Перейти к содержанию
Стоматология для всех

После удаления зубов в лунках оставляют какие-то тампончики? и когда их вытаскивать?


Сергей108

Рекомендуемые сообщения

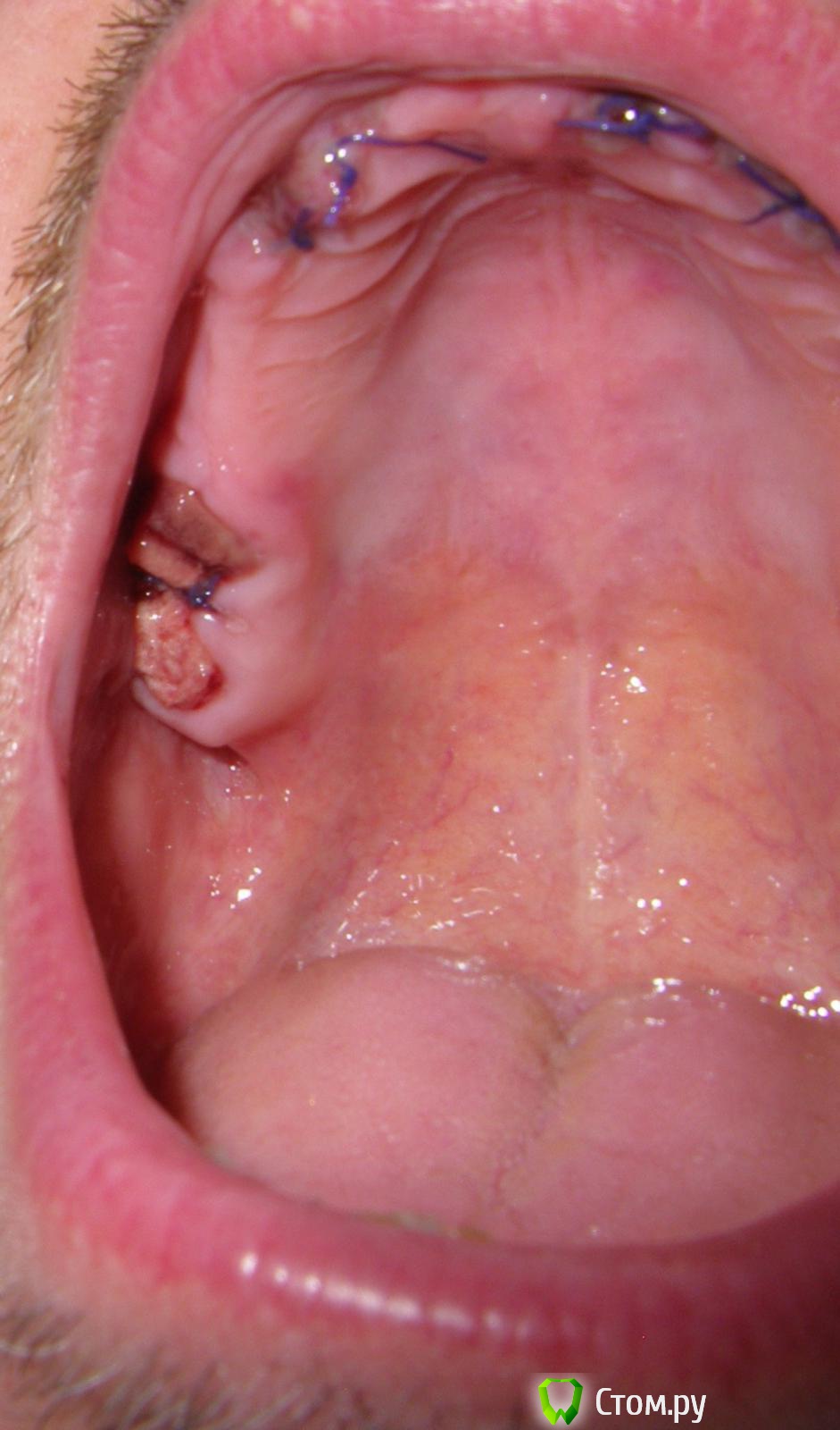
Уважаемые хирурги, пожалуйста, подскажите:  позавчера удалили зубы (подготовка перед имплантацией), понятное дело, чувствую себя не очень-то.  Через сутки стал полоскать осторожно и сразу откуда-то выпал маленький такой тампончик (размером 0,7х0,7 см примерно), остро пахнущий чем-то медицинским (формалином, что ли?  не знаю).

На фиброзный сгусток  совсем не похоже.  Я аж перепугался  (знаете, наслушаешься историй про хирургов, которые забывают в пациентах салфетки при операциях) - думаю, забыли,что ли, вытащить?   Потом пригляделся - вижу, а у меня почти в каждой лунке по какому-то маленькому тампончику торчит.  Благо, фотоаппарат есть, сфотографировал, посмотрел внимательнее.

Вопрос-то вот какой:  это, я так понимаю, какие-то правильные тампончики? так и нужно?  А тогда - сколько они стоять-то должны?  если при полоскании вымоются это плохо?  

Прием у меня только дней через пять, звонить врачу и спрашивать - как-то неудобно лохом казаться, а, честно говоря, человек я пугливый,  сижу  вот, трясусь от страха - что делать - вынимать их или, наоборот, назад заталкивать? 

Уважаемые хирурги, не сочтите за труд - скажите, что это за фигня у меня во рту торчит.  Заранее буду очень благодарен вам.

post-33412-0-14865300-1384597406_thumb.jpg

post-33412-0-63061800-1384597414_thumb.jpg

post-33412-0-36100800-1384597430_thumb.jpg

post-33412-0-62097900-1384597439_thumb.jpg

post-33412-0-51764500-1384598478_thumb.jpg

post-33412-0-43503700-1384598484_thumb.jpg

Ссылка на комментарий

Это коллагеновая гемостатическая губка. Чаще всего кладут в лунку удаленного зуба когда мало крови и сгусток не хочет образовываться .Губка пропитана лекарством. Не волнуйтесь .Все у Вас будет хорошо.

Ссылка на комментарий

Это коллагеновая гемостатическая губка. Чаще всего кладут в лунку удаленного зуба когда мало крови и сгусток не хочет образовываться .Губка пропитана лекарством. Не волнуйтесь .Все у Вас будет хорошо.

Спасибо большое, друг.  Извини за паниковатость, просто, если честно - чего-то херово мне.  Первый день нормально прошел, а второй - даже встать еле могу.  Поработаешь за компьютером минут 20 и сразу спать валишься.  Прямо чувствую - у меня сознание измененное, как от наркотиков каких-то. Постоянная тревожность и апатия одновременно.  При этом, забавно - одновременно как бы два человека - один трясущийся от боли и страха, а другой- спокойный и уравновешенный, за ним наблюдает, все понимает, но организмом-то владеет первый -)

Поэтому, конечно, мне нужны эти слова поддержки - врачам-то я доверяю, в отличии от попов и знахарей.  Спасибо еще раз большое, извините, если что .. -)

Ссылка на комментарий

Для публикации сообщений создайте учётную запись или авторизуйтесь

Вы должны быть пользователем, чтобы оставить комментарий

Создать аккаунт

Зарегистрируйте новый аккаунт в нашем сообществе. Это очень просто!

Регистрация нового пользователя

Войти

Уже есть аккаунт? Войти в систему.

Войти
×
×
  • Создать...
Вверх