Перейти к содержанию
Стоматология для всех

Парадонтит


Рекомендуемые сообщения

Здравствуйте.

Посоветуйте пожалуйста генеральный план лечения.

Снимок правда старый, лето 2012 года, после этого некоторые зубы уже перелечены и два удалены. Мне 36 лет.

Удалённые пометил на рентгене красным.

Зелёным пометил зубы, которые шатаются и периодически воспаляются и гноятся.

Можно ли сохранить эти зубы или они тоже подлежат удалению?

Также интересует шестёрка снизу справа, имеет ли смысл на него ставить коронку или тоже удалять?

Параднотит развился на фоне стресса, где то 4 года назад появились парадонтальные карманы, зубы начали гноиться и вылезать. Например пять передних нижних зубов раньше были вровень, а потом они все вылезли и теперь сильно возвышаются над зубным рядом. Сдал на днях анализы крови. Общий анализ нормальный, сахар в норме - 4, уровень кальция понижен до 1,78 при норме 2,02 - 2,6

Может ещё какие-нибудь анализы нужно сделать?

post-22431-0-92097600-1382805718_thumb.jpg

 

Ещё выложу пару свежих прицельных снимков недельной давности.

 

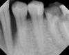
Это нижняя шестёрка, депульпированная приблизительно в 2000 году и залитая резорцином. Видны сломанные инструменты. В прошлом году каналы пытались перепломбировать, но один корень не смогли пройти до конца и перфорировали в бок, часть пломбировочного материала вышла в десну. Но этот зуб абсолютно не беспокоит, не шатается и не гноится. Что с ним посоветуете делать?

Также на снимке виден клык, он тоже гноится и воспаляется периодически.

post-22431-0-09419300-1382806433_thumb.jpg

 

А это верхняя четвёрка. Месяц назад был сильный флюс, потом образовался свищ в десне и до сих пор там покраснение и воспаление. Немного шатается.

post-22431-0-71125700-1382806476_thumb.jpg

Изменено пользователем Mark77
Ссылка на комментарий

из помеченных зеленым, возможно можно спасти только 25з и то надо прицельный снимок смотреть или КТ.

 

еще нужно удалить все нижние фронтальные зубы (33,32,31,41) верхние восьмерки (18,28), 47 - скорее всего на удаление. 36 - тоже удалить. Кюретаж, обучение гигиене.

 

костная пластика и имплантация.

  • Поддерживаю 1
Ссылка на комментарий

Для публикации сообщений создайте учётную запись или авторизуйтесь

Вы должны быть пользователем, чтобы оставить комментарий

Создать аккаунт

Зарегистрируйте новый аккаунт в нашем сообществе. Это очень просто!

Регистрация нового пользователя

Войти

Уже есть аккаунт? Войти в систему.

Войти
×
×
  • Создать...
Вверх