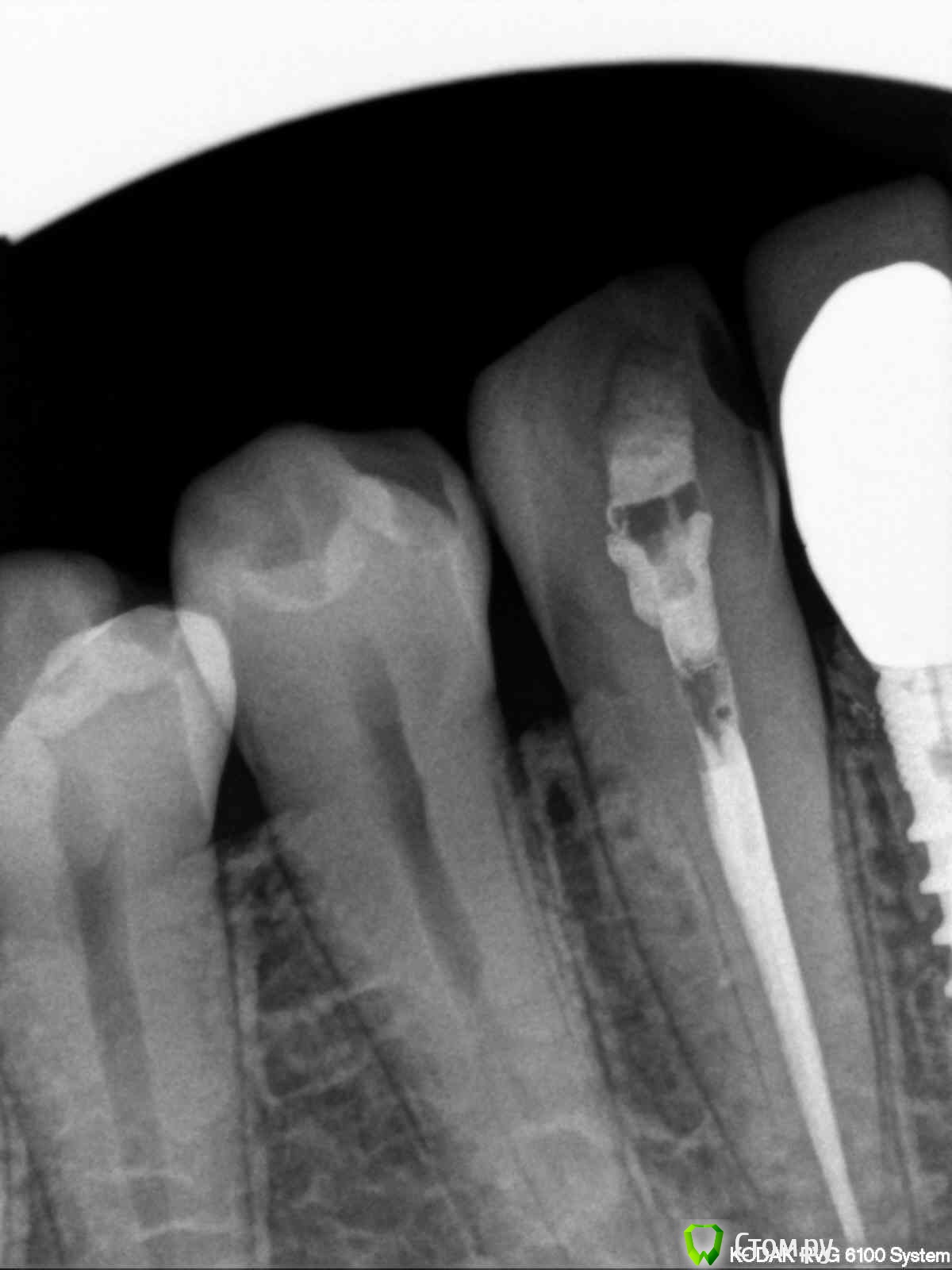
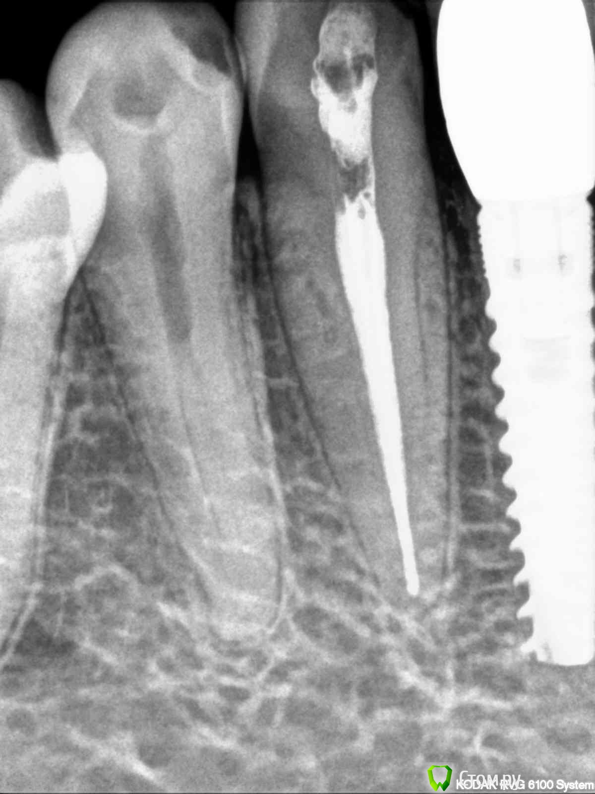
englishlady Опубликовано 16 декабря, 2013 Поделиться Опубликовано 16 декабря, 2013 Уважаемые врачи, здравствуйте. Позвольте Вас еще раз побеспокоить. В зубе 43 полгода назад лечились каналы. Все это время на зубе временная пломба из цемента. На нем даже возможно образовался кариес. Иногда зуб незначительно ноет. Пред дальнейшим лечением (пломба или коронка) есть необходимость в том, чтобы перелечить каналы? Или лучше не трогать. Снимок прилагаю. Заранее спасибо Ссылка на комментарий
IvanK Опубликовано 16 декабря, 2013 Поделиться Опубликовано 16 декабря, 2013 Здравствуйте,выглядит все хорошо,но если ноет - нужно. Вам бы на очный прием, может и не он ноет.. Ссылка на комментарий
englishlady Опубликовано 16 декабря, 2013 Автор Поделиться Опубликовано 16 декабря, 2013 Я буду на очном приеме в январе. Ссылка на комментарий
Рекомендуемые сообщения
Для публикации сообщений создайте учётную запись или авторизуйтесь
Вы должны быть пользователем, чтобы оставить комментарий
Создать аккаунт
Зарегистрируйте новый аккаунт в нашем сообществе. Это очень просто!
Регистрация нового пользователяВойти
Уже есть аккаунт? Войти в систему.
Войти