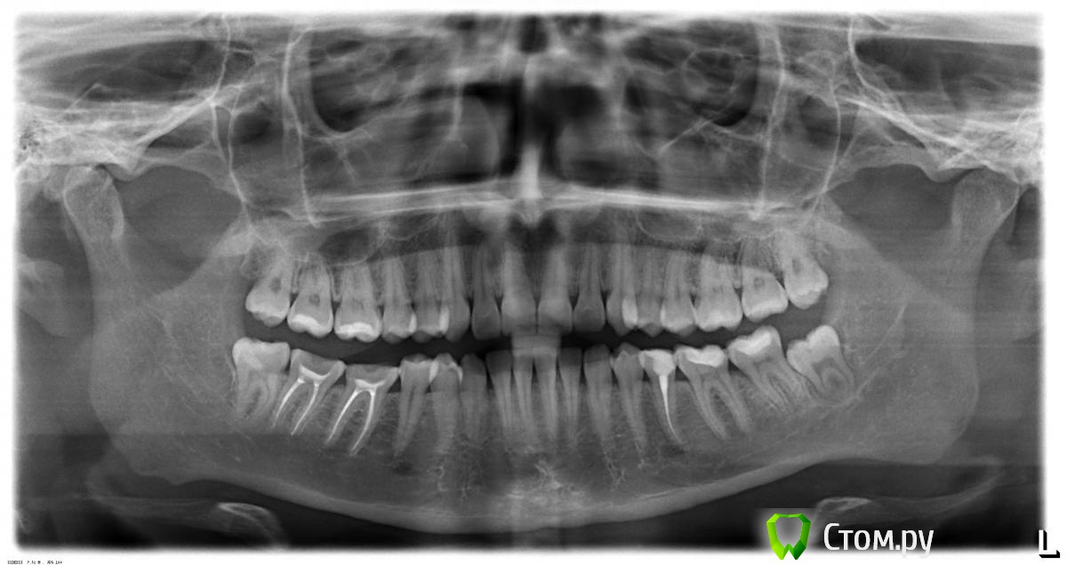
Екатерина_М Опубликовано 9 декабря, 2013 Поделиться Опубликовано 9 декабря, 2013 (изменено) Добрый день.Подскажите, пожалуйста. Удалили нервы в 6 и 7 зубах на нижней челюсти справа. В 6-м зубе запломбировали каналы 30 ноября, в 7-ке - 7 декабря. Пломбировали, судя по расшифровке счета, методом латеральной конденсации.С 6-м зубом по ощущениям все хорошо - он почти не болел.С 7-м же похуже - было больно пломбировать один из каналов. Сразу после пломбировки, как отошла анестезия, зуб болел довольно сильно, пришлось выпить Нурофен. В воскресенье 8 декабря зуб сам по себе почти не болел, но был болезненным при надавливании. И после того, как я на него давила, оставался болезненным в течении какого-то времени. Сегодня, в понедельник 9.12, ситуация почти такая же - чуть меньше болит при надавливании, но жевать по-прежнему на правой стороне больно.На сколько это нормально? Стоит ли надеяться, что болезненность пройдет? Оцените, пожалуйста, на сколько хорошо запломбированы каналы. Потому что скоро на эти зубы буду ставить вкладку, потому туда будет тяжело залезть.И подскажите, еще пожалуйста, что стоит делать с остальными зубами. За последний год прорезались 3 зуба мудрости, хочу их удалить, стоит ли? http://s019.radikal.ru/i638/1312/19/e8d80a4c5686t.jpg Заранее спасибо. Изменено 9 декабря, 2013 пользователем Екатерина_М Ссылка на комментарий
Екатерина_М Опубликовано 9 декабря, 2013 Автор Поделиться Опубликовано 9 декабря, 2013 (изменено) Прикрепляю прицельные фотоhttp://s45.radikal.ru/i109/1312/62/72ecf10abf0et.jpghttp://s017.radikal.ru/i415/1312/e6/904b1e35e9e5t.jpghttp://s001.radikal.ru/i195/1312/b9/ccdb54234a8et.jpghttp://i047.radikal.ru/1312/9a/6148b941e569t.jpghttp://s020.radikal.ru/i717/1312/3f/4443b5f73c0ft.jpghttp://s020.radikal.ru/i721/1312/3a/6438faf5b10et.jpghttp://i020.radikal.ru/1312/db/84b87a574470t.jpg Изменено 9 декабря, 2013 пользователем Екатерина_М Ссылка на комментарий
red_butler Опубликовано 12 декабря, 2013 Поделиться Опубликовано 12 декабря, 2013 Екатерина_М по снимкам вроде все неплохо, боли должны пройти. Если не пройдут - повторное лечение 4.7; Мудрые зубы если беспокоят - удаляйте, Только по ОПГ явных показаний к удалению нет, нужен очный осмотр. Коронки на зубы 4.7 4.6 3.5 ; периодически проф. гигиена Ссылка на комментарий
Екатерина_М Опубликовано 13 декабря, 2013 Автор Поделиться Опубликовано 13 декабря, 2013 red_butler, спасибо большое за ответ. Со вчерашнего дня, четверга, уже боли меньше. Но за 7-ой пока понаблюдаю. Ссылка на комментарий
Рекомендуемые сообщения
Для публикации сообщений создайте учётную запись или авторизуйтесь
Вы должны быть пользователем, чтобы оставить комментарий
Создать аккаунт
Зарегистрируйте новый аккаунт в нашем сообществе. Это очень просто!
Регистрация нового пользователяВойти
Уже есть аккаунт? Войти в систему.
Войти