Лара3 Опубликовано 9 сентября, 2013 Поделиться Опубликовано 9 сентября, 2013 Неделю назад мне лечили пришеечный кариес. Сейчас болит этот зуб больше чем до лечения(чувствителен)+ десна болит - врач ее сильно отодвинула и теперь десна в том же положении и не поднимаетя. Зуб жевательный и живой. Снимок есть но т.к. это передняя стенка зуба там пломбы даже не видно.У меня вопросы: 1. поднимется ли десна? 2. как быть с чувствительностью зуба - ждать или удалять нерв? Врач говорит, что полость неглубокая болеть недолжно, но на втором визите мы точили ступеньку от пломбы, которая мешала десне - в итоге зуб стал еще чувствительнее. Фторлаки не помогают(, Ссылка на комментарий
IvanK Опубликовано 9 сентября, 2013 Поделиться Опубликовано 9 сентября, 2013 Здравствуйте, выложите фото. Ссылка на комментарий
Лара3 Опубликовано 9 сентября, 2013 Автор Поделиться Опубликовано 9 сентября, 2013 Здравствуйте. Правда к сожалению, рентген не показывает пломбы с передней стенки, так что этот снимок все равно что ничего(( На жевательной поверхности зуба и на боковой, которые видны - старые пломбы - они как раз стоят нормально и не беспокоят. Ссылка на комментарий
IvanK Опубликовано 9 сентября, 2013 Поделиться Опубликовано 9 сентября, 2013 я имел ввиду фотографию Ссылка на комментарий
Лара3 Опубликовано 9 сентября, 2013 Автор Поделиться Опубликовано 9 сентября, 2013 попробую сделать Ссылка на комментарий
Лара3 Опубликовано 9 сентября, 2013 Автор Поделиться Опубликовано 9 сентября, 2013 Не удалалось фотографировать - это дальний зуб, фотоаппарат не фокусируется Ссылка на комментарий
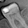
juli63 Опубликовано 9 сентября, 2013 Поделиться Опубликовано 9 сентября, 2013 Прилегание той пломбы, что на снимке видно- плохое, есть патологический процесс под ней, да и на контактной поверхности скрытый кариес. По мне, так -это 'мартышкин труд' Ссылка на комментарий
Лара3 Опубликовано 12 сентября, 2013 Автор Поделиться Опубликовано 12 сентября, 2013 (изменено) Прилегание той пломбы, что на снимке видно- плохое, есть патологический процесс под ней, да и на контактной поверхности скрытый кариес. По мне, так -это 'мартышкин труд'это скорее всего помеха рентгена, вот еще 1 снимок - там все в норме. к тому же к этой пломбе нет претензий и не было. Изменено 12 сентября, 2013 пользователем Лара3 Ссылка на комментарий
juli63 Опубликовано 12 сентября, 2013 Поделиться Опубликовано 12 сентября, 2013 Кариес скрытый у вас там. Снимок плохого качества. Ссылка на комментарий
Лара3 Опубликовано 22 сентября, 2013 Автор Поделиться Опубликовано 22 сентября, 2013 сейчас сам зуб не болит вроде но вот десна около пришеечный пломбы болит, хотя все гладко как говорят врачи, но пломба находится на границе корня и коронки и десна его чувствует(( пломба световая может не подходит она мне? до этого когда ставили хим пломбы и такого у меня не было... Ссылка на комментарий
Лара3 Опубликовано 22 сентября, 2013 Автор Поделиться Опубликовано 22 сентября, 2013 и еще вопрос: если заменят пломбу - своя зубная ткань уберется еще больше? Ссылка на комментарий
IvanK Опубликовано 22 сентября, 2013 Поделиться Опубликовано 22 сентября, 2013 сейчас сам зуб не болит вроде но вот десна около пришеечный пломбы болит, хотя все гладко как говорят врачи, но пломба находится на границе корня и коронки и десна его чувствует(( пломба световая может не подходит она мне? до этого когда ставили хим пломбы и такого у меня не было...сделайте фото Ссылка на комментарий
Лара3 Опубликовано 22 сентября, 2013 Автор Поделиться Опубликовано 22 сентября, 2013 зуб дальний не сделаешь, даже если и бы и возможно это было - свиду как будто абсолютно нормальный здоровый зуб, что не придраться. Ссылка на комментарий
Лара3 Опубликовано 22 сентября, 2013 Автор Поделиться Опубликовано 22 сентября, 2013 а временами челюсть в этом месте начал зудеть(( Ссылка на комментарий
Рекомендуемые сообщения
Для публикации сообщений создайте учётную запись или авторизуйтесь
Вы должны быть пользователем, чтобы оставить комментарий
Создать аккаунт
Зарегистрируйте новый аккаунт в нашем сообществе. Это очень просто!
Регистрация нового пользователяВойти
Уже есть аккаунт? Войти в систему.
Войти