zxc Опубликовано 1 февраля, 2014 Поделиться Опубликовано 1 февраля, 2014 Вот такая история 6 Ссылка на комментарий
iБолит Опубликовано 1 февраля, 2014 Поделиться Опубликовано 1 февраля, 2014 Красава...Сейчас начнутся вопросы про десну и тд 2 1 Ссылка на комментарий
Ст@ся Опубликовано 1 февраля, 2014 Поделиться Опубликовано 1 февраля, 2014 Релакс, какую десну)) Запилено аккуратно, техническая часть красивая - мечта ортопеда!А кому та десна нужна-то…))) Одна пролонгация сроков лечения, дожидайтесь, мол, восстановления микроциркуляции.. Так доктор быстро на квартиру с 4,5 метровыми потолками не заработает)) 2 Ссылка на комментарий
iБолит Опубликовано 1 февраля, 2014 Поделиться Опубликовано 1 февраля, 2014 Релакс, какую десну)) Запилено аккуратно, техническая часть красивая - мечта ортопеда!А кому та десна нужна-то…))) Одна пролонгация сроков лечения, дожидайтесь, мол, восстановления микроциркуляции.. Так доктор быстро на квартиру с 4,5 метровыми потолками не заработает))Смотря как резать а самое главное в каких количествах..Можно так много нарезать что потом на мясном рынке торговать P.S. Сходите на курсы по фото либо сами себя подтяните. И тогда будет вообще все великолепно. 1 Ссылка на комментарий
zxc Опубликовано 1 февраля, 2014 Автор Поделиться Опубликовано 1 февраля, 2014 от начало до конца ушло 2 месяца P.S. Сходите на курсы по фото либо сами себя подтяните. И тогда будет вообще все великолепно. спасибо Ссылка на комментарий
MaxDok Опубликовано 1 февраля, 2014 Поделиться Опубликовано 1 февраля, 2014 Критиковать еще не дорос,но согласитесь при наличии одинаковых зенитов на 11 и21 работа смотрелась бы в разы круче . Как BMW без Schild M/5 или импреза без WRX STi все едут но по разному . 1 2 Ссылка на комментарий
zxc Опубликовано 1 февраля, 2014 Автор Поделиться Опубликовано 1 февраля, 2014 Критиковать еще не дорос,но согласитесь при наличии одинаковых зенитов на 11 и21 работа смотрелась бы в разы круче . Как BMW без Schild M/5 или импреза без WRX STi все едут но по разному .Вы правы, через несколько месяцев проведем коррекцию,не страшно. Ссылка на комментарий
johniola Опубликовано 1 февраля, 2014 Поделиться Опубликовано 1 февраля, 2014 Всё хорошо,зениты,так это на вкус,сколько красивых улыбок есть при разных зенитах, и что?Хотя я бы наверно почикал,ну по настроению конечно. 2 Ссылка на комментарий
MaxDok Опубликовано 1 февраля, 2014 Поделиться Опубликовано 1 февраля, 2014 Всё хорошо,зениты,так это на вкус,сколько красивых улыбок есть при разных зенитах, и что?Хотя я бы наверно почикал,ну по настроению конечно.Согласен , сам у себя обнаружил не так давно ассиметрию зенитов на единичках , причем как по форме так и по высоте , лучше б не знал Видно что автор старался , результат явно не тот к чему шли. 1 Ссылка на комментарий
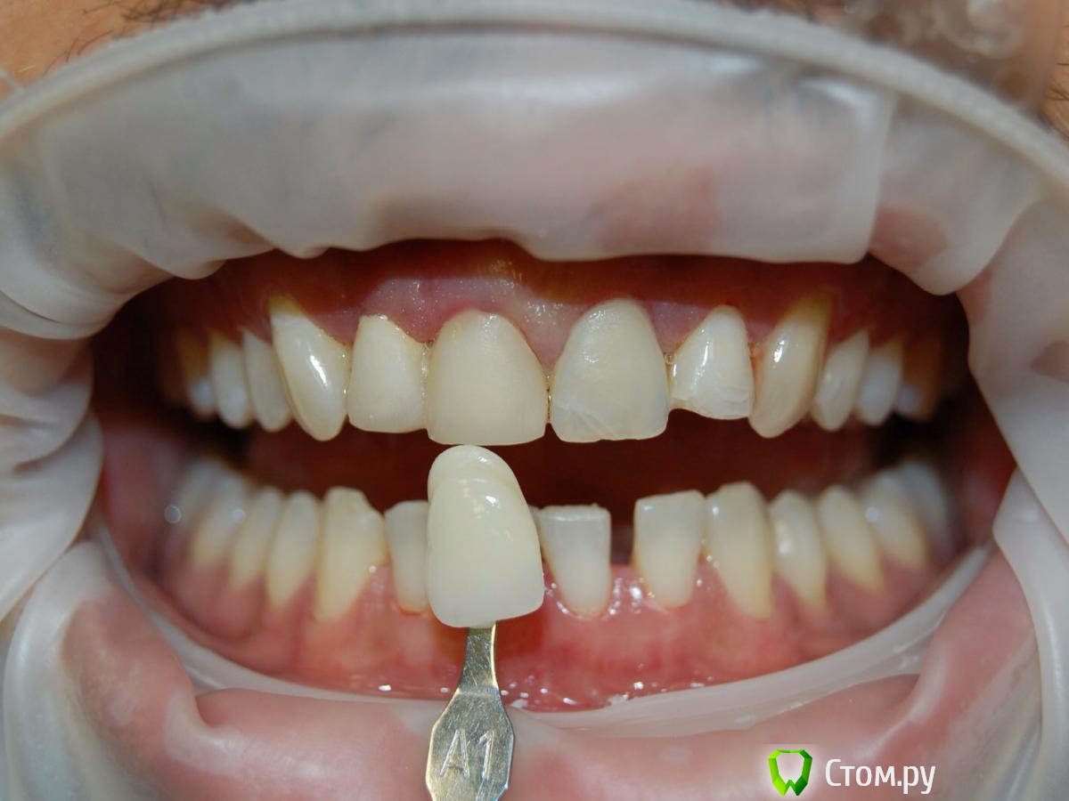
iБолит Опубликовано 1 февраля, 2014 Поделиться Опубликовано 1 февраля, 2014 Одно замечание. Точнее несколькоПри съемке с расцветкой старайтесь располагать в одной плоскости с зубами.У Вас перед ними, значит расцветка получит больше света и будет выглядеть иначе. Обратный эффект если за зубами .Второй момент это съемка с несколькими расцветками для лучшей информативности. (может и были фото, просто тут не выложили, но решил об этом тоже написать ) Так же полезно отдельное внимание уделять клыкам, они дают более полную картину. Они более насыщены , что позволяет в затруднительных ситуациях точнее определить цвет реставрации. 2 Ссылка на комментарий
johniola Опубликовано 1 февраля, 2014 Поделиться Опубликовано 1 февраля, 2014 Одно замечание. Точнее несколькоПри съемке с расцветкой старайтесь располагать в одной плоскости с зубами.У Вас перед ними, значит расцветка получит больше света и будет выглядеть иначе. Обратный эффект если за зубами .Второй момент это съемка с несколькими расцветками для лучшей информативности. (может и были фото, просто тут не выложили, но решил об этом тоже написать ) Так же полезно отдельное внимание уделять клыкам, они дают более полную картину. Они более насыщены , что позволяет в затруднительных ситуациях точнее определить цвет реставрации.Вот вот,нужны ещё 4 руки для расцветок,плюс ещё двое с зади с апохалом,что бы жарко не было Ссылка на комментарий
k.t.m. Опубликовано 1 февраля, 2014 Поделиться Опубликовано 1 февраля, 2014 Камиль-классная работа,молодец! Теперь пациент должен вернуться за нижними винирами))) Ссылка на комментарий
zxc Опубликовано 1 февраля, 2014 Автор Поделиться Опубликовано 1 февраля, 2014 Камиль-классная работа,молодец! Теперь пациент должен вернуться за нижними винирами)))Спасибо дорогой Ссылка на комментарий
zxc Опубликовано 1 февраля, 2014 Автор Поделиться Опубликовано 1 февраля, 2014 результат явно не тот к чему шли.Результат меня устроил, десну подчикать не проблема Ссылка на комментарий
zxc Опубликовано 1 февраля, 2014 Автор Поделиться Опубликовано 1 февраля, 2014 Одно замечание. Точнее несколькоПри съемке с расцветкой старайтесь располагать в одной плоскости с зубами.У Вас перед ними, значит расцветка получит больше света и будет выглядеть иначе. Обратный эффект если за зубами .Второй момент это съемка с несколькими расцветками для лучшей информативности. (может и были фото, просто тут не выложили, но решил об этом тоже написать ) Так же полезно отдельное внимание уделять клыкам, они дают более полную картину. Они более насыщены , что позволяет в затруднительных ситуациях точнее определить цвет реставрации.Спасибо за совет Ссылка на комментарий
scarifikator Опубликовано 1 февраля, 2014 Поделиться Опубликовано 1 февраля, 2014 Хорошая работа. Не считаю коррекцию зенита жизненно важной необходимостью, ИМХО. Всю жизнь чел жил с этим мелким косметическим недостатком и возможно по другому себя и не представляет. Ссылка на комментарий
MaxDok Опубликовано 1 февраля, 2014 Поделиться Опубликовано 1 февраля, 2014 Результат меня устроил, десну подчикать не проблема А пациент наверное и не заметил , какие там еще зениты 1 Ссылка на комментарий
iБолит Опубликовано 1 февраля, 2014 Поделиться Опубликовано 1 февраля, 2014 А пациент наверное и не заметил , какие там еще зениты Вот зайдет сюда почитает и начнет плавить мозг доку)) Спасибо за советДа не за что) Продаваться потом работы будут лучше Ссылка на комментарий
zxc Опубликовано 1 февраля, 2014 Автор Поделиться Опубликовано 1 февраля, 2014 Вот зайдет сюда почитает и начнет плавить мозг доку)) Пациент осведомлен об этом нюансе. Ссылка на комментарий
MaxDok Опубликовано 1 февраля, 2014 Поделиться Опубликовано 1 февраля, 2014 Вот зайдет сюда почитает и начнет плавить мозг доку)) В таком случае скажиете пациенту что я псих не нормальный ,несу ахинею тут всякую Ссылка на комментарий
Prosthodontist Опубликовано 2 февраля, 2014 Поделиться Опубликовано 2 февраля, 2014 Критиковать еще не дорос,но согласитесь при наличии одинаковых зенитов на 11 и21 работа смотрелась бы в разы круче . Как BMW без Schild M/5 или импреза без WRX STi все едут но по разному .СТИху и без шильдиков увидит знающий, так же как и зениты, да Настя? Ссылка на комментарий
Prosthodontist Опубликовано 2 февраля, 2014 Поделиться Опубликовано 2 февраля, 2014 судя по его "старым резцам" у него явно проблемы с суставом Ссылка на комментарий
zxc Опубликовано 2 февраля, 2014 Автор Поделиться Опубликовано 2 февраля, 2014 судя по его "старым резцам" у него явно проблемы с суставомПодробнее можно? Ссылка на комментарий
Bobby Опубликовано 3 февраля, 2014 Поделиться Опубликовано 3 февраля, 2014 Очень хорошая работа. Не шоукейс, но для жизни самое то.При высоких улыбках всёж центральные резцы должны быть зеркальным отображением друг друга. К вопросу о зенитах. 3 Ссылка на комментарий
MaxDok Опубликовано 3 февраля, 2014 Поделиться Опубликовано 3 февраля, 2014 СТИху и без шильдиков увидит знающий, так же как и зениты, да Настя? Ну да . Особенно "знающие" еще и услышат. Только в городе где много машин , в общем потоке не так много таких. Ссылка на комментарий
Рекомендуемые сообщения
Для публикации сообщений создайте учётную запись или авторизуйтесь
Вы должны быть пользователем, чтобы оставить комментарий
Создать аккаунт
Зарегистрируйте новый аккаунт в нашем сообществе. Это очень просто!
Регистрация нового пользователяВойти
Уже есть аккаунт? Войти в систему.
Войти