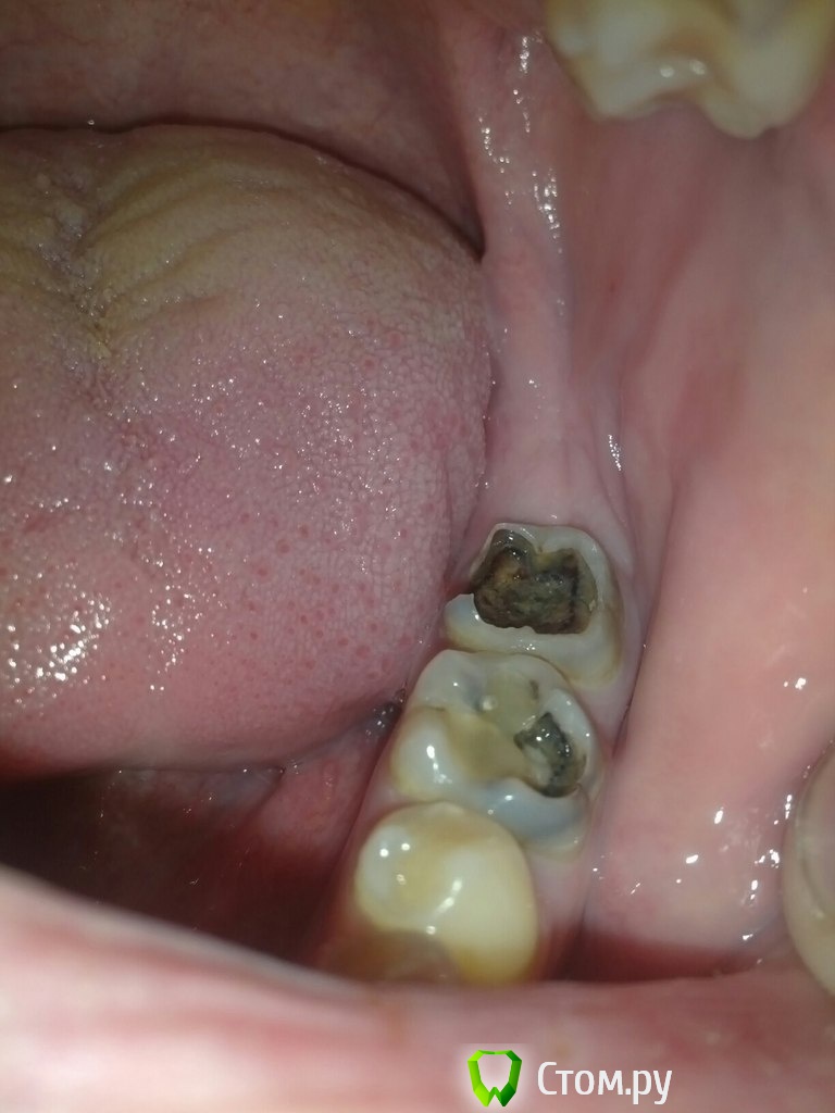
artem123 Опубликовано 10 февраля, 2014 Поделиться Опубликовано 10 февраля, 2014 Здравствуйте. После того, как жевал жевачку, резко заболел зуб. Боль была очень сильная, хотелость просто упасть. Возможно даже чуть чуть свело шею. Пару дней, если я ел и попадал на этот зуб он болел. Затем перестал. Затем, вылезла на шее маленькая шишка, или может я её только заметил. которая ощущается если её трогать. Заболел живот. Сделал узи брюшной полости, сказали что незначительно увеличена селезенка. Шея иногда болит по вечерам. Так же уже месяц мучает слабость, и головные боли, температуры нет. Как считаете, всё это может это быть от зубов? Или это лимфоузлы/киста ?? Прикладываю фото, на нем не особо видно, но видно место локализации. И так же фото больных зубов. Очень надеюсь на вашу помощь. Всем заранее спасибо. Ссылка на комментарий
shishok Опубликовано 10 февраля, 2014 Поделиться Опубликовано 10 февраля, 2014 (изменено) http://forum.stom.ru/topic/2813-obiazatelno-k-prochteniiu/ Изменено 10 февраля, 2014 пользователем shishok 1 Ссылка на комментарий
Рекомендуемые сообщения
Для публикации сообщений создайте учётную запись или авторизуйтесь
Вы должны быть пользователем, чтобы оставить комментарий
Создать аккаунт
Зарегистрируйте новый аккаунт в нашем сообществе. Это очень просто!
Регистрация нового пользователяВойти
Уже есть аккаунт? Войти в систему.
Войти