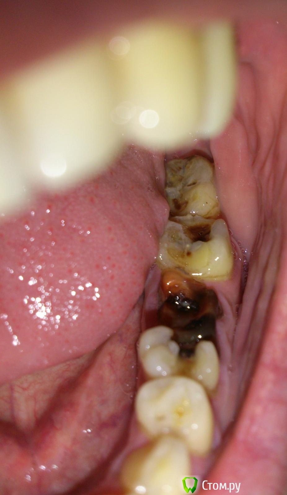
govorov Опубликовано 5 декабря, 2013 Поделиться Опубликовано 5 декабря, 2013 Подскажите, пожалуйста,что и в какой последовательности лучше делать с этими зубами?Зубы на фото в ссылке ниже. 6-й давно лечили, пломбировали. Несколько лет назад откололась примерно половина зуба с пломбой. Хотели вырвать, но не настаивали, я оставил. Через некоторое время потемнел, но особо не беспокоил. Сейчас, иногда, вечером или ночью болит. Днём нормально: не болит и есть на нём нормально. Соседние, вроде надо лечить? Нужно ли сначала удалять или что-то делать с этим 6-м? Если нужно удалять 6-й, можно ли сразу, вместо вырванного, вставить имплант, или вырвать, потом лечить остальные, потом делать имплант? Снимок корня 6-го _20131129_15633 - сделан 2013-11-29, _20121013_9451 - примерно год назад.Где это лучше делать (Долгопрудный, Москва)? И сколько это может стоить?Спасибо! Ссылка на комментарий
DmitrySH Опубликовано 5 декабря, 2013 Поделиться Опубликовано 5 декабря, 2013 6 удалять, без вариантов. потом лечение остальных, имплантация, ортопедия 1 Ссылка на комментарий
IvanK Опубликовано 6 декабря, 2013 Поделиться Опубликовано 6 декабря, 2013 Здравствуйте Соседние, вроде надо лечить? Обязательно. Если нужно удалять 6-й, можно ли сразу, вместо вырванного, вставить имплант, или вырвать, потом лечить остальные, потом делать имплант? зависит от предпочтений хирурга.Я бы подождал 6-8 недель после удаления, далее имплантация. Где это лучше делать (Долгопрудный, Москва)? в каждом разделе (хирургия, ортопедия, терапия) есть соответствующая тема И сколько это может стоить? цены у Всех разные.. на Форуме не обсуждаются. Ссылка на комментарий
govorov Опубликовано 6 декабря, 2013 Автор Поделиться Опубликовано 6 декабря, 2013 Спасибо большое за ответы! Скажите ещё пожалуйста, какой главный аргумент за удаление 6-го? Не может ли быть так, что болят соседние, и достаточно их вылечить, а этот — 6-й — чёрный или красный, половина, но не болит ни кому не мешает? Ссылка на комментарий
shishok Опубликовано 6 декабря, 2013 Поделиться Опубликовано 6 декабря, 2013 На шестом корни отдельно друг от друга-абсолютное показание к удалению. 1 Ссылка на комментарий
IvanK Опубликовано 6 декабря, 2013 Поделиться Опубликовано 6 декабря, 2013 Спасибо большое за ответы! Скажите ещё пожалуйста, какой главный аргумент за удаление 6-го? Не может ли быть так, что болят соседние, и достаточно их вылечить, а этот — 6-й — чёрный или красный, половина, но не болит ни кому не мешает?соседние тоже могут болеть... причем большая их часть на фото... Ссылка на комментарий
govorov Опубликовано 6 декабря, 2013 Автор Поделиться Опубликовано 6 декабря, 2013 Так я предполагаю, что болят только соседние, а 6-й чёрный (или красный), но не болит, никому не мешает и как-то жуёт и, поэтому, удалять его НЕ нужно! Может такое быть?Чем плохи «корни отдельно друг от друга»? Они, наверно, несколько лет уже так (не меньше года). Там где делали снимки, сказали, что видели что-то плохое на корнях 6-го, типа, «кисту с гноем». Действительно там видно такое? Если видно, то лечится только удалением? Ссылка на комментарий
IvanK Опубликовано 6 декабря, 2013 Поделиться Опубликовано 6 декабря, 2013 Зуб нужен для жевания. Ваш зуб не выполняет свою функцию. Мало того, что он разрушен, он еще является источником хронической инфекцией (разрушенные корни, "киста")не хотите - не удаляйте, никто Вас не заставляет... с такой политикой боюсь предположить что мы увидим на панорамном снимке... Ссылка на комментарий
DmitrySH Опубликовано 6 декабря, 2013 Поделиться Опубликовано 6 декабря, 2013 (изменено) Вокруг корней 6-го зуба достаточно большие очаги воспаления. Зачем хранить в себе очаг инфекции? IvanK, опередил Изменено 6 декабря, 2013 пользователем dmitrySH 1 Ссылка на комментарий
red_butler Опубликовано 7 декабря, 2013 Поделиться Опубликовано 7 декабря, 2013 но не болит, никому не мешает зачем ждать боли, это лишь вопрос времени Ссылка на комментарий
IvanK Опубликовано 7 декабря, 2013 Поделиться Опубликовано 7 декабря, 2013 зачем ждать боли, это лишь вопрос времени @govorov, хочет, чтоб Мы сказали, что лечить ничего не надо, что все хорошо.. Ссылка на комментарий
red_butler Опубликовано 7 декабря, 2013 Поделиться Опубликовано 7 декабря, 2013 govorov почитайте эту тему http://forum.stom.ru/topic/13914-esli-vy-dumaete-chto-ot-zubov-ne-umiraiut/ Ссылка на комментарий
govorov Опубликовано 7 декабря, 2013 Автор Поделиться Опубликовано 7 декабря, 2013 Спасибо!dmitrySH, а эти очаги воспаления нельзя ли вылечить без удаления зуба? IvanK, зуб, жуёт, по крайней мере режет ) Что значит «разрушенные корни» и «киста»? Это действительно видно на снимках? Я не хочу удалять без необходимости. И, поэтому, хочу поточнее понять есть ли такая необходимость (удалять) или можно вылечить. Если есть возможность вылечить, то как и где.Панорамный снимок не делал, как сделаю, выложу, но точно нет трёх аналогичных (6-х или 7-х) зубов.Нет, хочу, чтоб Вы сказали, именно, как ЛЕЧИТЬ (а не удалять), если такая возможность есть. Если возможности лечить нет и надо удалять, то привели убедительные аргументы за это. red_butler, я (всё ещё) надеюсь, что удаление — это не единственный и не лучший способ решения этой проблемы. То есть, что можно вылечить.?Прочитал. Спасибо. Познавательно. Поэтому мне надо понять, что делать с этим 6-м зубом, где лечить, если есть возможность лечить. Ссылка на комментарий
IvanK Опубликовано 7 декабря, 2013 Поделиться Опубликовано 7 декабря, 2013 Это действительно видно на снимках? да есть ли такая необходимость (удалять) есть если такая возможность есть. такой возможности нет Если возможности лечить нет и надо удалять, то привели убедительные аргументы за это. Вам уже все ответили, далее обсуждать тему бессмысленно.Как будет панорамный снимок - пишите, открою тему Ссылка на комментарий
Рекомендуемые сообщения