Перейти к содержанию
Стоматология для всех

Необходима ли коронка в первом зубе и удалять ли штифт в соседнем


Ярка

Рекомендуемые сообщения


Здравствуйте,

 

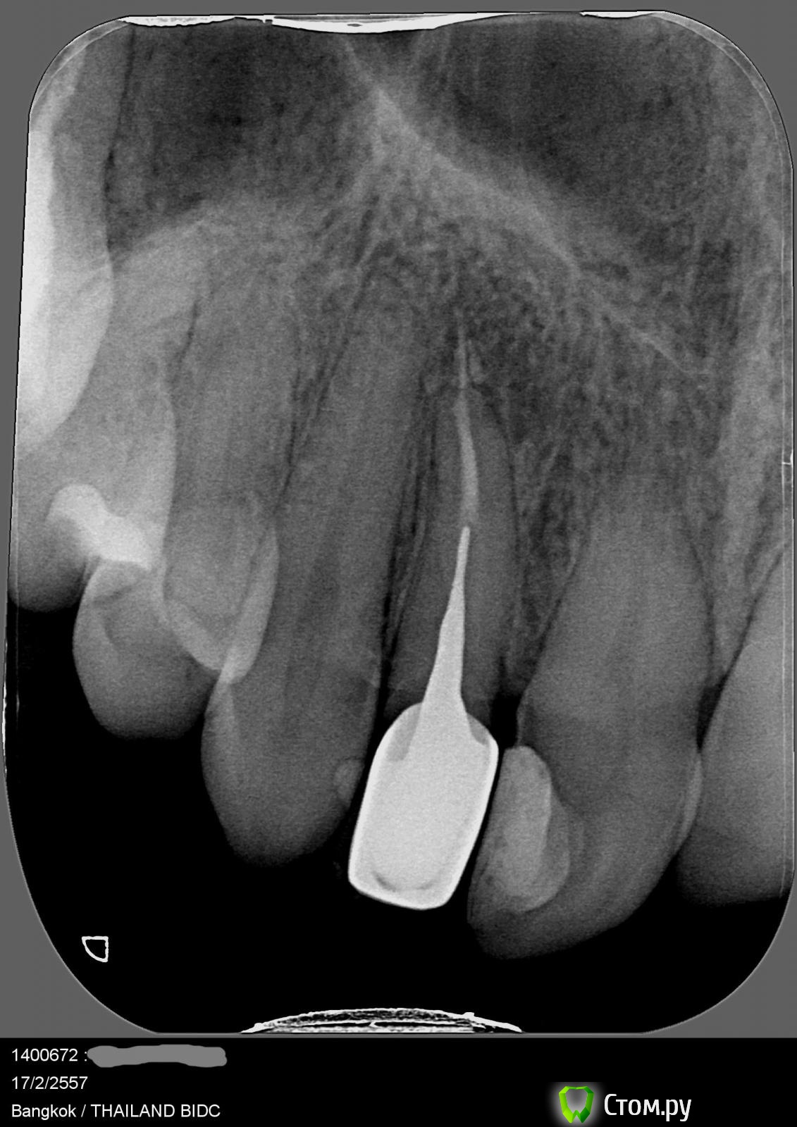
у меня давно были немного неприятные ощущения в переднем первом (запломбированном) или втором (коронка, зуб без нерва) зубе - непонятно, то ли под коронкой что-то ныло иногда, то ли рядом в запломбированном зубе. Последнюю неделю стало ныть уже заметно, иногда стали возникать подергивания. Сходила в зубной, сделали рентген.

 

Правый верхний первый резец. Оказалось, что под пломбой полость. Стоматолог сказала, что полость большая и что по рентгену ей непонятно насколько близко она подходит к нерву и станет понятно только после того, как пломбу вытащат и полость почистят. Если полость подходит не близко, то зуб просто заново запломбируют. При этом варианте по ее предварительной оценке это поможет на год примерно и что лучше все-таки сразу поставить коронку. Я так поняла, что это потому что зуб передний, тонкий и при такой большой полости гарантий того, что все будет держаться, мало. Если полость подходит близко к нерву и затронут канал, то по ее словам нужно будет лечение канала и потом ставить коронку.

 


Правый верхний второй резец. Штифт для коронки и первую коронку мне ставили в небольшом российском городке в 2006 году, было долгое воспаление, неудобная коронка, которая замедляла восстановление. Потом в 2008 в Москве я меняла коронку, но штифт не меняла. Коронка стала удобная, но все равно периодически были воспаления, которые были видны на рентгенах. Мне всегда говорили, что воспаление мелкое, ничего страшного, или что можно в крайнем случае попить антибиотики.

 

Сегодняшние результаты (февраль 2014) - то, что мне сказала стоматолог. Между коронкой и корнем зуба есть полость, и есть воспаление на остатке корня (в самой глубокой его части - там где оно и раньше обнаруживалось). Варианты лечения этого зуба, которые она предложила: снять коронку и штифт, проверить насколько сильный этот остаток корня. Если сильный, то пролечить канал, вставить новый штифт и новую коронку. Если остаток слабый, то ставить мост или имплант. По мнению этого врача остаток корня на снимках выглядит так, что даже если он сильный, то коронка простоит лет 5, а дальше уже как повезет.

 

------

Хочется, чтобы другие специалисты тоже посмотрели на снимки, сказали свое экспертное мнение. Насколько вам кажутся адекватными такие выводы и предположения? Как вам кажется, какие тут есть проблемы и что вообще можно сделать? Мне конечно не хочется ставить имплант или мост. Хочется собрать как можно больше инфо, чтобы понять, стоит ли вытаскивать штифт. Я так понимаю, что если его вытащить, то это очень сильно ослабит остаток зуба, в который он вставлен.

 

Заранее спасибо.

post-37722-0-76547700-1392636438_thumb.jpg

post-37722-0-14435700-1392636447_thumb.jpg

Изменено пользователем Ярка
Ссылка на комментарий

Для публикации сообщений создайте учётную запись или авторизуйтесь

Вы должны быть пользователем, чтобы оставить комментарий

Создать аккаунт

Зарегистрируйте новый аккаунт в нашем сообществе. Это очень просто!

Регистрация нового пользователя

Войти

Уже есть аккаунт? Войти в систему.

Войти
×
×
  • Создать...
Вверх