IvanK Опубликовано 9 декабря, 2013 Поделиться Опубликовано 9 декабря, 2013 http://s019.radikal.ru/i629/1312/52/302898945a08.jpg 19 Ссылка на комментарий
Mane Опубликовано 9 декабря, 2013 Поделиться Опубликовано 9 декабря, 2013 Хорошо 1 Ссылка на комментарий
Sir Edward'S Опубликовано 9 декабря, 2013 Поделиться Опубликовано 9 декабря, 2013 красиво )а этапы можно увидеть вместе со швами ?) 1 Ссылка на комментарий
IvanK Опубликовано 9 декабря, 2013 Автор Поделиться Опубликовано 9 декабря, 2013 Хорошоспасибо. Ссылка на комментарий
IvanK Опубликовано 9 декабря, 2013 Автор Поделиться Опубликовано 9 декабря, 2013 красиво )а этапы можно увидеть вместе со швами ?)можно) Ссылка на комментарий
IvanK Опубликовано 9 декабря, 2013 Автор Поделиться Опубликовано 9 декабря, 2013 http://s004.radikal.ru/i208/1312/9b/3ab6f7892a8a.jpghttp://s020.radikal.ru/i716/1312/25/eba729e55a95.jpghttp://i069.radikal.ru/1312/58/40f5261506e8.jpghttp://s019.radikal.ru/i629/1312/76/b060b2fec70d.jpghttp://s019.radikal.ru/i615/1312/56/79549d3eb9a1.jpghttp://i017.radikal.ru/1312/43/01c2f541d440.jpghttp://s001.radikal.ru/i194/1312/32/1f86a0549882.jpghttp://s019.radikal.ru/i624/1312/73/71a460ee725b.jpghttp://i017.radikal.ru/1312/78/03ba84da4a79.jpghttp://s019.radikal.ru/i638/1312/fe/c88e86fdb02d.jpg 11 1 Ссылка на комментарий
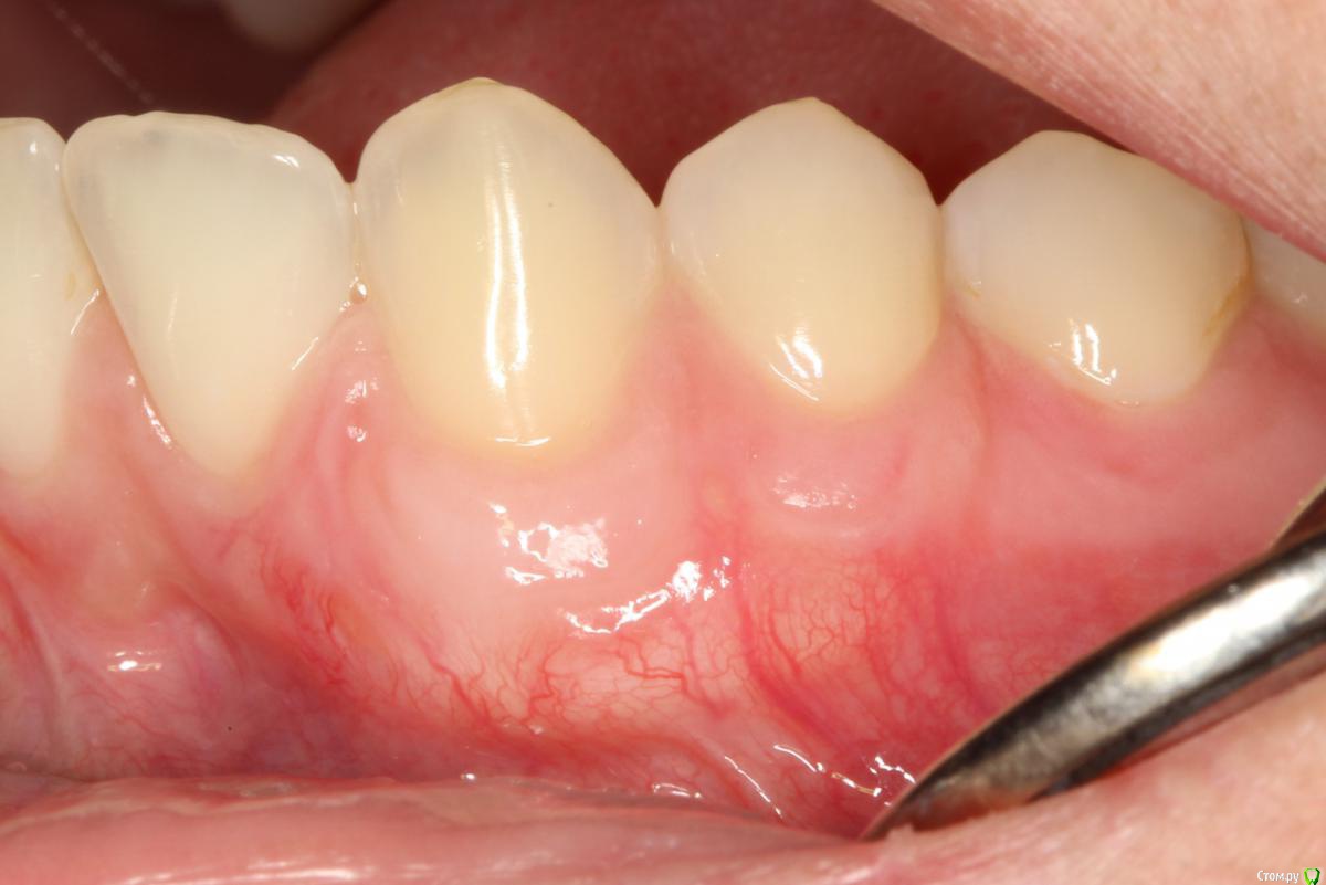
IvanK Опубликовано 9 декабря, 2013 Автор Поделиться Опубликовано 9 декабря, 2013 Зуб ни чем не обрабатывался.Губка приклеена на PeryAcryl,последнее фото - после снятия "корочки" последние 3 фото - вид через 7-10 дней Ссылка на комментарий
kriokov Опубликовано 9 декабря, 2013 Поделиться Опубликовано 9 декабря, 2013 Иван , лоскут прям как из атласа, образцово- показательный Скальпелем 15с выгрызал? Что в дырке на небе? Ссылка на комментарий
IvanK Опубликовано 9 декабря, 2013 Автор Поделиться Опубликовано 9 декабря, 2013 После снятия швов http://s017.radikal.ru/i414/1312/a7/5356c9cc9b5a.jpg небо через 6-8 недельhttp://s019.radikal.ru/i641/1312/9b/1aafd5543f3a.jpg 2 Ссылка на комментарий
IvanK Опубликовано 9 декабря, 2013 Автор Поделиться Опубликовано 9 декабря, 2013 Иван , лоскут прям как из атласа, образцово- показательный Скальпелем 15с выгрызал? Что в дырке на небе? Игорь, нет, скальпель 69 от Карла Мартина + инструменты для тоннелей. В дырке - губка, колапол. Если найду - выложу фото пол раны с ним(с губкой), пол - без (только клей), если интересно 4 Ссылка на комментарий
Чертков Александр Опубликовано 10 декабря, 2013 Поделиться Опубликовано 10 декабря, 2013 Красиво. Аккуратно. 1 Ссылка на комментарий
IvanK Опубликовано 10 декабря, 2013 Автор Поделиться Опубликовано 10 декабря, 2013 Если найду - выложу фото пол раны с ним(с губкой), пол - без (только клей), если интересно http://s020.radikal.ru/i717/1312/b5/da789ac7252a.jpg через неделю http://s019.radikal.ru/i615/1312/d5/954212900b65.jpg 1 Ссылка на комментарий
Sir Edward'S Опубликовано 10 декабря, 2013 Поделиться Опубликовано 10 декабря, 2013 Очень аккуратно ! 2 Ссылка на комментарий
rivezico Опубликовано 10 декабря, 2013 Поделиться Опубликовано 10 декабря, 2013 Иван, мастерски Ссылка на комментарий
Чертков Александр Опубликовано 10 декабря, 2013 Поделиться Опубликовано 10 декабря, 2013 Иван, а почему донор 50\50 - Периакрил\губка ? Сравнить? Ссылка на комментарий
IvanK Опубликовано 10 декабря, 2013 Автор Поделиться Опубликовано 10 декабря, 2013 Очень аккуратно ! Иван, мастерски Спасибо. Иван, а почему донор 50\50 - Периакрил\губка ? Сравнить?Да, интересно было 1 Ссылка на комментарий
Alexey Doc Опубликовано 10 декабря, 2013 Поделиться Опубликовано 10 декабря, 2013 Отличная работа + интересный опыт над небом!Доказательная медицина ёпт 1 Ссылка на комментарий
IvanK Опубликовано 8 февраля, 2018 Автор Поделиться Опубликовано 8 февраля, 2018 2017 г 9 Ссылка на комментарий
Рекомендуемые сообщения
Для публикации сообщений создайте учётную запись или авторизуйтесь
Вы должны быть пользователем, чтобы оставить комментарий
Создать аккаунт
Зарегистрируйте новый аккаунт в нашем сообществе. Это очень просто!
Регистрация нового пользователяВойти
Уже есть аккаунт? Войти в систему.
Войти