englishlady Опубликовано 30 ноября, 2013 Поделиться Опубликовано 30 ноября, 2013 Уважаемые врачи, проконсультируйте меня, если несложно. Есть 43 депульпированный зуб, он сейчас под временной пломбой. В одном месте на него предложили поставить коронку, в двух клиниках пломбу, поскольку он не сильно разрушен. На еще одном форуме предложили пломбу с стекловолоконным штифтом. Чтобы Вы советовали? Можно ли на него поставить винир. Снимки прилагаю. Заранее спасибо за ответ. Ссылка на комментарий
x3m Опубликовано 30 ноября, 2013 Поделиться Опубликовано 30 ноября, 2013 (изменено) я бы снял старую пломбу (сбоку) или убрал там кариес - по снимку неясно, что там... и посмотрел на общую потерю тканей.Скорее всего, композитом восстановить утраченные ткани (доступ к каналу и, при необходимости - сбоку полость) и покрыть полукоронкой.стекловолоконный штифт абсолютно не нужен. в идеале, надо видеть во рту. или хотя бы фото зуба с язычной стороны и снаружи ...Вы можете сделать фото? Изменено 30 ноября, 2013 пользователем x3m Ссылка на комментарий
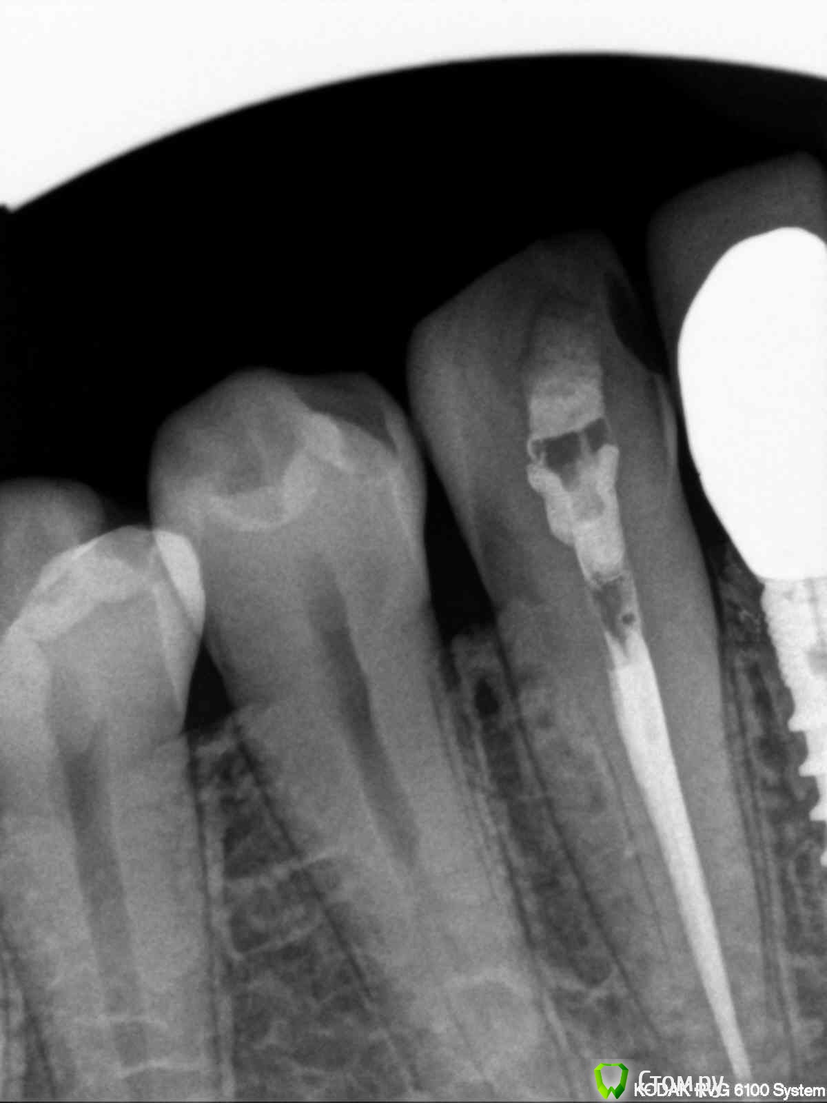
englishlady Опубликовано 3 декабря, 2013 Автор Поделиться Опубликовано 3 декабря, 2013 Спасибо Вам большое за ответы. С фотографиями, навеное, сейчас не получится. Если позволите, задам еще вопрос по 27 зубу. У меня на нем культевая вкладка и коронка. Он у меня стал не сильно ныть. На очном приеме в разных клиниках предположили, что это или из-за недавнего удаления 28 зуба или из-за 38 зуба, который находится в кости. Может быть проблема связана с вкладкой или коронкой, если это можно оценить по прицельному снимку. Снимок прилагаю. заранее спасибо за ответы. Ссылка на комментарий
x3m Опубликовано 3 декабря, 2013 Поделиться Опубликовано 3 декабря, 2013 Снимок после пломбировки этого зуба есть?Сколько времени прошло после лечения каналов? Ссылка на комментарий
englishlady Опубликовано 4 декабря, 2013 Автор Поделиться Опубликовано 4 декабря, 2013 Это снимки после пломбировки. Они совсем недавние. Каналы пломбировались прошлой зимой. Коронку одели летом. До октября-ноября зуб не беспокоил. Ссылка на комментарий
Рекомендуемые сообщения
Для публикации сообщений создайте учётную запись или авторизуйтесь
Вы должны быть пользователем, чтобы оставить комментарий
Создать аккаунт
Зарегистрируйте новый аккаунт в нашем сообществе. Это очень просто!
Регистрация нового пользователяВойти
Уже есть аккаунт? Войти в систему.
Войти