Популярный пост Stepa Опубликовано 16 декабря, 2013 Популярный пост Поделиться Опубликовано 16 декабря, 2013 Сначала был воск,потом еще воск,и потом мы вернулись к воску первому 20 Ссылка на комментарий
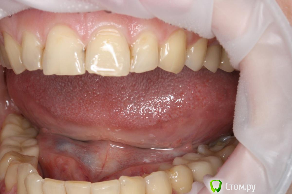
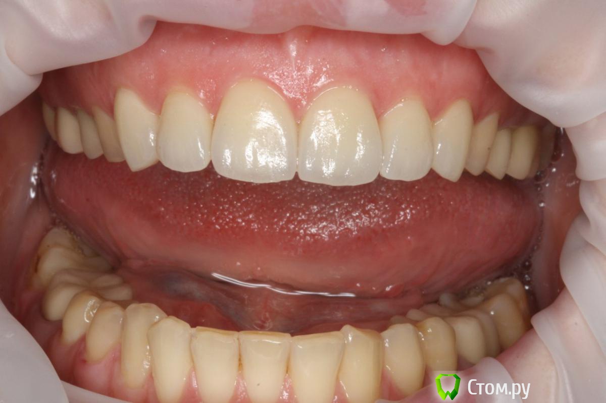
Stepa Опубликовано 16 декабря, 2013 Автор Поделиться Опубликовано 16 декабря, 2013 последнее фото через месяц после фиксации Ссылка на комментарий
carloss Опубликовано 17 декабря, 2013 Поделиться Опубликовано 17 декабря, 2013 Супер форма,дизайн, интеграция.. немного опаково, но, наверное, это фотки такие 2 Ссылка на комментарий
IvanK Опубликовано 17 декабря, 2013 Поделиться Опубликовано 17 декабря, 2013 Класс!) Ссылка на комментарий
iБолит Опубликовано 17 декабря, 2013 Поделиться Опубликовано 17 декабря, 2013 Прекрасно 1 Ссылка на комментарий
Mailze Опубликовано 17 декабря, 2013 Поделиться Опубликовано 17 декабря, 2013 (изменено) Может быть это и извращение , но очень нравятся фотографии "до", неровный край, трещинки, цвет, естественный блеск и прозрачность - красота! Не было бы кариозных полостей на контактах, было бы вообще чудесно. З.Ы. Работа хорошая. Изменено 17 декабря, 2013 пользователем Mailze Ссылка на комментарий
Bobby Опубликовано 17 декабря, 2013 Поделиться Опубликовано 17 декабря, 2013 Очень достойная эстетическая и биологическая интеграция реставраций. Техник засекречен? Форма зубов очень вкусная. Вы молодец. Спасибо за кейс. Теперь нужно потихоньку налегать на "все на 28". 1 1 Ссылка на комментарий
Nadzivany Опубликовано 17 декабря, 2013 Поделиться Опубликовано 17 декабря, 2013 Красиво, но начал бы я с отбеливания...если выбирать такой цвет E.max Ссылка на комментарий
Ст@ся Опубликовано 18 декабря, 2013 Поделиться Опубликовано 18 декабря, 2013 Теперь нужно потихоньку налегать на "все на 28".кому нужно? 3 Ссылка на комментарий
Bobby Опубликовано 18 декабря, 2013 Поделиться Опубликовано 18 декабря, 2013 кому нужно?Настёна, не тебе :-) 1 1 Ссылка на комментарий
Heatshock Опубликовано 18 декабря, 2013 Поделиться Опубликовано 18 декабря, 2013 Простите, но где тут заслуга Бабурова и Дажаева? Это врачи, а фото препа и оттисков я не нашел... Работа крутая, но надо выделить техника, имхо 7 Ссылка на комментарий
doca Опубликовано 18 декабря, 2013 Поделиться Опубликовано 18 декабря, 2013 Сначала был воск,потом еще воск,и потом мы вернулись к воску первомуклассное исполнение, рассекретьте пожалуйста техника, можно в личку Ссылка на комментарий
Bobby Опубликовано 18 декабря, 2013 Поделиться Опубликовано 18 декабря, 2013 Друзья, завтра в учебном повесим анонс повторения курса Гаджи Дажаева. Ссылка на комментарий
Bobby Опубликовано 18 декабря, 2013 Поделиться Опубликовано 18 декабря, 2013 Простите, но где тут заслуга Бабурова и Дажаева? Это врачи, а фото препа и оттисков я не нашел... Работа крутая, но надо выделить техника, имхо Очень часто мы не видим то, чего не знаем и поэтому не видим. Я, например, вижу тут свою заслугу На курсах я часто спрашиваю докторов: "А чего вы не выкладываете свои кейсы на форумах? Это же мощнейший инструмент для самообразования" 3 1 Ссылка на комментарий
Yoda Опубликовано 18 декабря, 2013 Поделиться Опубликовано 18 декабря, 2013 Работа хорошая, но название темы не раскрыто. Расскажате в картинках что и как тут было. Например, каким методом Вы делали симметричными шейки центральных резцов. 1 Ссылка на комментарий
Want Опубликовано 20 декабря, 2013 Поделиться Опубликовано 20 декабря, 2013 Форма супер!Десна имхо не трогалась.фото немного наклонено по диагонали,создаётся впечатление симметричности шеек 11и21. Ссылка на комментарий
Stepa Опубликовано 22 декабря, 2013 Автор Поделиться Опубликовано 22 декабря, 2013 Простите, но где тут заслуга Бабурова и Дажаева? Это врачи, а фото препа и оттисков я не нашел... Работа крутая, но надо выделить техника, имхосистематизация планирования,четко построенный алгоритм,великлепный результат Ссылка на комментарий
Stepa Опубликовано 22 декабря, 2013 Автор Поделиться Опубликовано 22 декабря, 2013 техника не назову,без согласия ее Ссылка на комментарий
zybnaya feya Опубликовано 22 декабря, 2013 Поделиться Опубликовано 22 декабря, 2013 Красивая форма получилась. Техник хорош! Покажите,если есть,преп. Интересен его объем. Ссылка на комментарий
Avakot Опубликовано 23 декабря, 2013 Поделиться Опубликовано 23 декабря, 2013 А можно фото препа? Ссылка на комментарий
Stepa Опубликовано 25 декабря, 2013 Автор Поделиться Опубликовано 25 декабря, 2013 Коллеги фото препа и оттиска нет,к сожелению Ссылка на комментарий
Stepa Опубликовано 25 декабря, 2013 Автор Поделиться Опубликовано 25 декабря, 2013 Зуб.техник- Ельмеева Татьяна (спб) Ссылка на комментарий
Рекомендуемые сообщения
Для публикации сообщений создайте учётную запись или авторизуйтесь
Вы должны быть пользователем, чтобы оставить комментарий
Создать аккаунт
Зарегистрируйте новый аккаунт в нашем сообществе. Это очень просто!
Регистрация нового пользователяВойти
Уже есть аккаунт? Войти в систему.
Войти