Алина-малина Опубликовано 28 января, 2014 Поделиться Опубликовано 28 января, 2014 Уважаемые стоматологи, подскажите, пожалуйста, появился клиновидный дефект в следствии опускания десны и, видимо, усердной чистки зубов.((( Если сделать проф гигиену, не усугубит ли она ситуацию? Не будет ли она сильно болезненной в местах где есть этот самый дефект? Как она вообще на эмаль действует? И чем лучше в данном случае лечить этот дефект, запломбировать или сделать подсадку десны? Извините если вопросы глупые, но очень уж боюсь))))) Ссылка на комментарий
IvanK Опубликовано 28 января, 2014 Поделиться Опубликовано 28 января, 2014 Здравствуйте,Выложите Фото Ссылка на комментарий
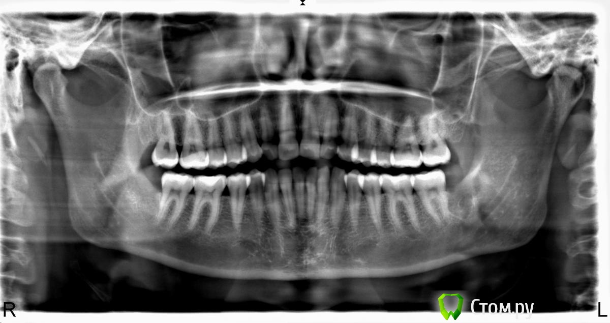
Алина-малина Опубликовано 29 января, 2014 Автор Поделиться Опубликовано 29 января, 2014 Здравствуйте,Выложите ФотоФото дефекта???Выкладываю) Ссылка на комментарий
Алина-малина Опубликовано 29 января, 2014 Автор Поделиться Опубликовано 29 января, 2014 И еще вот на всякий случай Ссылка на комментарий
IvanK Опубликовано 29 января, 2014 Поделиться Опубликовано 29 января, 2014 Нужно сильно улучшить гигиену.Важна не сама чистка, а обучение гигиене. Ссылка на комментарий
Алина-малина Опубликовано 29 января, 2014 Автор Поделиться Опубликовано 29 января, 2014 Нужно сильно улучшить гигиену.Важна не сама чистка, а обучение гигиене.Спасибо, что отвечаете. То, что я неправильно чистила зубы, к сожалению, узнала поздно(((( Подскажите пожалуйста какие действия конкретно сейчас предпринимать? Проф гигиена полости рта? Поможет или усугубит? Пломбирование дефектов? Или операция по поднятию десен? Ссылка на комментарий
IvanK Опубликовано 30 января, 2014 Поделиться Опубликовано 30 января, 2014 Проф гигиена полости рта? Да,+ обучение гигиене (обязательное правильное использование зубной нити) Поможет улучшит ситуацию Операция, далее будет видно Ссылка на комментарий
Алина-малина Опубликовано 30 января, 2014 Автор Поделиться Опубликовано 30 января, 2014 Да,+ обучение гигиене (обязательное правильное использование зубной нити) улучшит ситуацию Операция, далее будет видноСпасибо Вам огромное!) Ссылка на комментарий
red_butler Опубликовано 30 января, 2014 Поделиться Опубликовано 30 января, 2014 + курс реминерализационной терапии, похоже кариесы намечаются Ссылка на комментарий
Алина-малина Опубликовано 30 января, 2014 Автор Поделиться Опубликовано 30 января, 2014 + курс реминерализационной терапии, похоже кариесы намечаютсяСпасибо! А не подскажите на каких зубах они намечаются?) Ссылка на комментарий
red_butler Опубликовано 30 января, 2014 Поделиться Опубликовано 30 января, 2014 практически на всех что на фото, выглядят как белесые пятна Ссылка на комментарий
Алина-малина Опубликовано 30 января, 2014 Автор Поделиться Опубликовано 30 января, 2014 практически на всех что на фото, выглядят как белесые пятнаСпасибо еще раз! Уже записалась на проф гигиену и заказала gc тусс мусс(вычитала про него на этом сайте). Надеюсь поможет. Ссылка на комментарий
Рекомендуемые сообщения
Для публикации сообщений создайте учётную запись или авторизуйтесь
Вы должны быть пользователем, чтобы оставить комментарий
Создать аккаунт
Зарегистрируйте новый аккаунт в нашем сообществе. Это очень просто!
Регистрация нового пользователяВойти
Уже есть аккаунт? Войти в систему.
Войти