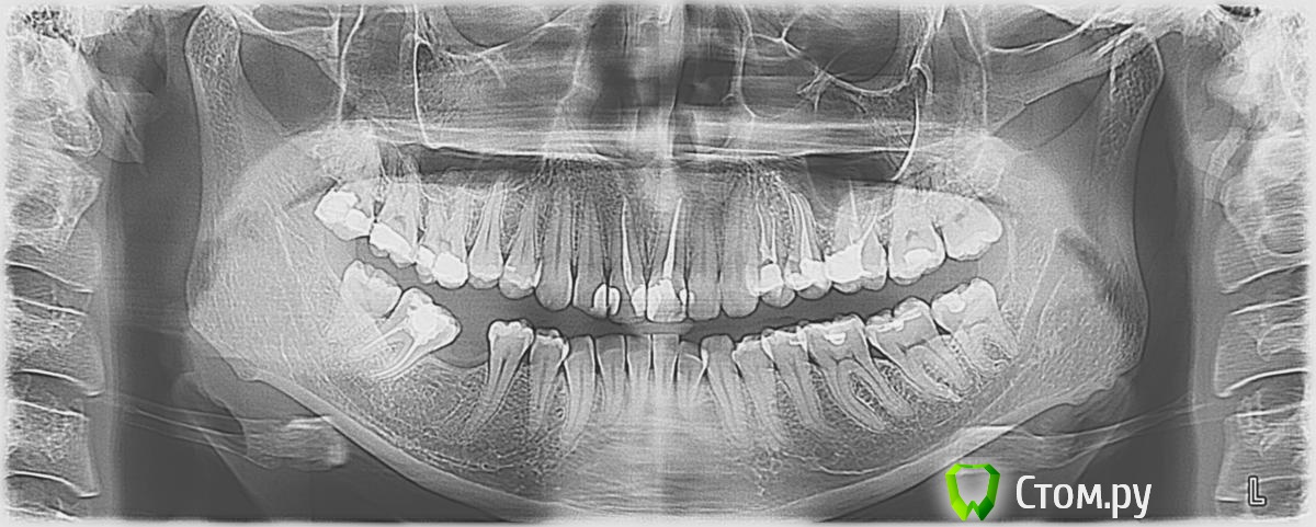
mois_kamchatka Опубликовано 8 декабря, 2013 Поделиться Опубликовано 8 декабря, 2013 Здравствуйте, помогите, пожалуйста, вылечить зубы. В августе этого года почувствовала сильную боль в области 25 и 26 зубов, обратилась к стоматологу, в итоге у обоих зубов удалили нервы,боль на некоторое время пропала. В ноябре область 24, 25, 26 зубов начала реагировать на горячее. Находилась на отдыхе в Украине, пришла в стоматологический кабинет - долго не могли определить какой зуб реагирует (лили из шприца горячую воду и т.д.). Так как на следующий день нужно было лететь, удалили нерв и в 24 зубе. По началу казалось, что болеть перестало. Однако через 2 дня реакция на горячее усилилась...Месяц промучилась (за границей обратилась за лечением, сказали, что т.к. 24,25,26 депульпированы, осталось удалить 27 и точно все пройдет, я отказалась), опять пошла ко врачу. Сделали снимки этих трех зубов, она говорит все ОК, наверное болит десна...Боль только на горячее, очень резкая (аж в пот бросает), постепенно проходит, если набрать в рот холодной воды проходит быстрее. В итоге врач отправила выяснять какой из зубов болит домой ("как поймешь - приходи"), а очень хочется горячего чая . Сегодня сходила сделала панорамный снимок, помогите определиться, что делать?? Спасибо. Ссылка на комментарий
IvanK Опубликовано 9 декабря, 2013 Поделиться Опубликовано 9 декабря, 2013 Здравствуйте. Нужно провести тест на витальность зубов ( жив или нет)Возможно , поблема в 28 24. 25. 26 нуждаются в протезировании. Ссылка на комментарий
Sir Edward'S Опубликовано 9 декабря, 2013 Поделиться Опубликовано 9 декабря, 2013 Здравствуйте .Проверьте на витальность ( жива пульпа или нет ) 27Провторное эндодонтическое лечение 26 зуба Ссылка на комментарий
Рекомендуемые сообщения
Для публикации сообщений создайте учётную запись или авторизуйтесь
Вы должны быть пользователем, чтобы оставить комментарий
Создать аккаунт
Зарегистрируйте новый аккаунт в нашем сообществе. Это очень просто!
Регистрация нового пользователяВойти
Уже есть аккаунт? Войти в систему.
Войти