Винкс Опубликовано 26 ноября, 2013 Поделиться Опубликовано 26 ноября, 2013 Уважаемые доктора, обращаюсь к вам за помощью, практически от имени своего докотора.Сегодня бились почти 3 часа над высверливанием штифта из 21. При увеличении видно , что штифт немного толще посередине. Расстались на том, что доктор поищет информацию про нужные инструменты. Буду благодарна конкретным советам, ссылкам, которые будут переданы и показаны моему доктору. Спасибо. Ссылка на комментарий
anvladd Опубликовано 26 ноября, 2013 Поделиться Опубликовано 26 ноября, 2013 Ультразвук в помощь. Ссылка на комментарий
Sir Edward'S Опубликовано 26 ноября, 2013 Поделиться Опубликовано 26 ноября, 2013 можно тонким бором выпилить аккуратно вокруг штифта цемент 1 Ссылка на комментарий
Afffinity Опубликовано 26 ноября, 2013 Поделиться Опубликовано 26 ноября, 2013 Бором опасно. Лучше УЗ с алмазным покрытием. Ссылка на комментарий
samsonov Опубликовано 26 ноября, 2013 Поделиться Опубликовано 26 ноября, 2013 Ультразвук в помощь.+1И оптика. 1 Ссылка на комментарий
DmitrySH Опубликовано 27 ноября, 2013 Поделиться Опубликовано 27 ноября, 2013 Бором опасно. Лучше УЗ с алмазным покрытием. Бором на 3-4 миллиметра не опасно, уз насадку взял бы гладкую. От абразивной анкера стираются в момент. На снимке у штифта не очень плотное прилегание, под контролем оптики нормально должен выйти. Ссылка на комментарий
Винкс Опубликовано 30 ноября, 2013 Автор Поделиться Опубликовано 30 ноября, 2013 Всем спасибо, след попытка 10 декабря. Ссылка на комментарий
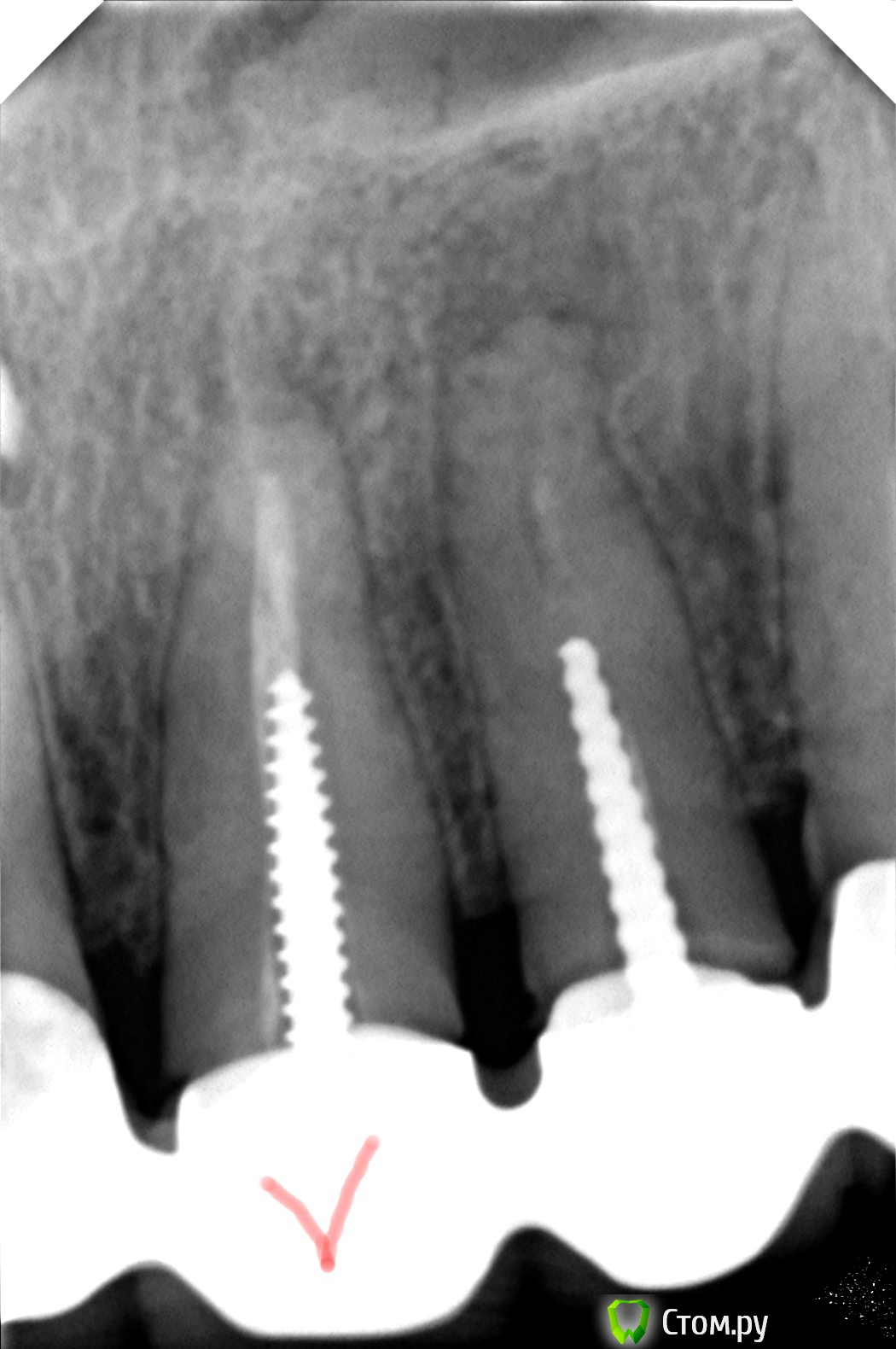
Винкс Опубликовано 14 января, 2014 Автор Поделиться Опубликовано 14 января, 2014 (изменено) Штифт вытащили, но потом оказался непроходимый цемент Вопрос: по снимку можно определить состав?Встает делема, переделывать ли зуб 11, особенно если там тоже такое.Выскажите, пожалуйста, свое мнение по поводу старой пломбировки.Пустота между штифтом и материалом это плохо?Нужно ли удалять кусочек пломбы у корня и как это технически делается? http://s020.radikal.ru/i714/1401/4f/391ff6364876.jpg Изменено 14 января, 2014 пользователем Винкс Ссылка на комментарий
red_butler Опубликовано 14 января, 2014 Поделиться Опубликовано 14 января, 2014 (изменено) Я бы не трогал, но соседние обязательно перелечить. Изменено 14 января, 2014 пользователем red_butler Ссылка на комментарий
Рекомендуемые сообщения
Для публикации сообщений создайте учётную запись или авторизуйтесь
Вы должны быть пользователем, чтобы оставить комментарий
Создать аккаунт
Зарегистрируйте новый аккаунт в нашем сообществе. Это очень просто!
Регистрация нового пользователяВойти
Уже есть аккаунт? Войти в систему.
Войти