Игорь Пеликан Опубликовано 19 января, 2014 Поделиться Опубликовано 19 января, 2014 Прошу поделиться своими мыслями по поводу хирургической реабилитации(костная пластика) девушки 35 лет,все это покрыто двумя сьемниками.Верх-2 сектор оставляем,в 1 секторе синус,3D.Низ-закапываются сомнения в васкуляризации графта в дистальных отделах, 3D или репозиция,не хочется воспользоваться только междументальным расстоянием? Ссылка на комментарий
АнтонТЛТ Опубликовано 19 января, 2014 Поделиться Опубликовано 19 января, 2014 (изменено) Зд внизу не прокатит. Либо нерв двигать, либо в передний отдел вкручиваться Изменено 19 января, 2014 пользователем АнтонТЛТ 1 Ссылка на комментарий
АнтонТЛТ Опубликовано 19 января, 2014 Поделиться Опубликовано 19 января, 2014 Хотя нерв как мне кажется особо некуда двигать Ссылка на комментарий
Mane Опубликовано 19 января, 2014 Поделиться Опубликовано 19 января, 2014 репозиция нерва. установка имплантатов. далее нерв укладываете латерально. посмотреть бы еще несколько срезов от 36 до 46 Ссылка на комментарий
Игорь Пеликан Опубликовано 19 января, 2014 Автор Поделиться Опубликовано 19 января, 2014 репозиция нерва. установка имплантатов. далее нерв укладываете латерально. посмотреть бы еще несколько срезов от 36 до 46 Репозицию думаю не захочет,и стоит ли игра свечь,красоты и так не будет,а функцию можно и на междументальном сделать,каркас потолще и подвесить. Ссылка на комментарий
Игорь Пеликан Опубликовано 19 января, 2014 Автор Поделиться Опубликовано 19 января, 2014 Зд внизу не прокатит. Либо нера двигать, либо в передний отдел вкручиватьсяАргументируйте пожалуйста почему 3д не прокатит? Ссылка на комментарий
АнтонТЛТ Опубликовано 19 января, 2014 Поделиться Опубликовано 19 января, 2014 Дистально костных пик нет Ссылка на комментарий
Mane Опубликовано 19 января, 2014 Поделиться Опубликовано 19 января, 2014 Дистально костных пик нета они и не нужны. можно и на плоскости вверх вырастить.вы не согласны? Ссылка на комментарий
АнтонТЛТ Опубликовано 19 января, 2014 Поделиться Опубликовано 19 января, 2014 Можно, но будет ли в данном случае прирост на нужную высоту или будет просто операция ради операции?В данном случае поставил бы в передний отдел без дополнительных костных пластик и переносов нерва. 1 Ссылка на комментарий
Mane Опубликовано 19 января, 2014 Поделиться Опубликовано 19 января, 2014 Можно, но будет ли в данном случае прирост на нужную высоту или будет просто операция ради операции?В данном случае поставил бы в передний отдел без дополнительных костных пластик и переносов нерва.теперь мысль ясна. а то я подумал что в принципе нельзя вырастить.конечно 1 сантиметр за 1 раз здесь не вырастить Ссылка на комментарий
DShu Опубликовано 19 января, 2014 Поделиться Опубликовано 19 января, 2014 Можно и сантиметр вырастить, но это уже теменные трансплантаты. Если решите пойти на такие объемы напишите - дам контакты. Ссылка на комментарий
Mane Опубликовано 19 января, 2014 Поделиться Опубликовано 19 января, 2014 Можно и сантиметр вырастить, но это уже теменные трансплантаты. Если решите пойти на такие объемы напишите - дам контакты.это да. но я про внутриротовые источники Ссылка на комментарий
Игорь Пеликан Опубликовано 19 января, 2014 Автор Поделиться Опубликовано 19 января, 2014 Дистально костных пик нетзеленая линия на панорамнике проходит как раз таки по костным пикам,прирост все таки возможен? Ссылка на комментарий
АнтонТЛТ Опубликовано 19 января, 2014 Поделиться Опубликовано 19 января, 2014 (изменено) Дистально ветвь нижней челюсти, а не пики альвеолярного отростка. На такую высоту за один раз не поднять (если делать 3д) Изменено 19 января, 2014 пользователем АнтонТЛТ Ссылка на комментарий
Игорь Пеликан Опубликовано 19 января, 2014 Автор Поделиться Опубликовано 19 января, 2014 Дистально ветвь нижней челюсти, а не пики альвеолярного отростка. На такую высоту за один раз не поднять (если дАА если не 3д,то что?Аллоблоки адаптированые по стереолитографическрй модели? Ссылка на комментарий
АнтонТЛТ Опубликовано 19 января, 2014 Поделиться Опубликовано 19 января, 2014 Если не 3д, то с внеротрвые источники. Аллоблоками не делал. Ссылка на комментарий
CToMaToJlor Опубликовано 19 января, 2014 Поделиться Опубликовано 19 января, 2014 Со здоровьем как у девушки? Не с проста у нее такой ахтунг, мне кажется. Ссылка на комментарий
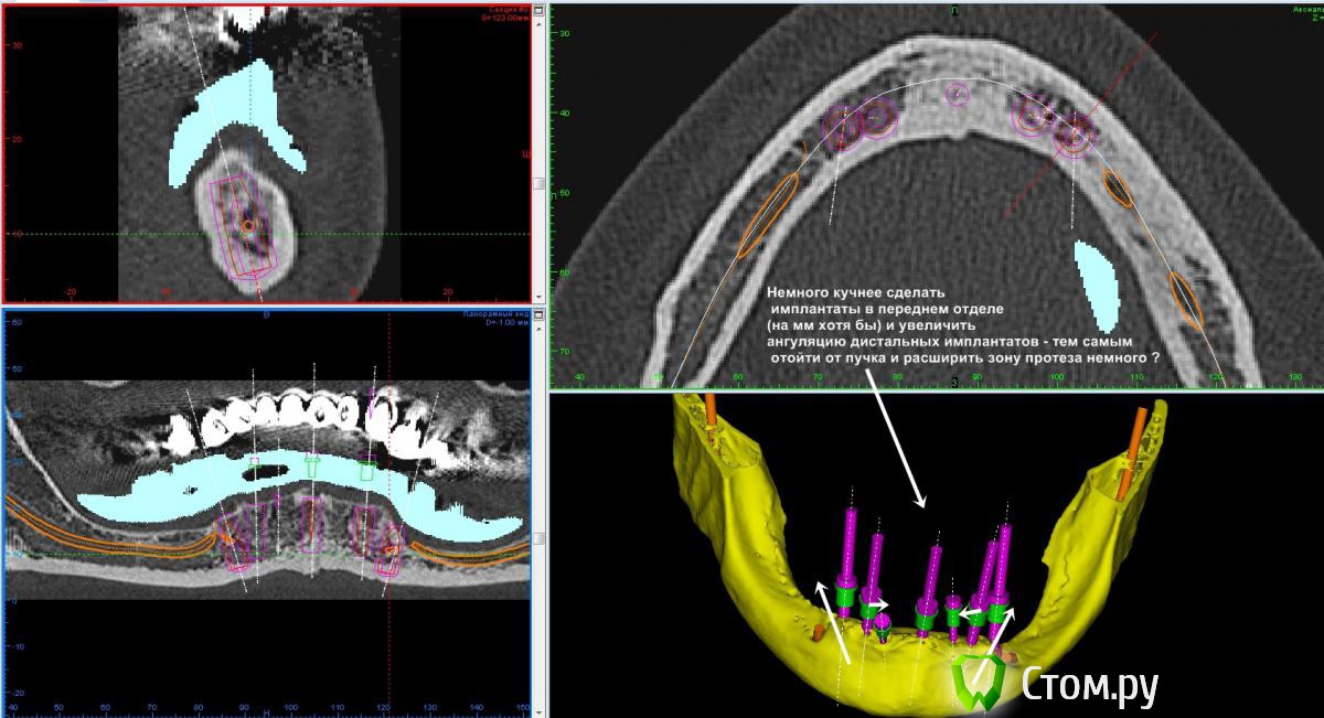
dent-a Опубликовано 19 января, 2014 Поделиться Опубликовано 19 января, 2014 яб воттак сделал - но тут пациентка под 60лет Ссылка на комментарий
Игорь Пеликан Опубликовано 19 января, 2014 Автор Поделиться Опубликовано 19 января, 2014 Со здоровьем как у девушки? Не с проста у нее такой ахтунг, мне кажется.Анамнез не обтяжен,говорит наследственно,у матери похожая ситуация,плюс ятрогенный фактор,может не договаривает Ссылка на комментарий
Рекомендуемые сообщения
Для публикации сообщений создайте учётную запись или авторизуйтесь
Вы должны быть пользователем, чтобы оставить комментарий
Создать аккаунт
Зарегистрируйте новый аккаунт в нашем сообществе. Это очень просто!
Регистрация нового пользователяВойти
Уже есть аккаунт? Войти в систему.
Войти