Наталия1978 Опубликовано 13 декабря, 2013 Поделиться Опубликовано 13 декабря, 2013 Уважаемые специалисты.Подскажите пожалуйста как лучше поступить в такой ситуации.Верхняя четверка под коронкой с кистой?На данный момент коронку сняли,оказалось что практически нет тканей зуба и врач сказал что перелечивание и протезирование не имеет смысла.Лучше импланат или все таки перелечить и поставить вкладку и коронку?Вчера сняли коронку с четвертого зуба,сегодня уже флюс.(((С этой же стороны верхние 5,6 и 7 зубы.Стоит ли их перелечивать?Они не беспокоят,кариеса нет,пломбы стоят хорошо.Если не перелечивать и не одевать коронки то какая перспектива для этих зубов в будущем?Спасибо большое.))) Ссылка на комментарий
IvanK Опубликовано 13 декабря, 2013 Поделиться Опубликовано 13 декабря, 2013 Здравствуйте, нужен очный осмотр.Если зуб разрешен ниже уровня десны - удаление + на снимке воспалительный процесс в пазухе, скорее всего причина в зубах Ссылка на комментарий
Наталия1978 Опубликовано 13 декабря, 2013 Автор Поделиться Опубликовано 13 декабря, 2013 Здравствуйте, нужен очный осмотр.Если зуб разрешен ниже уровня десны - удаление + на снимке воспалительный процесс в пазухе, скорее всего причина в зубахСпасибо большое.)Да,зуб без стенок ниже уровня десны.(Дело именно в этом четвертом зубе,или и другие зубы тоже нужно перелечивать?Интересуют 5,6 и 7 верхние зубы сверху справа после четверки с кистой. Ссылка на комментарий
IvanK Опубликовано 14 декабря, 2013 Поделиться Опубликовано 14 декабря, 2013 Для ответа на Ваш вопрос нужны скриншоты других срезов.Или выложите панорамный снимок( оптг) Ссылка на комментарий
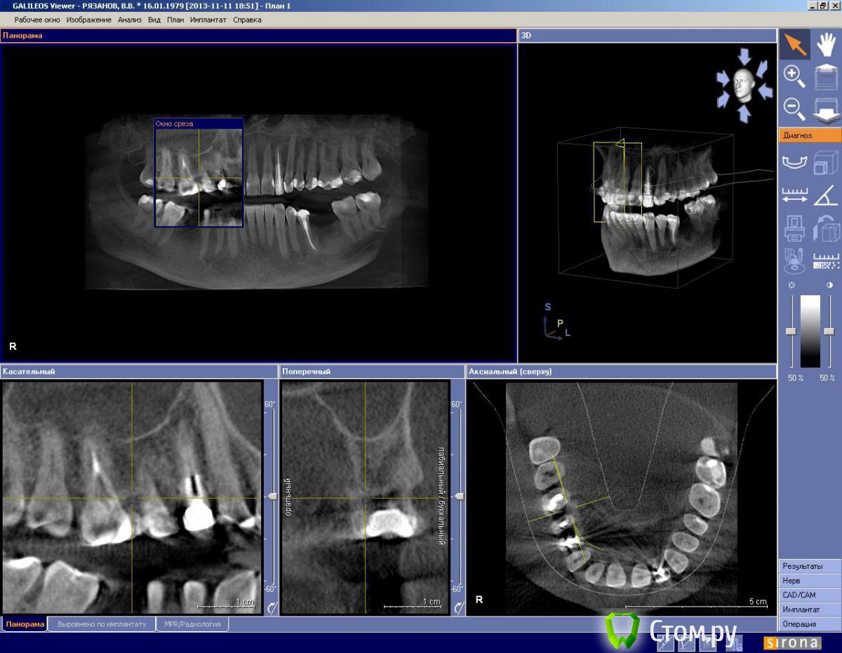
Наталия1978 Опубликовано 16 декабря, 2013 Автор Поделиться Опубликовано 16 декабря, 2013 Для ответа на Ваш вопрос нужны скриншоты других срезов.Или выложите панорамный снимок( оптг)Спасибо.)))Могу выложить КТ если устроит. Ссылка на комментарий
IvanK Опубликовано 17 декабря, 2013 Поделиться Опубликовано 17 декабря, 2013 Спасибо.)))Могу выложить КТ если устроит.КТ мало кто может/будет качать.. лучше скриншоты 1 Ссылка на комментарий
Наталия1978 Опубликовано 21 декабря, 2013 Автор Поделиться Опубликовано 21 декабря, 2013 КТ мало кто может/будет качать.. лучше скриншоты Решили 6 перелечить все таки.Обязательно ли после перелечивания каналов коронку одевать?Спасибо.) Ссылка на комментарий
IvanK Опубликовано 21 декабря, 2013 Поделиться Опубликовано 21 декабря, 2013 В Вашем случае, думаю, что да 1 Ссылка на комментарий
Рекомендуемые сообщения
Для публикации сообщений создайте учётную запись или авторизуйтесь
Вы должны быть пользователем, чтобы оставить комментарий
Создать аккаунт
Зарегистрируйте новый аккаунт в нашем сообществе. Это очень просто!
Регистрация нового пользователяВойти
Уже есть аккаунт? Войти в систему.
Войти