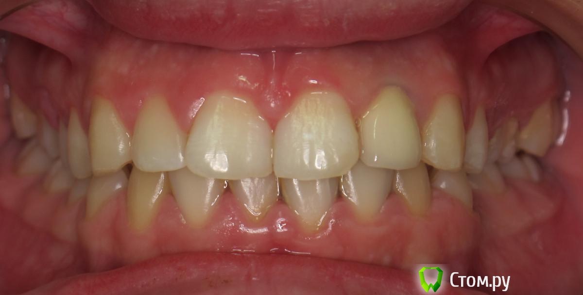
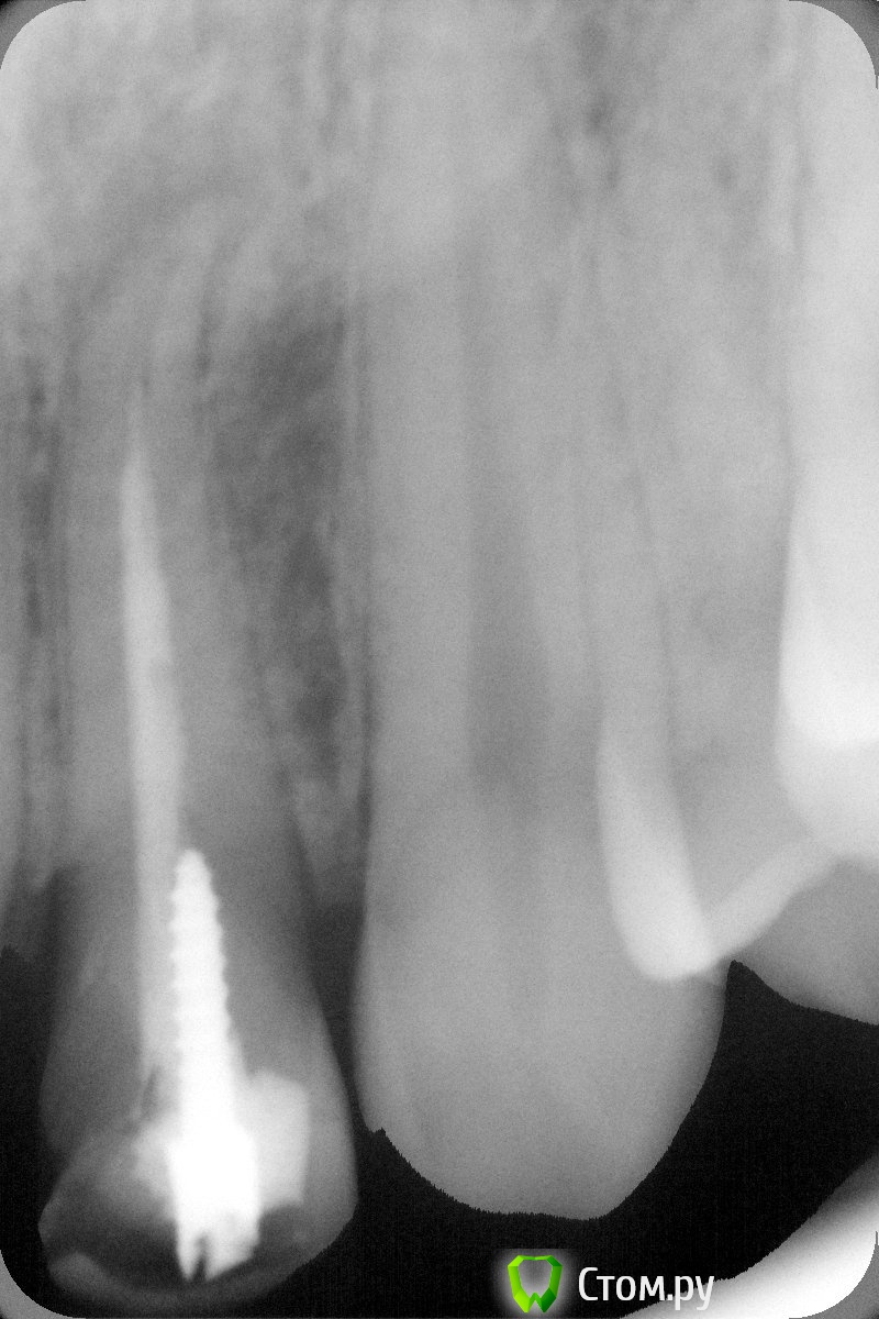
johniola Опубликовано 5 февраля, 2014 Поделиться Опубликовано 5 февраля, 2014 Девочка 19 лет из церковного приюта(иногда помогаю),22 зуб анкер+композит+хр периодонтитФото с свш +билд ап не нашёл,проостите Ссылка на комментарий
anvladd Опубликовано 5 февраля, 2014 Поделиться Опубликовано 5 февраля, 2014 Это к чему? Ссылка на комментарий
samsonov Опубликовано 5 февраля, 2014 Поделиться Опубликовано 5 февраля, 2014 К топику " Нет феррула..", наверное. Ссылка на комментарий
АнтонТЛТ Опубликовано 5 февраля, 2014 Поделиться Опубликовано 5 февраля, 2014 Почему в пациентском? Ссылка на комментарий
johniola Опубликовано 5 февраля, 2014 Автор Поделиться Опубликовано 5 февраля, 2014 К топику " Нет феррула..", наверное.да Ссылка на комментарий
johniola Опубликовано 5 февраля, 2014 Автор Поделиться Опубликовано 5 февраля, 2014 Почему в пациентском?как?значит ошибся.а нельзя перенести? Ссылка на комментарий
komar56 Опубликовано 5 февраля, 2014 Поделиться Опубликовано 5 февраля, 2014 Про феррул сорри ничего...А то, что помогаете это хорошо! 2 Ссылка на комментарий
Bobby Опубликовано 6 февраля, 2014 Поделиться Опубликовано 6 февраля, 2014 Спасибо за публикацию. Видно что сделано, но не видно как. Все случаи индивидуальны и даже феррул-поддержка культевой части зуба будет иметь разные прогнозы у хрупкой молодой пациентки и мощного возрастного пациента. 2 Ссылка на комментарий
Рекомендуемые сообщения
Для публикации сообщений создайте учётную запись или авторизуйтесь
Вы должны быть пользователем, чтобы оставить комментарий
Создать аккаунт
Зарегистрируйте новый аккаунт в нашем сообществе. Это очень просто!
Регистрация нового пользователяВойти
Уже есть аккаунт? Войти в систему.
Войти