Ilyas1701 Опубликовано 20 августа, 2013 Поделиться Опубликовано 20 августа, 2013 (изменено) Лечил нижнюю 6, зуб наполовину откололся, но не шатался, до этого там была пломба которая вылетела а за ней и часть зуба (внутренняя) стенка. До лечения я был уверен, что болит этот зуб, а после лечения сразу как только прошла анастезия у меня была похожая боль что и до этого, только теперь она где то в челюсти, отдает в висок и ухо, иногда усиливается, иногда стихает. Сходил в другую стоматологию, сделали прицельный снимок леченного зуба и сказали что гранулема, с этим снимком я пошел обратно в свою, все им выложил на что мне два врача сказали что этот зуб в порядке,а болит верхний зуб с глубокой дыркой. Услышав заверения двух врачей что боль пропадет как только мне вылечат верхний пульпит, я согласился. Зуб вылечили, но почти сразу после того как я вышел из кабинета почувствовал уже почти привычную сильную боль в нижней челюсти и ухе.дома она стала сильнее...Врач который лечил нижнюю 6 ушел в отпуск и когда я начал говорить о перелечивании по гарантии мне сказали что если нужно будет перелечивать то придется две недели ждать того врача! А у меня жуткие боли уже итак почти целую неделю, и что мне теперь еще 2 недели ждать? (это мне сказали перед лечением второго зуб когда я пришел со снимком из другой стоматологии) Припухлости ни на щеке ни на деснах ничего такого нет, на вид все кажется в норме.Подскажите что делать в этом случае пожалуйста, я уже так замучился, и если кто знает чем лучше обезболивать? Пока я и врачи будем разбираться в чем дело или кто виноват...Принимал кеторол 5 дней 30 мг в сутки, но как я понял больше принимать нельзя его, взял пока что нурофен Изменено 20 августа, 2013 пользователем Ilyas1701 1 Ссылка на комментарий
IvanK Опубликовано 20 августа, 2013 Поделиться Опубликовано 20 августа, 2013 Здравствуйте,нужны объективные данные.http://forum.stom.ru/topic/20613-sovety-patcientam-obiazatelno-k-prochteniiu/ Ссылка на комментарий
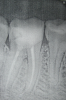
Ilyas1701 Опубликовано 20 августа, 2013 Автор Поделиться Опубликовано 20 августа, 2013 (изменено) Снимок вылеченной 46 (если я правильно понял обозначения зубов в стоматологии, а так он снизу справа 6 от центра) спустя 5 дней после леченияЕще сегодня вечером поднялась температура немного....правда я и без зубов болел не так давно, тоже была температура+ инфа: спустя 5 дней он реагирует еще на надкусывание, боль не дикая, в виски и в ухо сильнее вроде как не отдает, но тем не менее она есть Изменено 20 августа, 2013 пользователем Ilyas1701 Ссылка на комментарий
juli63 Опубликовано 20 августа, 2013 Поделиться Опубликовано 20 августа, 2013 Здравствуйте. В 46 зубе конкретный периодонтит, который начал обостряться. Единственное решенее- идти в другую клинику.Я не могу понять, чем руководствуется пациент, когда добровольно собирается наступить на те же грабли? Вас вводят в заблуждение. Какие гарантии, о чем речь? Рискуете заработать осложнение заболевания. По возможности ищите эндодонтиста. Ссылка на комментарий
Ilyas1701 Опубликовано 20 августа, 2013 Автор Поделиться Опубликовано 20 августа, 2013 Я тут подумал, болит ухо висок и правый угол челюсти, большую часть времени болезненность идет от уха, оно кажется заложенным еще...Буквально за неделю до всего этого я перенес простуду, сильный насморк, постоянно закладывало уши...Мне лечили два зуба а боль она все та же уже 6 день, так может у меня отит среднего уха после перенесенной простуды? Ссылка на комментарий
juli63 Опубликовано 20 августа, 2013 Поделиться Опубликовано 20 августа, 2013 Да хоть "потертость левой пятки"- 46 зуб перелечивать надо. Боль может иррадиировать. А с ушами это не к нам. Ссылка на комментарий
Ilyas1701 Опубликовано 21 августа, 2013 Автор Поделиться Опубликовано 21 августа, 2013 То есть полечив зуб в платной стоматологии за 2300 мне нужно после этого не использовать гарантию и перелпчивать его в другой за 10 или больше? (Поправьте если ошибаюсь)Я просто даже не знаю что сказать...как минимум таких больших денег у меня нет, уже потрачено 5...а я не работающий в данный момент студент, даже если найти работу то по сути работать один или больше месяцев только на одни зубы... Ссылка на комментарий
juli63 Опубликовано 21 августа, 2013 Поделиться Опубликовано 21 августа, 2013 Лечите, по гарантии, потом имплант поставите. Хорошее лечение стоит денег. Ссылка на комментарий
Ilyas1701 Опубликовано 21 августа, 2013 Автор Поделиться Опубликовано 21 августа, 2013 Лечите, по гарантии, потом имплант поставите. Хорошее лечение стоит денег.В первую очередь меня беспокоит боль...мне уже лечили 3 зуба один из которых неудачно а боль как была так и есть... Ссылка на комментарий
Alisa st Опубликовано 21 августа, 2013 Поделиться Опубликовано 21 августа, 2013 Между корнями трещина, или мне кажется? Ссылка на комментарий
red_butler Опубликовано 21 августа, 2013 Поделиться Опубликовано 21 августа, 2013 Между корнями трещина, или мне кажется?Скорее всего это артефакт, связанный с тем, что снимок распечатан не на фотобумаге Ссылка на комментарий
Рекомендуемые сообщения
Для публикации сообщений создайте учётную запись или авторизуйтесь
Вы должны быть пользователем, чтобы оставить комментарий
Создать аккаунт
Зарегистрируйте новый аккаунт в нашем сообществе. Это очень просто!
Регистрация нового пользователяВойти
Уже есть аккаунт? Войти в систему.
Войти