alexjuk1 Опубликовано 6 декабря, 2013 Поделиться Опубликовано 6 декабря, 2013 Вставлял зубы 15лет назад, через 10лет треснула коронка, заменил.Новая простояла 6лет, расцементировалась, Переустановили, через 6мес.расцементировалась, вышла левая вкладка, снова установил.Прошло 6мес качается, болит левый зуб. Опять расцементировалась? Всегда делал один и тот же врач, кроме вкладок. Плохой цемент или надо переделать вкладки, коронки? Может надо зуб лечить?Посоветуйте пожалуйста. Ссылка на комментарий
DmitrySH Опубликовано 6 декабря, 2013 Поделиться Опубликовано 6 декабря, 2013 Нужно всю работу переделать. Вкладки слишком короткие 2 Ссылка на комментарий
alexjuk1 Опубликовано 7 декабря, 2013 Автор Поделиться Опубликовано 7 декабря, 2013 Они долго стояли и проблем не было, вытащить их возможно не повредив остатки зубов? Ссылка на комментарий
DmitrySH Опубликовано 7 декабря, 2013 Поделиться Опубликовано 7 декабря, 2013 Да, не просто, но все должно получиться Ссылка на комментарий
alexjuk1 Опубликовано 10 декабря, 2013 Автор Поделиться Опубликовано 10 декабря, 2013 Хочется услышать еще нескольких врачей по моей проблеме. Профессионалы дайте рекомендации. Ссылка на комментарий
IvanK Опубликовано 10 декабря, 2013 Поделиться Опубликовано 10 декабря, 2013 Согласен с Коллегой. Ссылка на комментарий
red_butler Опубликовано 10 декабря, 2013 Поделиться Опубликовано 10 декабря, 2013 Больше можно сказать только после очного осмотра. Посмотреть прикус, оценить состоятельности корней в оптику. Могу пожелать, только найти хороших стоматологов -ортопеда и -терапевта, работающих с бинокулярами или микроскопом Ссылка на комментарий
alexjuk1 Опубликовано 12 декабря, 2013 Автор Поделиться Опубликовано 12 декабря, 2013 (изменено) не те снимки загрузились... Изменено 12 декабря, 2013 пользователем alexjuk1 Ссылка на комментарий
red_butler Опубликовано 12 декабря, 2013 Поделиться Опубликовано 12 декабря, 2013 Покажите фото сомкнутых зубов, прямо и сбоку. Лечить и повторно протезировать Ссылка на комментарий
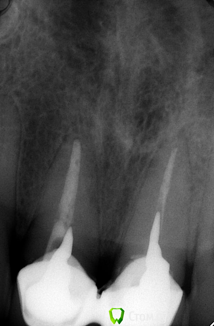
alexjuk1 Опубликовано 12 декабря, 2013 Автор Поделиться Опубликовано 12 декабря, 2013 Не те снимки загрузились. При попытке извлечь вкладку, корень зуба сломался, врач, при осмотре, еще раньше сказал, что зуб сломан, т.к. десна мягкая и там гной и кровь. На оставшийся корень будут ставить новую вкладку, а что делать со сломанным? Можно ли на этот остаток поставить вкладку или - только удаление? Зуб жалко... Если удалять и ставить имплант - возможно ли одновременно удалить зуб и установить имплант? И как быть с эстетикой, если на установку импланта потребуется полгода? 1 Ссылка на комментарий
alexjuk1 Опубликовано 12 декабря, 2013 Автор Поделиться Опубликовано 12 декабря, 2013 Это после удаленя вкладок http://s017.radikal.ru/i409/1312/0d/08f66403fab8.jpg http://s018.radikal.ru/i504/1312/fc/8f7b62fdc344.jpg Ссылка на комментарий
alexjuk1 Опубликовано 12 декабря, 2013 Автор Поделиться Опубликовано 12 декабря, 2013 Это до удаленя вкладок http://s019.radikal.ru/i608/1312/90/fbe949093d63.jpg http://s020.radikal.ru/i723/1312/46/18e6f5db6dea.jpg Ссылка на комментарий
Mane Опубликовано 14 декабря, 2013 Поделиться Опубликовано 14 декабря, 2013 в общем нужно разбираться. здесь нет достаточно данных чтоб однозначно сказать что и как делать 1. определиться в прогнозе зубов (на приеме у стоматолога)2. перелечить каналы зубов с удовлетворительным прогнозом3.провести временное протезирование4. провести постоянное протезирование Ссылка на комментарий
Рекомендуемые сообщения
Для публикации сообщений создайте учётную запись или авторизуйтесь
Вы должны быть пользователем, чтобы оставить комментарий
Создать аккаунт
Зарегистрируйте новый аккаунт в нашем сообществе. Это очень просто!
Регистрация нового пользователяВойти
Уже есть аккаунт? Войти в систему.
Войти