Маруся34 Опубликовано 16 августа, 2013 Поделиться Опубликовано 16 августа, 2013 Удалила 14 зуб 10 дней назад. На зубе была киста, свищ, небольшая припухлость щеки, незаметная для окружающих.Сейчас щека припухла, не сказать, чтобы ужас,но на работе уже замечают. Есть тупая боль, несильная.Сделали снимок, врач сказал, что все в порядке, должно пройти. Меня пугает, что отечность щеки увеличивается, а не проходит.Может ли быть такой отек от 6 зуба?Что посоветуете? Ссылка на комментарий
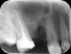
DmitrySH Опубликовано 16 августа, 2013 Поделиться Опубликовано 16 августа, 2013 Костные структуры в области шестого зуба не позволяют адекватно видеть его состояние. К щечным корням шестого зуба есть вопросы. Лечение желательно, но вот он создает проблему или нет - сложно сказать. Желательно сделать КТ. Ссылка на комментарий
Маруся34 Опубликовано 16 августа, 2013 Автор Поделиться Опубликовано 16 августа, 2013 А с удаленным зубом все в порядке? Говорят, лунка чистая. А по снимку что? Может от него быть отечность или точно не от него?Вопрос к питерским докторам: где сделать хорошее КТ, так чтобы было видно и пазуху гайморову тоже. Ссылка на комментарий
DmitrySH Опубликовано 16 августа, 2013 Поделиться Опубликовано 16 августа, 2013 А с удаленным зубом все в порядке? Говорят, лунка чистая. А по снимку что? Может от него быть отечность или точно не от него?Вопрос к питерским докторам: где сделать хорошее КТ, так чтобы было видно и пазуху гайморову тоже. Что с удаленным зубом - сложно сказать, но в полости рта его нет. Ссылка на комментарий
IvanK Опубликовано 16 августа, 2013 Поделиться Опубликовано 16 августа, 2013 Вопрос к питерским докторам: где сделать хорошее КТ, так чтобы было видно и пазуху гайморову тоже. см личку Ссылка на комментарий
Маруся34 Опубликовано 16 августа, 2013 Автор Поделиться Опубликовано 16 августа, 2013 Что с удаленным зубом - сложно сказать, но в полости рта его нет. Шутка удалась) Вы же поняли, что имею ввиду дырку от зуба)) Ссылка на комментарий
red_butler Опубликовано 17 августа, 2013 Поделиться Опубликовано 17 августа, 2013 Выложите фото лунки Ссылка на комментарий
juli63 Опубликовано 17 августа, 2013 Поделиться Опубликовано 17 августа, 2013 6 зуб нуждается в эндодонтическом лечении. Ссылка на комментарий
Маруся34 Опубликовано 17 августа, 2013 Автор Поделиться Опубликовано 17 августа, 2013 6 зуб нуждается в эндодонтическом лечении.А что там не так? Мне сказали, что есть перфорация корня, ничего уже не сделать. Мол, если будет беспокоить, то удалять, а так мол, живите дальше. Ссылка на комментарий
IvanK Опубликовано 18 августа, 2013 Поделиться Опубликовано 18 августа, 2013 А что там не так? Мне сказали, что есть перфорация корня, ничего уже не сделать. Мол, если будет беспокоить, то удалять, а так мол, живите дальше.Выложите больше информации В противном случае - тема исчерпала себя... Ссылка на комментарий
Маруся34 Опубликовано 20 августа, 2013 Автор Поделиться Опубликовано 20 августа, 2013 Сделала КТ, посмотрела инструкцию как выкладывать, папки DICOM у меня нет.Заархивировала нечто похожее, но вроде как оно. Если не то, напишите, пожалуйста, поробую скопировать весь диск.http://www.fayloobmennik.net/3113365В первую очередь меня волнует вопрос, что у меня с зубами 14-17? Что болит в этой области? 16? Ссылка на комментарий
IvanK Опубликовано 20 августа, 2013 Поделиться Опубликовано 20 августа, 2013 постарайтесь выложить скриншоты - будет быстрее. Ссылка на комментарий
Маруся34 Опубликовано 21 августа, 2013 Автор Поделиться Опубликовано 21 августа, 2013 Не получается. Там вся челюсть. Не знаю как сделать срезы. Ссылка на комментарий
Рекомендуемые сообщения
Для публикации сообщений создайте учётную запись или авторизуйтесь
Вы должны быть пользователем, чтобы оставить комментарий
Создать аккаунт
Зарегистрируйте новый аккаунт в нашем сообществе. Это очень просто!
Регистрация нового пользователяВойти
Уже есть аккаунт? Войти в систему.
Войти