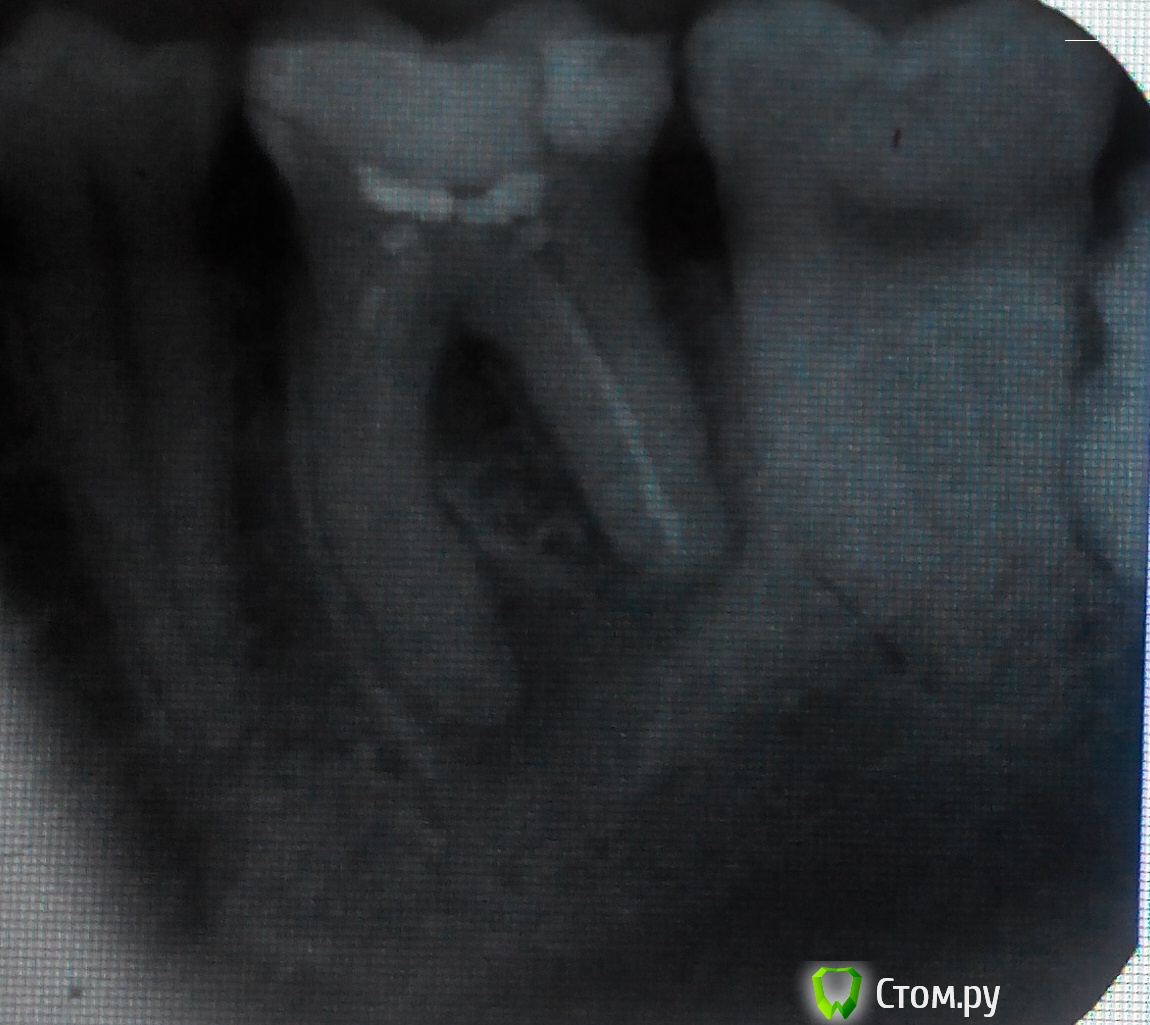
PavelGo Опубликовано 11 февраля, 2014 Поделиться Опубликовано 11 февраля, 2014 Почти уверен, что удалять?Хочется удостовериться, потому что СД 1 типа и импланты не ставят. Ссылка на комментарий
Мартовский Опубликовано 11 февраля, 2014 Поделиться Опубликовано 11 февраля, 2014 Снимок плохой, может и можно полечить, может и нет. Сходите в клинику, где читают компьютерную томограмму, узнаете точно. Ссылка на комментарий
Рекомендуемые сообщения
Для публикации сообщений создайте учётную запись или авторизуйтесь
Вы должны быть пользователем, чтобы оставить комментарий
Создать аккаунт
Зарегистрируйте новый аккаунт в нашем сообществе. Это очень просто!
Регистрация нового пользователяВойти
Уже есть аккаунт? Войти в систему.
Войти