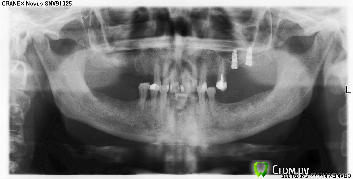
Stomatolog07 Опубликовано 8 декабря, 2013 Поделиться Опубликовано 8 декабря, 2013 Между септой и имплантом незаполненное графтом пространство. Кто что думает? Какие еще замечания будут? Ссылка на комментарий
Bier Опубликовано 8 декабря, 2013 Поделиться Опубликовано 8 декабря, 2013 может и все ок будет. 2 Ссылка на комментарий
Stomatolog07 Опубликовано 8 декабря, 2013 Автор Поделиться Опубликовано 8 декабря, 2013 может и все ок будет. какие варианты исхода еще могут быть? (Мало опыта) Спасибо! Ссылка на комментарий
АнтонТЛТ Опубликовано 8 декабря, 2013 Поделиться Опубликовано 8 декабря, 2013 какие варианты исхода еще могут быть? (Мало опыта) Спасибо!1) Между имплантом и септой кровяной сгусток, появится кость и имплантат нормально интегрируется.2) Имплантат порвал шнайдерову мембрану, интегрируется в малый объем кости и этого хватит.3) Имплантат порвал шнайдерову мембрану, плохо интегрируется и выкрутится на этапе установки формирователя. 2 Ссылка на комментарий
Stomatolog07 Опубликовано 8 декабря, 2013 Автор Поделиться Опубликовано 8 декабря, 2013 1) Между имплантом и септой кровяной сгусток, появится кость и имплантат нормально интегрируется.2) Имплантат порвал шнайдерову мембрану, интегрируется в малый объем кости и этого хватит.3) Имплантат порвал шнайдерову мембрану, плохо интегрируется и выкрутится на этапе установки формирователя.Спасибо! Вроде не прорвал. После установки иплантов графт докладывал, вроде не мигрировал выше. Ссылка на комментарий
Sir Edward'S Опубликовано 9 декабря, 2013 Поделиться Опубликовано 9 декабря, 2013 как вы узнали что не порвали мембрану пазухи ? Ссылка на комментарий
rivezico Опубликовано 9 декабря, 2013 Поделиться Опубликовано 9 декабря, 2013 Там "вроде" написано вроде 2 Ссылка на комментарий
Тимур86 Опубликовано 9 декабря, 2013 Поделиться Опубликовано 9 декабря, 2013 Ндавно делал двухсторонний синус с имплантацией 16,26!в области 16 перфо не видел,в области 26 маленькое перфо взле окна прям. И там и там под мембраной и графта не мало вроде...так на оптг в области 16 не увидел графта вообще...не понял почему...неделя вроде пошла,пациентка ни на что не жалуется Ссылка на комментарий
red_butler Опубликовано 9 декабря, 2013 Поделиться Опубликовано 9 декабря, 2013 Ндавно делал двухсторонний синус с имплантацией 16,26!в области 16 перфо не видел,в области 26 маленькое перфо взле окна прям. И там и там под мембраной и графта не мало вроде...так на оптг в области 16 не увидел графта вообще...не понял почему...неделя вроде пошла,пациентка ни на что не жалуетсяКакой графт? Покажите ОПГ Ссылка на комментарий
Sir Edward'S Опубликовано 10 декабря, 2013 Поделиться Опубликовано 10 декабря, 2013 Там "вроде" написано вроде пациент может на следующий день сказать что доктор у меня из носа выходят кусочки материала с кровью или все нормально . Ссылка на комментарий
Тимур86 Опубликовано 13 декабря, 2013 Поделиться Опубликовано 13 декабря, 2013 Какой графт? Покажите ОПГBio-oss,опг в понедельник только будет...но графта там прилично... Ссылка на комментарий
Рекомендуемые сообщения
Для публикации сообщений создайте учётную запись или авторизуйтесь
Вы должны быть пользователем, чтобы оставить комментарий
Создать аккаунт
Зарегистрируйте новый аккаунт в нашем сообществе. Это очень просто!
Регистрация нового пользователяВойти
Уже есть аккаунт? Войти в систему.
Войти