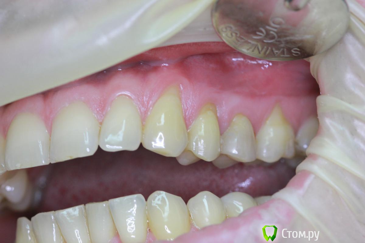
L.E.S.I.K. Опубликовано 24 января, 2014 Поделиться Опубликовано 24 января, 2014 Доброго времени суток, коллеги. Планирую первую операцию по закрытию рецессий. (из муко-гингивльной хурургии делал только трансплантацию СДТ) Думаю, сделать туннель. Вопрос как быть с 26. смущает глубина рецессии и 1мм ЗПД. Может стоит закрыть первым делом 23 24 25. а потом решать с 26. , Ссылка на комментарий
Чертков Александр Опубликовано 25 января, 2014 Поделиться Опубликовано 25 января, 2014 Сделал бы сразу от 2.3 до 2.6 туннельной методикой. ССТ с неба . Ссылка на комментарий
L.E.S.I.K. Опубликовано 25 января, 2014 Автор Поделиться Опубликовано 25 января, 2014 Спасибо. Так и сделаю, когда придут распаторы Хю-Фриди (которые рекомендовал Мане в соседней теме.)Если сравнивать методики коронарно смещенного лосута +ссс и туннельную, какая проще технически для начинающего? Ссылка на комментарий
Чертков Александр Опубликовано 25 января, 2014 Поделиться Опубликовано 25 января, 2014 Из того опыта, что есть у меня (я тоже начинающий ...но уже выполнивший ряд успешных манипуляций и побывавший на мастер классе у Ст@си.. ) - туннель - очень удобная и наименее травматичная методика (просто нужно подготовиться - каппа на нёбо или периакрил или тахокомб). Тем более что при ушивании у вас так или иначе будет некоторое коронарное смещение. Классическое коронарное смещение мне не понравилось: травма (в области вмешательства) больше, швов больше, результат неудовлетворительный... Ссылка на комментарий
Чертков Александр Опубликовано 25 января, 2014 Поделиться Опубликовано 25 января, 2014 распаторы Хю-Фриди ..тоже ими работаю...удобно, но есть лучше. Посмотрите темы Ст@си. Ссылка на комментарий
L.E.S.I.K. Опубликовано 27 января, 2014 Автор Поделиться Опубликовано 27 января, 2014 Из того опыта, что есть у меня (я тоже начинающий ...но уже выполнивший ряд успешных манипуляций и побывавший на мастер классе у Ст@си.. ) - туннель - очень удобная и наименее травматичная методика (просто нужно подготовиться - каппа на нёбо или периакрил или тахокомб). Тем более что при ушивании у вас так или иначе будет некоторое коронарное смещение. Классическое коронарное смещение мне не понравилось: травма (в области вмешательства) больше, швов больше, результат неудовлетворительный... Понял. учту ваши советы. Попробую сделать туннель. Ссылка на комментарий
Рекомендуемые сообщения
Для публикации сообщений создайте учётную запись или авторизуйтесь
Вы должны быть пользователем, чтобы оставить комментарий
Создать аккаунт
Зарегистрируйте новый аккаунт в нашем сообществе. Это очень просто!
Регистрация нового пользователяВойти
Уже есть аккаунт? Войти в систему.
Войти