Алина-малина Опубликовано 20 января, 2014 Поделиться Опубликовано 20 января, 2014 Добрый день! Очень нуждаюсь в помощи! Мне всего 23 года. После беременности появился клиновидный дефект на нижнем клыке и рядом стоящем зубе, появилась чувствительность на всех остальных. Во время беременности активно начали расти два зуба мудрости на нижней челюсти, один удалила в декабре, второй вот 3 дня назад. Оба удаления сложные, хирург когда сделал снимки, сказал что зубы ретинированные и дистопированные. Из-за них же появилась небольшая скученность на нижней челюсти. Была сначала у стоматолога-терапевта, он посто предложил запломбировать дефекты и жить дальше, бегом убежала от такого стоматолога! Пошла к пародотологу, он сказал никакого пародонтита нет, можно нарастить десну(взяв кусочек с неба), а так же сказал обратиться к ортодонту, чтобы исправить прикус и выровнять зубы. Пломбирование исключил. Ортодонт сказала, что мой случай можно исправить капами стар смайл за год! А потом можно уже исправлять дефект. В общем все врачи говорят разное! Не знаю кого слушать и что делать, очень надеюсь на этот форум! Посоветуйте пожалуйста, что делают в таких случаях! Так же буду очень признательна, если посоветуете хороших врачей в Москве или на севере моск обл.Извините за качество фото, постараюсь снять и выложить более удачные, и в разных ракурсах. Ссылка на комментарий
Алина-малина Опубликовано 20 января, 2014 Автор Поделиться Опубликовано 20 января, 2014 Еще забыла написать, пародотолог сказал, что это не клиновидный дефект, а просто десна ушла вниз и оглился дентин! Вот. А хирург 3 дня назад сказал, что клиновидный дефект. (((((( Ссылка на комментарий
Фазлиев Азат Ильдусович Опубликовано 20 января, 2014 Поделиться Опубликовано 20 января, 2014 Добрый день! Очень нуждаюсь в помощи!Мне всего 23 года. После беременности появился клиновидный дефект на нижнем клыке и рядом стоящем зубе, появилась чувствительность на всех остальных. Во время беременности активно начали расти два зуба мудрости на нижней челюсти, один удалила в декабре, второй вот 3 дня назад. Оба удаления сложные, хирург когда сделал снимки, сказал что зубы ретинированные и дистопированные. Из-за них же появилась небольшая скученность на нижней челюсти. Была сначала у стоматолога-терапевта, он посто предложил запломбировать дефекты и жить дальше, бегом убежала от такого стоматолога! Пошла к пародотологу, он сказал никакого пародонтита нет, можно нарастить десну(взяв кусочек с неба), а так же сказал обратиться к ортодонту, чтобы исправить прикус и выровнять зубы. Пломбирование исключил. Ортодонт сказала, что мой случай можно исправить капами стар смайл за год! А потом можно уже исправлять дефект. В общем все врачи говорят разное! Не знаю кого слушать и что делать, очень надеюсь на этот форум! Посоветуйте пожалуйста, что делают в таких случаях!Так же буду очень признательна, если посоветуете хороших врачей в Москве или на севере моск обл.Извините за качество фото, постараюсь снять и выложить более удачные, и в разных ракурсах.http://forum.stom.ru/topic/4655-patcientam/ Ссылка на комментарий
Алина-малина Опубликовано 20 января, 2014 Автор Поделиться Опубликовано 20 января, 2014 К сожалению, снимки сделать пока не могу, потому что после удаления зуба мудрости рот еще нормально не открывается(((( Ссылка на комментарий
Алина-малина Опубликовано 20 января, 2014 Автор Поделиться Опубликовано 20 января, 2014 На самом деле не совсем ясна суть вопроса. Изменился прикус - исправляйте, дефекты - лечите. Кариес или не кариес гадать не надо, если доктор не в состоянии определить что это - кариесдетекторы ему в помощь (цена их копеечная)Про кариес никто и не говорит. Один врач сказал, что это клиновидный дефект(!), другой врач сказал, что десна уползла и оголился дентин и даже цемент зуба. Как я поняла это две разные проблемы с двумя разными способами лечения. Поэтому я здесь(( Ссылка на комментарий
Ayrat_zub Опубликовано 20 января, 2014 Поделиться Опубликовано 20 января, 2014 (изменено) Про кариес никто и не говорит. Один врач сказал, что это клиновидный дефект(!), другой врач сказал, что десна уползла и оголился дентин и даже цемент зуба. Как я поняла это две разные проблемы с двумя разными способами лечения. Поэтому я здесь((одной фотогафрией тут не хватит, попросите снимки у стоматологво у котрых были, либо сделайте новые http://forum.stom.ru...655-patcientam/) Изменено 20 января, 2014 пользователем Ayrat_zub Ссылка на комментарий
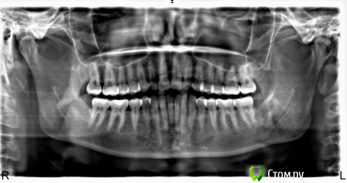
Алина-малина Опубликовано 25 января, 2014 Автор Поделиться Опубликовано 25 января, 2014 одной фотогафрией тут не хватит, попросите снимки у стоматологво у котрых были, либо сделайте новые http://forum.stom.ru...655-patcientam/)Добавляю снимок. Посмотрите пожалуйста((( Ссылка на комментарий
Ayrat_zub Опубликовано 25 января, 2014 Поделиться Опубликовано 25 января, 2014 Фото улыбки 3. Фото с сомкнутыми зубами (сомкнуть все зубы) спереди, справа и слева. На фото справа и слева должны быть видны зубы от центрального резца до шестого.4. Фото лица в фас и профиль. Условия: зубы плотно сжаты как всегда (не выдвигая вперед), губы максимально расслаблены, голова и шея также расслаблены, взгляд ПРЯМО перед собой в зеркало или бесконечность. 1 Ссылка на комментарий
Рекомендуемые сообщения
Для публикации сообщений создайте учётную запись или авторизуйтесь
Вы должны быть пользователем, чтобы оставить комментарий
Создать аккаунт
Зарегистрируйте новый аккаунт в нашем сообществе. Это очень просто!
Регистрация нового пользователяВойти
Уже есть аккаунт? Войти в систему.
Войти