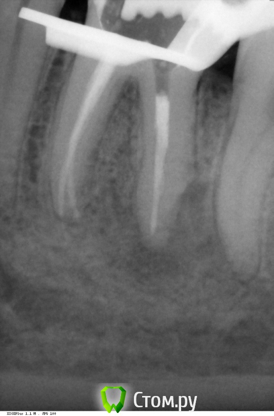
arimo Опубликовано 11 декабря, 2013 Поделиться Опубликовано 11 декабря, 2013 Добрый день. Помогите понять что дальше делать с зубом.Зуб- нижняя левая шестерка, депульпирован около 10 лет назад, периодически ныл, потом все проходило. В конце сентября начались сильные боли, неделю пришлось принимать кетанов. Врач вскрыл каналы (был гной), промыл, положил лекарство (какой то препарат кальция), через 2 недели запломбировал.Через 10 дней началась боли при надкусывании. Сейчас зуб сильно ноет, чувство распирания в десне, боль при легком касании.Вопросы:1. Имеет смысл повторно вскрывать каналы и класть лекарство?2. Если нет, имеет ли смысл делать резекцию корня и какие могут быть последствия? Ссылка на комментарий
Мартовский Опубликовано 11 декабря, 2013 Поделиться Опубликовано 11 декабря, 2013 По поводу резекции - однозначно нет смысла, по поводу еще одной перелечки не уверен, может проще удалить с последующей имплантацией. 1 Ссылка на комментарий
arimo Опубликовано 11 декабря, 2013 Автор Поделиться Опубликовано 11 декабря, 2013 Ну удалить всегда успеется)По перелечиванию- после пломбировки я простыла, долго держалась температура, может поэтому организм не справился, вдруг со второго раза получится.А почему резекция не имеет смысла? Ссылка на комментарий
red_butler Опубликовано 11 декабря, 2013 Поделиться Опубликовано 11 декабря, 2013 Я не буду так категоричен, резекция в данном случае возможна. Только нужно понимать, что прогноз имплантации несравненно выше. Ссылка на комментарий
IvanK Опубликовано 11 декабря, 2013 Поделиться Опубликовано 11 декабря, 2013 Я за имплантат. Ссылка на комментарий
red_butler Опубликовано 11 декабря, 2013 Поделиться Опубликовано 11 декабря, 2013 Я за имплантат. Я собственно, тоже... Просто пациент должен знать все варианты лечения и выбрать лучший - имплантацию Ссылка на комментарий
Рекомендуемые сообщения
Для публикации сообщений создайте учётную запись или авторизуйтесь
Вы должны быть пользователем, чтобы оставить комментарий
Создать аккаунт
Зарегистрируйте новый аккаунт в нашем сообществе. Это очень просто!
Регистрация нового пользователяВойти
Уже есть аккаунт? Войти в систему.
Войти