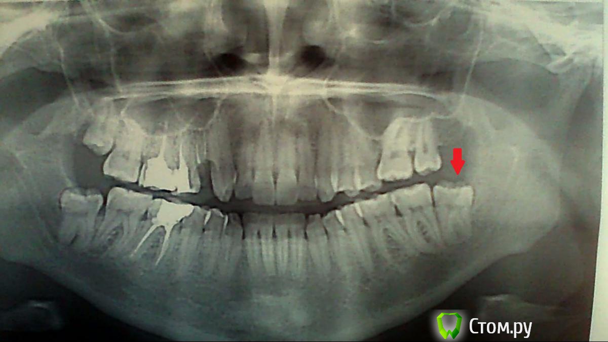
Dinara K Опубликовано 25 ноября, 2013 Поделиться Опубликовано 25 ноября, 2013 Там, где отсутствует зуб - сейчас уже стоит штифт.Снимок делала 23 октября 2013 года.Болит десна на зубе под красной стрелкой.Выделяется жидкость, бесцветная.Капюшон закрывает практически весь зуб.Капюшон воспален, мягкий. Щека не опухла. Болеть стало 4 дня назад.Полоскаю содой и хлоргексидином 5 раз в день.Боль усиливается к ночи и утром.Пью 1 раз в день кетонал. Собираюсь к хирургу, но надежда умирает последней. Вдруг, буду полоскать и все пройдет? Если нет, можете ли, уважаемые врачи-стоматологи подсказать по снимку:1. У меня ровно растут 8-ки и достаточно срезать капюшон;2. 8-ки криво растут и их надо удалять. Ссылка на комментарий
АнтонТЛТ Опубликовано 25 ноября, 2013 Поделиться Опубликовано 25 ноября, 2013 Все 8-ки растут криво с наклоном либо в щечную, либо в язычную сторону. Советую удалить. 3 Ссылка на комментарий
IvanK Опубликовано 25 ноября, 2013 Поделиться Опубликовано 25 ноября, 2013 Все 8-ки растут криво с наклоном либо в щечную, либо в язычную сторону. Советую удалить.+1 Ссылка на комментарий
Dinara K Опубликовано 25 ноября, 2013 Автор Поделиться Опубликовано 25 ноября, 2013 Все 8-ки растут криво с наклоном либо в щечную, либо в язычную сторону. Советую удалить.По ощущениям, в щечную. Спасибо за совет! Ссылка на комментарий
Рекомендуемые сообщения
Для публикации сообщений создайте учётную запись или авторизуйтесь
Вы должны быть пользователем, чтобы оставить комментарий
Создать аккаунт
Зарегистрируйте новый аккаунт в нашем сообществе. Это очень просто!
Регистрация нового пользователяВойти
Уже есть аккаунт? Войти в систему.
Войти