Перейти к содержанию
Стоматология для всех

Помогите поставить диагноз! Периодонтит?


inkogniTA

Рекомендуемые сообщения

Добрый день уважаемые стоматологи!

Подскажите как быть...

Не понятно что болит и уже сил нет терпеть...Стоматологи разводят руками.

 

Предыстория такова:

 

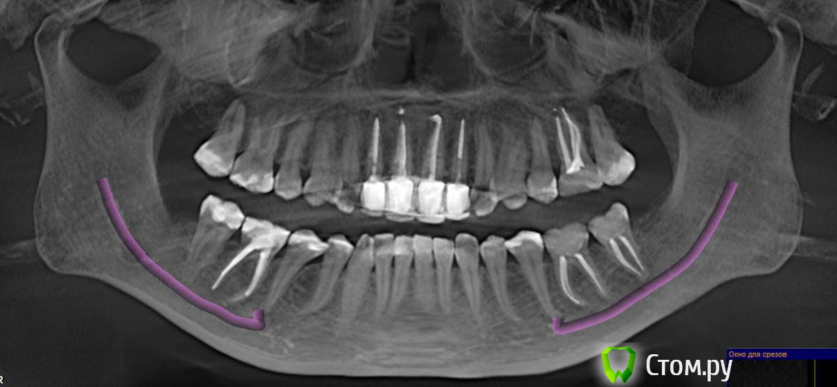
болел 6 или 7 зуб справа внизу (где-то между), боль не сильная была, ноющая, немного пульсирующая...иногда рядом чуть "дергала десна" (между 6 и 7). Болело месяцев 6 (то болит, то проходит). Ходила к стоматологам, промывали десневой карман, думали воспаляется десна, но нет, оказалось не она. Зуб 6 депульпирован давно (на снимке видно). Снимок прилагаю. 7-ка была живая с большой пломбой.

 

Недавно боль появилась снова и уже довольно ощутимая. Пошла к врачу, врач сказал, что на зуб давит 8-ка, которая была сложная, непрорезавшаяся.

 

16-го декабря восьмерку удалили. Операция прошла вроде бы нормально, ранка заживает. Осложнений нет (так сказал хирург).

 

Зуб продолжал болеть! Причем боль отдавала в ухо и была довольно интенсивной. И опять не понятно 6 или 7.

 

Снова пошла к врачу. Сказал, что надо 7-ку депульпировать. Что это она дает боли.

 

27 декабря депульпировали. Сильная боль ушла, НО осталось неприятное "пульсирование" и распирание в 6-м зубе! Причем такое ощущение, что зуб горячий (когда дотрагиваешься языком). И это уже точно 6-ка дает такие ощущения.

 

Это какой-то кошмар!!! Неужели на самом деле изначально проблема была в 6-м зубе? Он депульпирован давно.

 

Неужели причина мучения периодонтит 6-го зуба? Врачи говорят, что не он скорее всего...

 

Я уже не знаю что и делать!!!

 

Помогите найти причину боли и дискомфорта, пожалуйста!!! И что вообще скажете по снимку? Какие видно проблемы?

 

Спасибо!

post-36982-0-65184900-1388251120_thumb.jpg

Изменено пользователем inkogniTA
Ссылка на комментарий

Для публикации сообщений создайте учётную запись или авторизуйтесь

Вы должны быть пользователем, чтобы оставить комментарий

Создать аккаунт

Зарегистрируйте новый аккаунт в нашем сообществе. Это очень просто!

Регистрация нового пользователя

Войти

Уже есть аккаунт? Войти в систему.

Войти
×
×
  • Создать...
Вверх