Перейти к содержанию
Стоматология для всех

Пародонтит. Как отсрочить выпадение зубов?


Omega3

Рекомендуемые сообщения

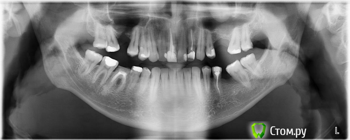
М,25 лет.

Здравствуйте. В течение ~4-х лет страдаю пародонтитом(диагноз поставлен терапевтом), по ощущениям, увеличена подвижность всех зубов. Многие шейки зубов оголились, часть уже закрыли(где легкий кариес что-то вроде герметика, где поглубже световые пломбы). Хожу на профессиональную чистку, теперь уже раз в 3 месяца. На данный момент ОПТГ выглядит вот так:

post-33634-0-69990900-1384901515_thumb.jpg

До пародонтолога до сих пор не дошел и отсюда вопрос- стоит ли к нему на данном этапе заболевания вообще идти? Удовольствие как я понял не дешевое и лишних процедур могут придумать оч много.

Прочитал на вашем форуме про Вектор-терапию(мой терапевт вроде "за" ее проведение %)), в моем случае ее будет достаточно или какие-либо дополнительные процедуры могут понадобиться после очного осмотра?

На данный момент чищу зубы обычной щеткой и Колгейт Элмекс. Здесь пишут про ирригаторы, стоит купить? Зубную щетку менять или эта сойдет? Может рот какими-то антибактериальными полоскать или травками?

В общем, посоветуйте, пожалуйста. Рановато еще, зубы-то выплевывать %)) 

да, 6-ку нижнюю сказали на удаление, я в курсе. 2-ку верхнюю лечить буду.

 

Большое спасибо.

Ссылка на комментарий

Здравствуйте,

 

Очень важно, чтоб Вы Сами могли поддерживать ту чистоту зубов, которой добился Врач/Гигиенист после чистки. Вывод: важно обучение гигиене..

  • Поддерживаю 1
Ссылка на комментарий

Для публикации сообщений создайте учётную запись или авторизуйтесь

Вы должны быть пользователем, чтобы оставить комментарий

Создать аккаунт

Зарегистрируйте новый аккаунт в нашем сообществе. Это очень просто!

Регистрация нового пользователя

Войти

Уже есть аккаунт? Войти в систему.

Войти
×
×
  • Создать...
Вверх