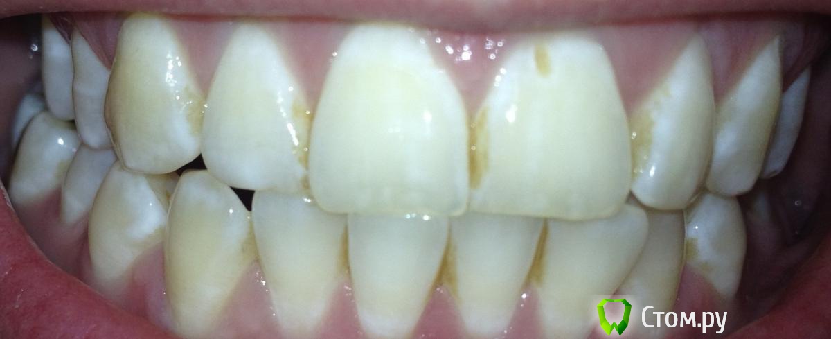
polka Опубликовано 18 ноября, 2013 Поделиться Опубликовано 18 ноября, 2013 (изменено) коричневое между зубами,что это может быть Изменено 18 ноября, 2013 пользователем polka Ссылка на комментарий
Magdalena Опубликовано 18 ноября, 2013 Поделиться Опубликовано 18 ноября, 2013 Зубной налет в обильном количестве, пропитанный пигментами из пищи \ сигаретного дыма. Вам показана профчистка у стоматолога. 2 Ссылка на комментарий
IvanK Опубликовано 18 ноября, 2013 Поделиться Опубликовано 18 ноября, 2013 Зубной налет в обильном количестве, пропитанный пигментами из пищи \ сигаретного дыма. Вам показана профчистка у стоматолога.+100 Ссылка на комментарий
Рекомендуемые сообщения
Для публикации сообщений создайте учётную запись или авторизуйтесь
Вы должны быть пользователем, чтобы оставить комментарий
Создать аккаунт
Зарегистрируйте новый аккаунт в нашем сообществе. Это очень просто!
Регистрация нового пользователяВойти
Уже есть аккаунт? Войти в систему.
Войти