали что проблема в верхней восьмерке. Удалили. Проблема не изчезла.Потом предположили что проблема в кариесе соседней семерки. Депульпировали семерку. Проблема не изчезла.Теперь часть врачей скланяется к версии невралгии троичного нерва. Но так как симптоматика не характерная никакого лечения непроводят.Другая часть врачей склоняется к версии проблемы ВНЧС. Но так же никакого лечения не назначают.Прилагаю снимок ОПТГ. Посмотрите пожалуйста может чего подозрительное углядите. Так же меня смущает темное пятно позади того места где была верхняя правая восьмерка(на снимке выделил кружочком). Может кто сказать что это за пятно. Пальпаторно щека с правой стороны в том месте где за щекой 7,8 верхней челлюсти более упругая чем с левой стороны.Если рот широко открыть то уплотнее прощупывается отчетливее. Врачи говорят что это анатомическая особенность. Но нормально никто не пальпировал. Визуально щека не увеличена. Понимаю что дистанционно диагноз никто не поставит. Но я этого и не жду. Меня инетерисуют в первую очередь мнение специалистов по поводу темного пятна на снимки спереди от того места где была восьмерка.И может у кого то есть идеи в каком направлении мне следует двигатся в плане хождения по врачам. Врачей я обошел много но все без толку. Заранее спасибо, Ссылка на комментарий
red_butler Опубликовано 18 февраля, 2014 Поделиться Опубликовано 18 февраля, 2014 седьмой зуб на снимке после лечения? Есть привычка сжимать зубы ночью или днем, скрежетать зубами? Щелчки при открывании, закрывании рта? Ссылка на комментарий
Анатолий М Опубликовано 18 февраля, 2014 Автор Поделиться Опубликовано 18 февраля, 2014 седьмой зуб на снимке после лечения? Есть привычка сжимать зубы ночью или днем, скрежетать зубами? Щелчки при открывании, закрывании рта? Седьмой зуб после лечения никаких беспокойств не вызывал. Хотя сразу после депульпации боли пропали на неделю. Потом сново вернулись. Да, ночью часто просыпаюсь от боли в зубах из за того что сильно стисткиваю челлюсти. Щелчки при открывании рта с правой стороны были всего 1 раз в течении полугода. Больше не повторялись. Хотя может просто не на максимальную ширину открываю. Но вроде ограничения при открывании рта нет. Есть щелчки во время еды. Но не всегда. При наличии щелчков боли не увеличиваются. Но и не уменьшаются. Во время еды болезненных ощущений нет. По результатам МРТ ВНЧС. следующее:На МР изображениях правого и левого нижнечелюстного сутсава в покое (рот закрыт) форма и положение костей формирующих сустав, не изменены, головка нижней челюсти и мениск находятся в суставной впадине, суставные поверности ровные, суставная щель слева несколько сужена а счет истончения миниска. В основной полости сустава скопления жидкости не обнаружено.Региональные лимфоузлы не увеличены.При функ. нагрузке (рот открыт) головка нижней челлюсти слева находится за пределами сустава, кпереди в проекции суставного бугорка. Диск слева визуализируется нечетко, находится за пределами суставной впадины к переди. Справа признаки адгезии правого нижнечелюстного сустава. Отмечается некоторое уплощение и укорочение головки справа, более вероятно как вариант развития. Заключение. МР признаки подвивиха левого нижнечелюстного сустава-2 степени. Признаки адгезии правого нижнечелюстного сутсава. Ссылка на комментарий
red_butler Опубликовано 18 февраля, 2014 Поделиться Опубликовано 18 февраля, 2014 Седьмой зуб перелечивать, плюс консультация ортодонта и гнатолога Ссылка на комментарий
Анатолий М Опубликовано 18 февраля, 2014 Автор Поделиться Опубликовано 18 февраля, 2014 Седьмой зуб перелечивать, плюс консультация ортодонта и гнатолога Семерка многим кажется подозрительной. Но всех смущает что при перкуссии по семерке нет болевой реакции. Впрочем вариант вполне реальный. А что вы думаете по поводу темного пятна в районе удаленной восьмерки? Что то оно меня как то напрягает. Всякие нехорошие мысли лезут в голову. Ссылка на комментарий
red_butler Опубликовано 18 февраля, 2014 Поделиться Опубликовано 18 февраля, 2014 Ничего страшного в области удаленного восьмого зуба нет, просто кость в стадии минерализации. Ссылка на комментарий
red_butler Опубликовано 18 февраля, 2014 Поделиться Опубликовано 18 февраля, 2014 Семерка многим кажется подозрительной. Но всех смущает что при перкуссии по семерке нет болевой реакции. когда заболит может быть поздно, ищите стоматолога-эндодонтиста Ссылка на комментарий
Анатолий М Опубликовано 18 февраля, 2014 Автор Поделиться Опубликовано 18 февраля, 2014 когда заболит может быть поздно, ищите стоматолога-эндодонтиста Понял. Спасибо большое. Ссылка на комментарий
Рекомендуемые сообщения
Для публикации сообщений создайте учётную запись или авторизуйтесь
Вы должны быть пользователем, чтобы оставить комментарий
Создать аккаунт
Зарегистрируйте новый аккаунт в нашем сообществе. Это очень просто!
Регистрация нового пользователяВойти
Уже есть аккаунт? Войти в систему.
Войти