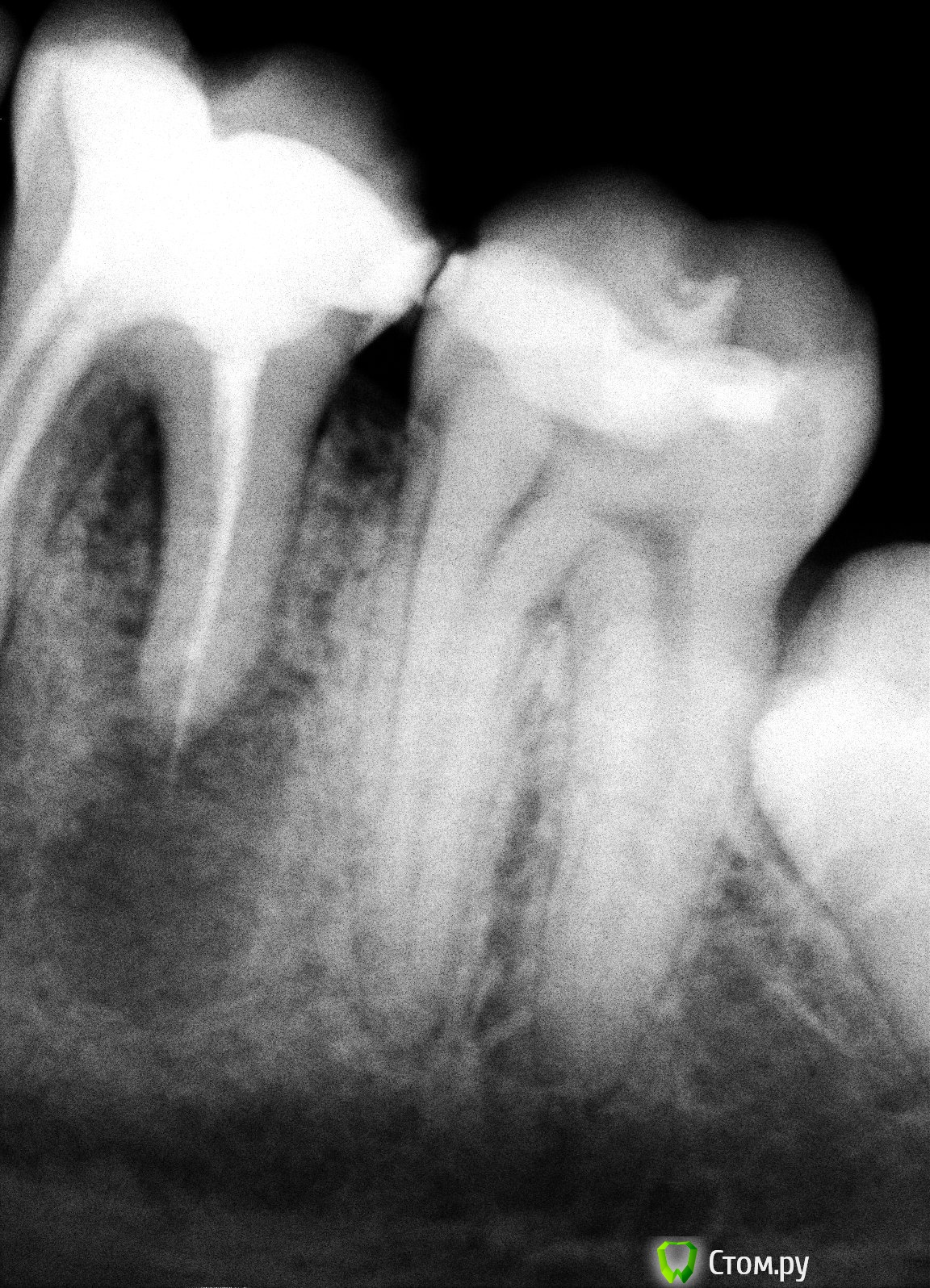
vovka2 Опубликовано 16 января, 2014 Поделиться Опубликовано 16 января, 2014 (изменено) Добрый день хотел задать вопрос по поводу кисты зуба. Около 5 лет назад разболелся 6 нижний левый зуб пошел к стоматологу зуб поставлена была временная пломба, затем на второй приход зуб депульпировали и поставили пломбу. Недавно этот зуб немножко надломился с краешку незначительно. Перед тем как исправить дефект на зубе врач на всякий случай сделали рентген и сказал что там киста и надо удалять зуб, что лечение в данном случае не принесет результатов.Хотелось бы узнать ваше мнение доктора насколько срочная ситуация. Тк зуб абсолютно не беспокоит. Заранее благодарю.. Снимки прилагаются.. Изменено 16 января, 2014 пользователем vovka2 Ссылка на комментарий
rivezico Опубликовано 16 января, 2014 Поделиться Опубликовано 16 января, 2014 удаляйте Ссылка на комментарий
IvanK Опубликовано 16 января, 2014 Поделиться Опубликовано 16 января, 2014 Здравствуйте, удаляйте+1 насколько срочная ситуация данная ситуация - "бомба" замедленного действия", когда рванет - не известно Ссылка на комментарий
DmitrySH Опубликовано 16 января, 2014 Поделиться Опубликовано 16 января, 2014 Я предложил попробовать лечение. Ничего очень страшного тут не вижу. Ссылка на комментарий
IvanK Опубликовано 17 января, 2014 Поделиться Опубликовано 17 января, 2014 опять мнения разделились)) 1 Ссылка на комментарий
vovka2 Опубликовано 17 января, 2014 Автор Поделиться Опубликовано 17 января, 2014 Спасибо за ответ. Тут случайно нашел ортопантограмму 2-х летней давности, а предыдущие снимки совсем свежие. Есть ли там динамика за 2 года. Ссылка на комментарий
IvanK Опубликовано 17 января, 2014 Поделиться Опубликовано 17 января, 2014 http://s019.radikal.ru/i605/1401/66/ccce183866bb.jpg Ссылка на комментарий
IvanK Опубликовано 17 января, 2014 Поделиться Опубликовано 17 января, 2014 Так удобнее... По этому снимку, рекомендовал бы удалить 38, 28перелечить 36,46 с последующим протезированием. Альтернатива - имплантация Ссылка на комментарий
vovka2 Опубликовано 17 января, 2014 Автор Поделиться Опубликовано 17 января, 2014 Уже за это время все пролечил. Остался вопрос с кистой. Ссылка на комментарий
DmitrySH Опубликовано 17 января, 2014 Поделиться Опубликовано 17 января, 2014 опять мнения разделились )) Так это же хорошо. По теме считаю, что вопрос можно решить и хирургически и терапевтически. 1 Ссылка на комментарий
IvanK Опубликовано 17 января, 2014 Поделиться Опубликовано 17 января, 2014 Так это же хорошо. По теме считаю, что вопрос можно решить и хирургически и терапевтически. Согласен на все 100:) Ссылка на комментарий
red_butler Опубликовано 17 января, 2014 Поделиться Опубликовано 17 января, 2014 Уже за это время все пролечил. Остался вопрос с кистой.Когда сделан последний снимок? Если зуб не беспокоит - сделайте повторный снимок через 3 -6 месяцем Ссылка на комментарий
vovka2 Опубликовано 17 января, 2014 Автор Поделиться Опубликовано 17 января, 2014 Последний снимок сделан 15.01.14. Ссылка на комментарий
red_butler Опубликовано 17 января, 2014 Поделиться Опубликовано 17 января, 2014 Удаляйте и имплантируйтесь Ссылка на комментарий
Рекомендуемые сообщения
Для публикации сообщений создайте учётную запись или авторизуйтесь
Вы должны быть пользователем, чтобы оставить комментарий
Создать аккаунт
Зарегистрируйте новый аккаунт в нашем сообществе. Это очень просто!
Регистрация нового пользователяВойти
Уже есть аккаунт? Войти в систему.
Войти