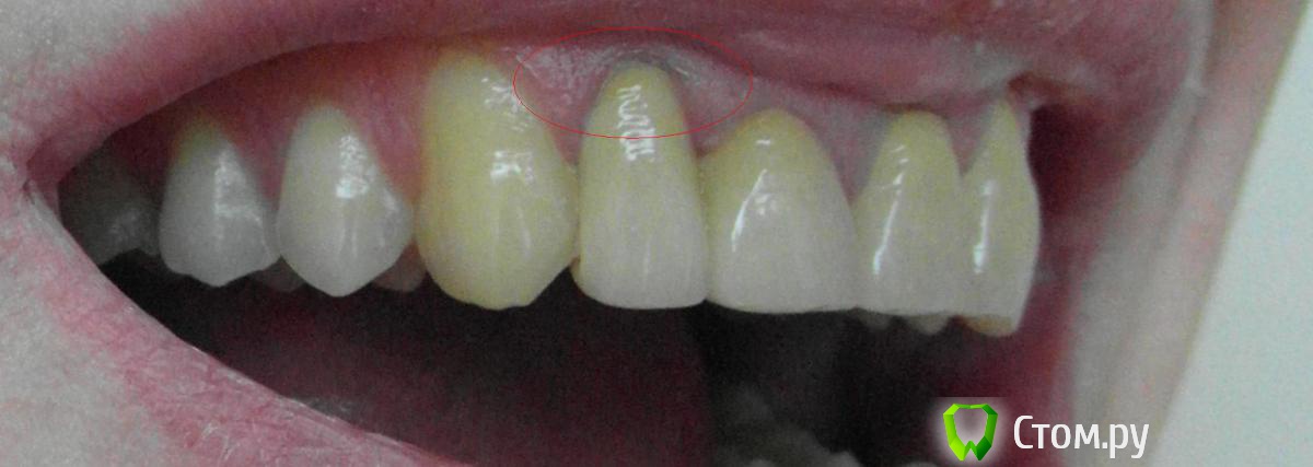
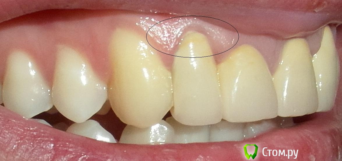
artem777 Опубликовано 10 февраля, 2014 Поделиться Опубликовано 10 февраля, 2014 Здравствуйте, помогите советом. 3 недели назад установил на 4 передних зуба металлокерамику. Конструкция сплошная. С одного края начала подниматься десна, уже выше краёв коронки. Врач сказал, что бы я пришёл не раньше чем через месяц, мол, десна ещё не адаптировалась и не приняла своё окончательное положение. А потом, через месяц, он мне щель замажет специальным пломбировочным материалом. Подозреваю, что его решение не самое лучшее. Подскажите, пожалуйста, что делать? Может можно воспользоваться каким-нибудь гелем, мазью или травами пополоскать, что бы десна опустилась? 1 Ссылка на комментарий
IvanK Опубликовано 11 февраля, 2014 Поделиться Опубликовано 11 февраля, 2014 Здравствуйте,Выложите панорамный снимок (ОПТГ) думаю, что конструкцию нужно переделать Ссылка на комментарий
red_butler Опубликовано 12 февраля, 2014 Поделиться Опубликовано 12 февраля, 2014 думаю, что конструкцию нужно переделать +1 1 Ссылка на комментарий
Рекомендуемые сообщения
Для публикации сообщений создайте учётную запись или авторизуйтесь
Вы должны быть пользователем, чтобы оставить комментарий
Создать аккаунт
Зарегистрируйте новый аккаунт в нашем сообществе. Это очень просто!
Регистрация нового пользователяВойти
Уже есть аккаунт? Войти в систему.
Войти