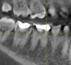
baroccco Опубликовано 16 октября, 2013 Поделиться Опубликовано 16 октября, 2013 на 3д снимке видно что-то вроде вторичного кариеса. Зуб иногда дает о себе знать неприятными ощущениями. Будут ли удалять нерв при перепломбировке? Откуда берется вторичный кариес? Ссылка на комментарий
Shaid Опубликовано 16 октября, 2013 Поделиться Опубликовано 16 октября, 2013 Распишите подробнее в чем именно заключаются "неприятные ощущения"?Но 100% ответ Вам сможет дать лишь специалист на очном осмотре.Причиной вторичного кариеса, как правило, могут быть нарушение краевого прилегания пломбы(т.е. между твердыми тканями зуба и пломбой), возникновение кариеса рядом с пломбой, оставленные под пломбой инфицированные кариозные ткани(но в этом случае уместнее говорить о рецидивирующем кариесе). 1 Ссылка на комментарий
baroccco Опубликовано 16 октября, 2013 Автор Поделиться Опубликовано 16 октября, 2013 (изменено) Распишите подробнее в чем именно заключаются "неприятные ощущения"?Но 100% ответ Вам сможет дать лишь специалист на очном осмотре.Причиной вторичного кариеса, как правило, могут быть нарушение краевого прилегания пломбы(т.е. между твердыми тканями зуба и пломбой), возникновение кариеса рядом с пломбой, оставленные под пломбой инфицированные кариозные ткани(но в этом случае уместнее говорить о рецидивирующем кариесе). стоматологи этот снимок не видели, на очном осмотре, сказали, что ничего срочного тут нет. Краевое прилегание нарушено, но внешне выглядит неплохо. неприятные ощущения заключаются в том, что я иногда "чувствую" этот зуб, онемение внутри, пульсирующие ощущения, которые быстро проходят, не знаю как описать еще. Неприятно иногда при смыкании, но боли нет. Изменено 16 октября, 2013 пользователем baroccco Ссылка на комментарий
baroccco Опубликовано 16 октября, 2013 Автор Поделиться Опубликовано 16 октября, 2013 похожая история с другой стороны.На 2д ортопантомограмме ничего такого не видно. Ссылка на комментарий
DmitrySH Опубликовано 16 октября, 2013 Поделиться Опубликовано 16 октября, 2013 Прилегание пломб на КТ не смотрят. Данная картинка не соответствует реальности. Ссылка на комментарий
IvanK Опубликовано 17 октября, 2013 Поделиться Опубликовано 17 октября, 2013 Прилегание пломб на КТ не смотрят. Данная картинка не соответствует реальности. + 1baroccco, пользуетесь зубной нитью? Ссылка на комментарий
baroccco Опубликовано 17 октября, 2013 Автор Поделиться Опубликовано 17 октября, 2013 (изменено) Прилегание пломб на КТ не смотрят. Данная картинка не соответствует реальности. так речь была про очный осмотр без снимков что вы имеете ввиду под "не соответствует реальности"? Изменено 17 октября, 2013 пользователем baroccco Ссылка на комментарий
baroccco Опубликовано 17 октября, 2013 Автор Поделиться Опубликовано 17 октября, 2013 + 1baroccco, пользуетесь зубной нитью?да, пару лет как уж. только этому кариесу наверное больше летвсе таки есть шанс что нерв мне удалять не будут при перепломбировке? Ссылка на комментарий
IvanK Опубликовано 17 октября, 2013 Поделиться Опубликовано 17 октября, 2013 да, пару лет как уж. только этому кариесу наверное больше летвсе таки есть шанс что нерв мне удалять не будут при перепломбировке? Шанс есть всегда.. 1 Ссылка на комментарий
DmitrySH Опубликовано 17 октября, 2013 Поделиться Опубликовано 17 октября, 2013 так речь была про очный осмотр без снимков что вы имеете ввиду под "не соответствует реальности"? На КТ пломбировочный материал создает тень. На прицельном снимке не будет таких очагов затемнения в зубе Ссылка на комментарий
baroccco Опубликовано 18 октября, 2013 Автор Поделиться Опубликовано 18 октября, 2013 На КТ пломбировочный материал создает тень. На прицельном снимке не будет таких очагов затемнения в зубеа почему материал создает тень только в тех местах, где мог бы быть интерпроксимальный кариес? Ссылка на комментарий
red_butler Опубликовано 18 октября, 2013 Поделиться Опубликовано 18 октября, 2013 а почему материал создает тень только в тех местах, где мог бы быть интерпроксимальный кариес? Если выставить срезы по другому, "тени" будут в других местах. Решение о необходимости эндодонтического лечения принимается на основании комплекса объективных данных, жалоб и сбора анамнеза (истории). А Rg, в т. ч. И Кт - дополнителный способ исследования 2 Ссылка на комментарий
Рекомендуемые сообщения
Для публикации сообщений создайте учётную запись или авторизуйтесь
Вы должны быть пользователем, чтобы оставить комментарий
Создать аккаунт
Зарегистрируйте новый аккаунт в нашем сообществе. Это очень просто!
Регистрация нового пользователяВойти
Уже есть аккаунт? Войти в систему.
Войти