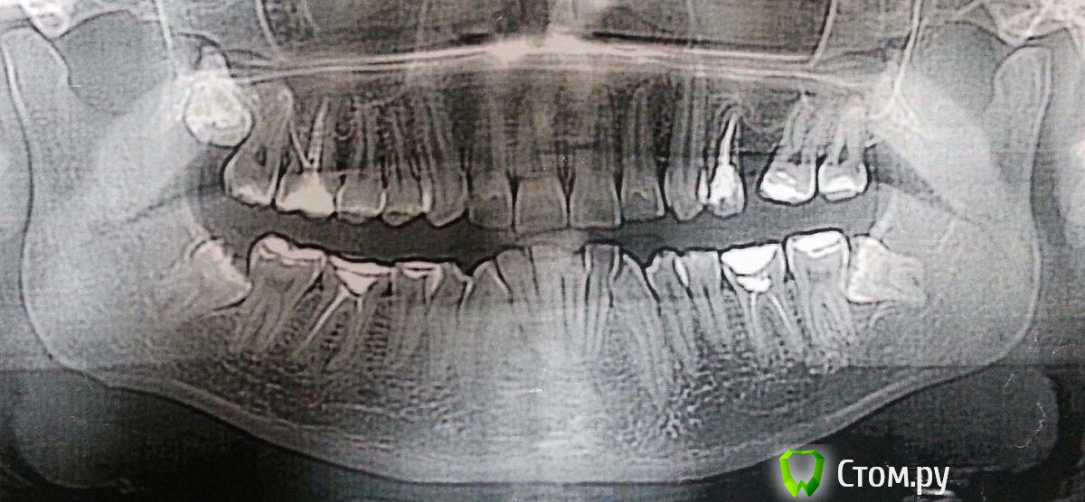
minchia Опубликовано 14 ноября, 2013 Поделиться Опубликовано 14 ноября, 2013 Здравствуйте, уважаемые стоматологи! Обращаюсь к вам за советом. У меня в нижней челюсти очень кривые зубы, кроме того, у меня в верхней челюсти слева удалены два зуба, изза чего съехала серединная линия. Решил ставить брекеты, и сходил на прием к ортодонту, он сделал снимок (приложение), и сказал нужно удалять три зуба мудрости для высвобождения места. Правильно ли это? Кроме того он предлагает поставить распорку между зубами, где есть брешь для того, чтобы открыть место для двух имплантов.Есть ли альтернативы этому лечению, можно ли избежать удалений?Какой тип брекетов подойдет лучше всего? Ортодонт настаивал на системе Деймона, оправданно ли это?Спасибо большое за помощь! Ссылка на комментарий
Ayrat_zub Опубликовано 14 ноября, 2013 Поделиться Опубликовано 14 ноября, 2013 Здравствуйте, уважаемые стоматологи! Обращаюсь к вам за советом. У меня в нижней челюсти очень кривые зубы, кроме того, у меня в верхней челюсти слева удалены два зуба, изза чего съехала серединная линия. Решил ставить брекеты, и сходил на прием к ортодонту, он сделал снимок (приложение), и сказал нужно удалять три зуба мудрости для высвобождения места. Правильно ли это? Кроме того он предлагает поставить распорку между зубами, где есть брешь для того, чтобы открыть место для двух имплантов.Есть ли альтернативы этому лечению, можно ли избежать удалений?Какой тип брекетов подойдет лучше всего? Ортодонт настаивал на системе Деймона, оправданно ли это?Спасибо большое за помощь! да, зубы мудрости удалять, еще следует заняться зубами 36, 46, с каналами там дело нечисто) Ссылка на комментарий
IvanK Опубликовано 14 ноября, 2013 Поделиться Опубликовано 14 ноября, 2013 Не плодите темы.http://forum.stom.ru/topic/4655-patcientam/ 1 Ссылка на комментарий
minchia Опубликовано 15 ноября, 2013 Автор Поделиться Опубликовано 15 ноября, 2013 Не плодите темы.http://forum.stom.ru/topic/4655-patcientam/Понял, извиняюсь! Не знал какой раздел подходит больше! Не плодите темы.http://forum.stom.ru/topic/4655-patcientam/ Ссылка на комментарий
minchia Опубликовано 15 ноября, 2013 Автор Поделиться Опубликовано 15 ноября, 2013 да, зубы мудрости удалять, еще следует заняться зубами 36, 46, с каналами там дело нечисто)Ясно, что ж придется переделывать! Спасибо что обратили внимание. Стоматолог, у которого я был на приеме, ничего про это не говорил! Ссылка на комментарий
minchia Опубликовано 11 января, 2014 Автор Поделиться Опубликовано 11 января, 2014 Итак, пришло время ставить брекеты на верхнюю челюсть. На нижнюю поставили две недели назад. Три недели назад были удалены три зуба мудрости. Вопрос: ортодонт предложил два варианта лечения - закрыть трему в верхней челюсти слева передвижением вперед 7 и 8 зубов. Тогда установка импланта не потребуется (вместо удаленного 6-го зуба), второй вариант - раздвигать зубы для высвобождения места под имплант. Какой вариант предпочтительнее? Насколько реально передвинуть 7 и 8 зубы с корнями вперед почти на 7-8 мм? Сколько это займет времени? Каковы шансы на успех? Ссылка на комментарий
IvanK Опубликовано 11 января, 2014 Поделиться Опубликовано 11 января, 2014 По моему мнению, лучше освободить место под имплантат - быстрее и надежнее 4 Ссылка на комментарий
red_butler Опубликовано 16 января, 2014 Поделиться Опубликовано 16 января, 2014 Я тоже за имплантацию, если хотите увеличить срок ортодонтического лечения и сделать результат менее предсказуемым - ортодонтическое закрытие Ссылка на комментарий
minchia Опубликовано 19 января, 2014 Автор Поделиться Опубликовано 19 января, 2014 Спасибо за ответы, выбрал вариант раздвижения, несмотря на то что процедура по имплантации будет не самой простой - потребуется синус лифтинг. Ссылка на комментарий
red_butler Опубликовано 21 января, 2014 Поделиться Опубликовано 21 января, 2014 не волнуйтесь, синуслифтинг рутинное вмешательство 1 Ссылка на комментарий
Рекомендуемые сообщения
Для публикации сообщений создайте учётную запись или авторизуйтесь
Вы должны быть пользователем, чтобы оставить комментарий
Создать аккаунт
Зарегистрируйте новый аккаунт в нашем сообществе. Это очень просто!
Регистрация нового пользователяВойти
Уже есть аккаунт? Войти в систему.
Войти