Перейти к содержанию
Стоматология для всех

Боль в зубе после горячего, на снимках проблем не видно


Vasilina

Рекомендуемые сообщения

Здравствуйте ,  я уже обращалась к нескольким стоматологам  и  на форумах , но пока решения проблемы не нашла. Месяц назад начал болеть зуб или десна (справа 6,7 нижний ) , по ощущениям не понятно , то ли зуб от десны ноет , то ли десна отдает на зуб. Боль ноющая, иногда место , где болит немеет , хочется надавить рукой для уменьшения боли, в основном всегда болит после того , как я пью что-то горячее или теплое. . НА холодное , кислое и т.д. реакции нет.Пошла к стоматологу. сделали снимок:стоматолог сказал , что на снимке проблем не видит , при осмотре тоже все хорошо, что причина не в зубе,направила к невропатологу. Невропатолог как мне показалось с сомнением поставил диагноз"повторная невропатия троичного нерва ".Прописал карбамазепин и фламидез. Пропила курс , но улучшений не последовало. Это может означать , что проблема-таки в зубе? В том месте в котором болит все зубы пролеченные , пломбы стоят хорошо (как стоматолог сказал) уже пару лет.  Невропатолога смутило , что реакция есть только на горячее , говорит , что больше похоже на стоматологию , но потом все же поставивила диагноз невропатия. А стоматолог говорит , что если бы это были зубы , то болело бы и ночью , а не только после горячего.

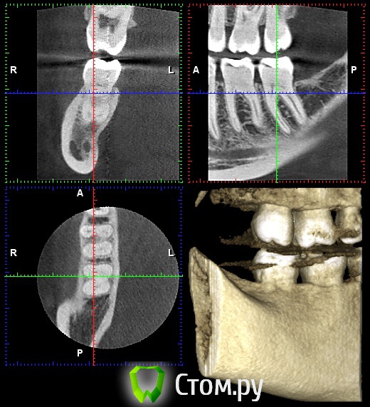
Обратилась на форум , посоветовали сделать КТ и предположили хроническое воспаление в зубе  или еще как вариант проблема с суставом.

 

Обратилась повторно к другому стоматологу после того , как сделала КТ.

Такие результаты : сказали , что оснований для удаления нерва нету , на снимке с зубами все хорошо.

Единственное , что Стоматолог предположил :старые пломбы имеют скол и возможно из-за этого возникает чувствительность зубов . Мне в том месте поставили временную пломбу и предложили два вариант лечения:

1. Хожу неделю с временной пломбой, если боль уменьшается ,- ставим постоянную (т.е причина в сколе и чувствительности)

2. Если через неделю улучшений не будет , иду удалять нерв.

Спросила про сустав : Стоматолог сказал , что если бы это была проблема в суставе , то проблематично было бы закрывать и открывать рот. Т.е. это не сустав.

И вот уже 5-ый день эксперимента. По ощущениям стало хуже.

Если до временной пломбы после горячего или теплого чая стразу же возникала боль, которую можно было снять полосканием холодной водой,то сейчас это меньше помогает. Боль дольше проходит и она сильнее , как мне кажется.

И уже два вечера подряд три раза возникает сильная боль даже без влияния горячего , т.е. самопроизвольная без видимого воздействия внешних факторов. Боль продолжается минут 10 -15. И еще часть временной пломбы выпала ( но не та , что стоит на больном зубе , а на соседнем). Записалась к стоматологу на завтра , и вот не знаю , что делать.

Что бы Вы мне посоветовали бы , у меня пару вариантов:

1. Удалить нерв . Но смущает то , что на КТ Стоматолог не нашел оснований для удаления нерва. Волнуюсь , что удалят нерв не в том зубе , т.к. я только на процентов 70 уверенна, что болит именно этот зуб , а не соседний или десна.

2. Пойти поставить постоянную пломбу и обратиться к невропатологу или пойти к другому третьему стоматологу или еще к кому-то , даже не знаю:-(((.

3. Подождать еще неделю ( но боюсь , как бы не затянуть  да и тяжело терпеть боль)

Прикрепляю свой снимок. Спасибо 

post-37244-0-95648200-1390126865_thumb.jpg

Ссылка на комментарий

Для публикации сообщений создайте учётную запись или авторизуйтесь

Вы должны быть пользователем, чтобы оставить комментарий

Создать аккаунт

Зарегистрируйте новый аккаунт в нашем сообществе. Это очень просто!

Регистрация нового пользователя

Войти

Уже есть аккаунт? Войти в систему.

Войти
×
×
  • Создать...
Вверх