@AZ@ Опубликовано 16 февраля, 2014 Поделиться Опубликовано 16 февраля, 2014 Дочке 12 лет. Верхний левый пятый зуб растет не в ряд, а внутрь, в область языка.Показывали только участковому ортодонту. Сказал, что надо удалять. Так как видимо это наиболее "дешевый" способ лечения в участковой поликлинике - нет доверия такой консультации.Неужели нет способов сохранить зуб и каким то образом поставить в ряд?Очень надеемся на то что есть возможность сохранить зуб....Подскажите пож-ста. (Не посчитайте это неэтичным по отношению к участковому ортодонту). Ссылка на комментарий
Ayrat_zub Опубликовано 16 февраля, 2014 Поделиться Опубликовано 16 февраля, 2014 Дочке 12 лет. Верхний левый пятый зуб растет не в ряд, а внутрь, в область языка.Показывали только участковому ортодонту. Сказал, что надо удалять. Так как видимо это наиболее "дешевый" способ лечения в участковой поликлинике - нет доверия такой консультации.Неужели нет способов сохранить зуб и каким то образом поставить в ряд?Очень надеемся на то что есть возможность сохранить зуб....Подскажите пож-ста. (Не посчитайте это неэтичным по отношению к участковому ортодонту).http://forum.stom.ru/topic/20613-sovety-patcientam-obiazatelno-k-prochteniiu/ Ссылка на комментарий
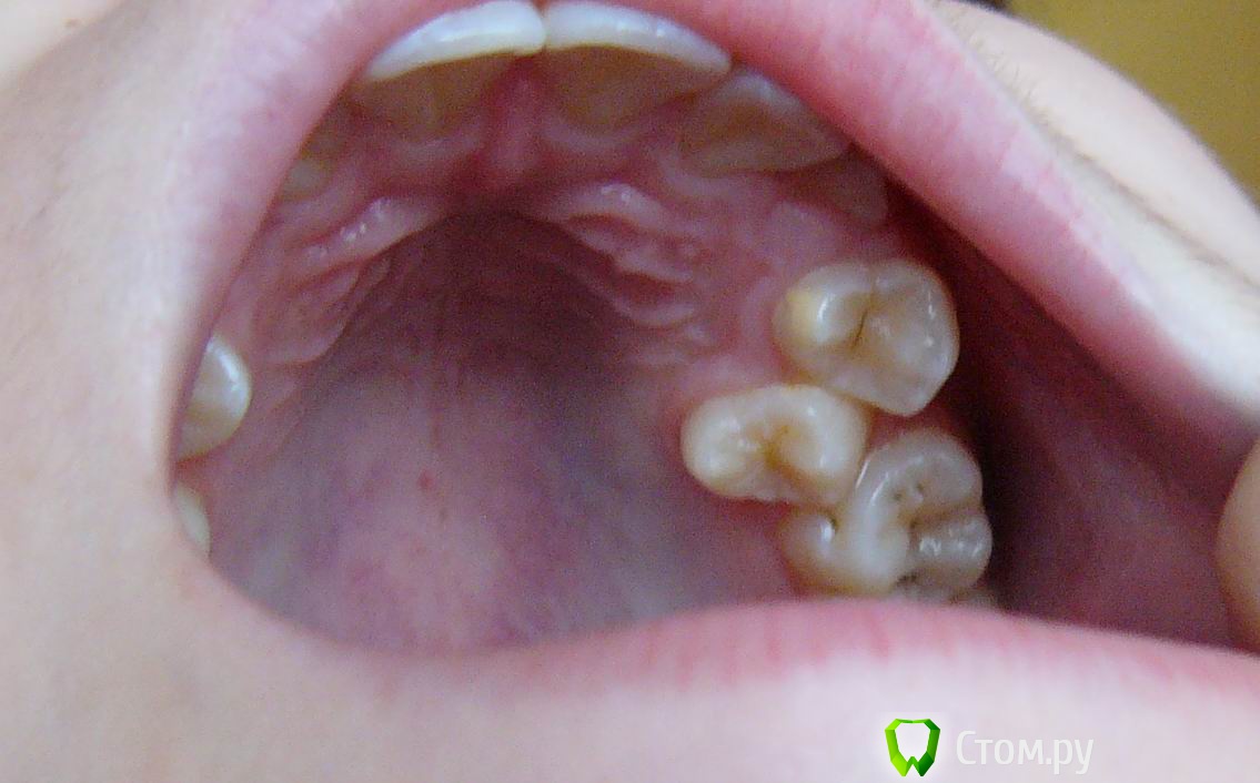
@AZ@ Опубликовано 16 февраля, 2014 Автор Поделиться Опубликовано 16 февраля, 2014 Выкладываю как получилось. Очень жду советов, как поступить. Ссылка на комментарий
Ayrat_zub Опубликовано 16 февраля, 2014 Поделиться Опубликовано 16 февраля, 2014 Выкладываю как получилось. Очень жду советов, как поступить.Доктор точно сможет сказать- если будут КТ(компьютерная томограмма) этого региона,- ОПТГ, ТРГ, да и фото ракурс такой нуженhttp://cs322619.vk.me/v322619156/77e1/TvBhEMhUW4k.jpgесли "на глаз", то нет не удалял бы, места не так уж и много освободить надо) Ссылка на комментарий
@AZ@ Опубликовано 16 февраля, 2014 Автор Поделиться Опубликовано 16 февраля, 2014 Большое спасибо за ответ.Будем пробовать попасть или в НИИ стоматологии или в стоматологический университет.А куда лучше? Ссылка на комментарий
Ayrat_zub Опубликовано 16 февраля, 2014 Поделиться Опубликовано 16 февраля, 2014 не знаю, http://forum.stom.ru/topic/4747-posovetuite-ortodonta-v-gorode-n/ Ссылка на комментарий
Рекомендуемые сообщения
Для публикации сообщений создайте учётную запись или авторизуйтесь
Вы должны быть пользователем, чтобы оставить комментарий
Создать аккаунт
Зарегистрируйте новый аккаунт в нашем сообществе. Это очень просто!
Регистрация нового пользователяВойти
Уже есть аккаунт? Войти в систему.
Войти