kriokov Опубликовано 12 февраля, 2014 Поделиться Опубликовано 12 февраля, 2014 в случае тс я бы и небно тоже завелСпасибо! Ссылка на комментарий
bugroff87 Опубликовано 12 февраля, 2014 Автор Поделиться Опубликовано 12 февраля, 2014 А просто овоида слегка в лунку не достаточно будет? Ссылка на комментарий
doca Опубликовано 12 февраля, 2014 Поделиться Опубликовано 12 февраля, 2014 А просто овоида слегка в лунку не достаточно будет?хз) 3 Ссылка на комментарий
kriokov Опубликовано 12 февраля, 2014 Поделиться Опубликовано 12 февраля, 2014 и с такими швами(вид через 2 недели) почему подвесные? Удержать как можно больше по времени дополнительный обьем и дать начать формироваться профилю? Ссылка на комментарий
doc-евгений Опубликовано 12 февраля, 2014 Поделиться Опубликовано 12 февраля, 2014 XiVe! Не многовато ли 50?Ксайвом никогда не работал! Но считаю это усилие идеальным! 1 Ссылка на комментарий
doca Опубликовано 12 февраля, 2014 Поделиться Опубликовано 12 февраля, 2014 почему подвесные? Удержать как можно больше по времени дополнительный обьем и дать начать формироваться профилю?не совсем понял ,подвесные-что? Ссылка на комментарий
kriokov Опубликовано 12 февраля, 2014 Поделиться Опубликовано 12 февраля, 2014 не совсем понял ,подвесные-что?Наверное это я неправильно сформулировал.То что по фотке увидел-верхний полюс -- шов фиксирующий сст вестибулярнониже- похож на вертикальный матрацный и перекидывается через режущий край исскуственного зуба с вестибулярной на небную поверхнось Ссылка на комментарий
doca Опубликовано 12 февраля, 2014 Поделиться Опубликовано 12 февраля, 2014 Наверное это я неправильно сформулировал.То что по фотке увидел-верхний полюс -- шов фиксирующий сст вестибулярнониже- похож на вертикальный матрацный и перекидывается через режущий край исскуственного зуба с вестибулярной на небную поверхнось ну да, все правильно,позволяют удержать ткани коронально Ссылка на комментарий
kriokov Опубликовано 12 февраля, 2014 Поделиться Опубликовано 12 февраля, 2014 ну да, все правильно,позволяют удержать ткани корональноСпасибо! Ссылка на комментарий
doca Опубликовано 12 февраля, 2014 Поделиться Опубликовано 12 февраля, 2014 Спасибо!any time Ссылка на комментарий
DShu Опубликовано 12 февраля, 2014 Поделиться Опубликовано 12 февраля, 2014 А просто овоида слегка в лунку не достаточно будет?Может и достаточно. Если изначально биотип слизистой толстый может и прокатит. Если профиль ухудшится - просите хирурга когда будет переставлять имплант, чтобы подпихнул Вам десны еще. 2 Ссылка на комментарий
bugroff87 Опубликовано 13 февраля, 2014 Автор Поделиться Опубликовано 13 февраля, 2014 Спасибо большое за советы! Будем перекручивать! Ссылка на комментарий
CSS Опубликовано 13 февраля, 2014 Поделиться Опубликовано 13 февраля, 2014 А как насчет снимка в студию??? 1 Ссылка на комментарий
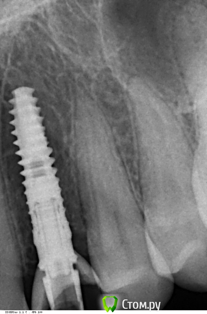
bugroff87 Опубликовано 14 февраля, 2014 Автор Поделиться Опубликовано 14 февраля, 2014 Вот! Ссылка на комментарий
CSS Опубликовано 14 февраля, 2014 Поделиться Опубликовано 14 февраля, 2014 А как перкуссия? Ссылка на комментарий
CSS Опубликовано 14 февраля, 2014 Поделиться Опубликовано 14 февраля, 2014 В смысле ЗВУК? Ссылка на комментарий
bugroff87 Опубликовано 15 февраля, 2014 Автор Поделиться Опубликовано 15 февраля, 2014 Безболезненна, вообще ничего не беспокоит. Ссылка на комментарий
Чертков Александр Опубликовано 15 февраля, 2014 Поделиться Опубликовано 15 февраля, 2014 Вынимать. Ссылка на комментарий
Рекомендуемые сообщения
Для публикации сообщений создайте учётную запись или авторизуйтесь
Вы должны быть пользователем, чтобы оставить комментарий
Создать аккаунт
Зарегистрируйте новый аккаунт в нашем сообществе. Это очень просто!
Регистрация нового пользователяВойти
Уже есть аккаунт? Войти в систему.
Войти