Перейти к содержанию
Стоматология для всех

Работа на e.max


kadar

Рекомендуемые сообщения

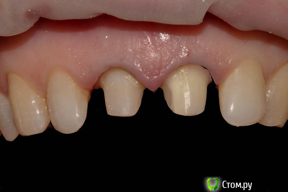
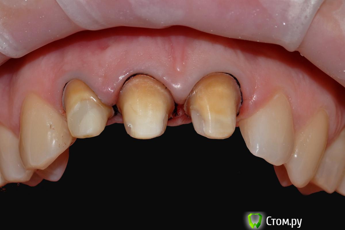
Здравствуйте. Хочу поделиться с вами своими первыми работами на e.max. Критика очень приветствуется.

 

post-31285-0-21694200-1384865624_thumb.jpgpost-31285-0-34407000-1384865631_thumb.jpgpost-31285-0-79477200-1384865638_thumb.jpgpost-31285-0-56760600-1384865647_thumb.jpgpost-31285-0-40515300-1384865656_thumb.jpgpost-31285-0-84100100-1384865661_thumb.jpg

 

В данном случае пациента беспокоил дисколорит передних зубов.пациенту было проведено хирургическое удлинение и последующая установка безметалловых реставраций.

 

post-31285-0-49826000-1384865819_thumb.jpgpost-31285-0-62548900-1384865825_thumb.jpgpost-31285-0-14361600-1384865835_thumb.jpgpost-31285-0-78707600-1384865843_thumb.jpgpost-31285-0-35947300-1384865852_thumb.jpg

 

Здесь проведена обычная работа во фронтальном отделе.

 

post-31285-0-47325100-1384865908_thumb.jpgpost-31285-0-50211300-1384865932_thumb.jpgpost-31285-0-30711700-1384865957_thumb.jpgpost-31285-0-43170800-1384865972_thumb.jpgpost-31285-0-50297400-1384865990_thumb.jpgpost-31285-0-62273900-1384866008_thumb.jpg

 

и в боковом.

 .

Изменено пользователем kadar
  • Поддерживаю 6
Ссылка на комментарий

Здравствуйте. Хочу поделиться с вами своими первыми работами на e.max. Критика очень приветствуется.

 

 

 

В данном случае пациента беспокоил дисколорит передних зубов.пациенту было проведено хирургическое удлинение и последующая установка безметалловых реставраций.

 

 

 

Здесь проведена обычная работа во фронтальном отделе.

 

и в боковом.

 Техник Проскурин М.

Ортодонтия по пациентам плачет)

Ссылка на комментарий

Для публикации сообщений создайте учётную запись или авторизуйтесь

Вы должны быть пользователем, чтобы оставить комментарий

Создать аккаунт

Зарегистрируйте новый аккаунт в нашем сообществе. Это очень просто!

Регистрация нового пользователя

Войти

Уже есть аккаунт? Войти в систему.

Войти
×
×
  • Создать...
Вверх