prettywoman29 Опубликовано 10 августа, 2013 Поделиться Опубликовано 10 августа, 2013 Добрый день! Заболел 6-й зуб, сделали снимок и нашли еще кисту и на 5-м. Терапевт сказал, что нужно удалять оба зуба. Я в ужасе. Сейчас уже 5-й день открыт канал на 6-м и немного выходит гной (сделали для облегчения боли). Я полощу содой, боль утихла. Вопрос: возможно ли лечение? Снимок прикрепила.Заранее спасибо за ответ.С уважением, Ольга Ссылка на комментарий
IvanK Опубликовано 10 августа, 2013 Поделиться Опубликовано 10 августа, 2013 Здравствуйте.5 - удаление6 - попытка лечения с последующим протезированием коронкой. Либо удаление , с последующей имплантацией... Ссылка на комментарий
prettywoman29 Опубликовано 10 августа, 2013 Автор Поделиться Опубликовано 10 августа, 2013 Здравствуйте.5 - удаление6 - попытка лечения с последующим протезированием коронкой. Либо удаление , с последующей имплантацией... Спасибо за ответ. Уточните, пожалуйста, если 6-ку пытаться лечить, то 5-ку удалять перед лечением или оставить 5-ку с кистой пока лечим? Ссылка на комментарий
IvanK Опубликовано 10 августа, 2013 Поделиться Опубликовано 10 августа, 2013 Спасибо за ответ. Уточните, пожалуйста, если 6-ку пытаться лечить, то 5-ку удалять перед лечением или оставить 5-ку с кистой пока лечим?Идеальный вариант: найти Доктора, проконсультироваться очно и все решить.Если что, то удалить сразу 2а...Выложите фото Ссылка на комментарий
ger_berra Опубликовано 10 августа, 2013 Поделиться Опубликовано 10 августа, 2013 Спасибо за ответ. Уточните, пожалуйста, если 6-ку пытаться лечить, то 5-ку удалять перед лечением или оставить 5-ку с кистой пока лечим?Оба лечить,если есть возможность восстановления этих зубов.На 5-м не пойму,что там штифт или вкладка?Металлическое включение очень сильно "фонит". Если настроены на сохранение этих зубов,то лечить их нужно у специалиста по корневым каналом (эндодонтиста). "Открытым " способом и полосканиями зубы не спасти. Ссылка на комментарий
prettywoman29 Опубликовано 10 августа, 2013 Автор Поделиться Опубликовано 10 августа, 2013 Я консультировалась у терапевта и у хирурга. Терапевт сказал, что очень большая зона затемнения - лучше удалить. А хирург по снимку сказал, что на 5-м нельзя делать резекцию корня т.к. лицевой нерв рядом (что опасно) и даже если делать резекцию, то нельзя допустить соприкосновения вкладки с тканями. Т.е. удаление, а 6-ку хирург сказал, что возможно лечить без гарантии. Я вообще не представляю, как это удалить два зуба( Ссылка на комментарий
ger_berra Опубликовано 10 августа, 2013 Поделиться Опубликовано 10 августа, 2013 Я консультировалась у терапевта и у хирурга. Терапевт сказал, что очень большая зона затемнения - лучше удалить. А хирург по снимку сказал, что на 5-м нельзя делать резекцию корня т.к. лицевой нерв рядом (что опасно) и даже если делать резекцию, то нельзя допустить соприкосновения вкладки с тканями. Т.е. удаление, а 6-ку хирург сказал, что возможно лечить без гарантии. Я вообще не представляю, как это удалить два зуба( Размер очага разрушения костной ткани большого значения не имеет.Ищите другого доктора. 1 Ссылка на комментарий
IvanK Опубликовано 10 августа, 2013 Поделиться Опубликовано 10 августа, 2013 Я консультировалась у терапевта и у хирурга. Терапевт сказал, что очень большая зона затемнения - лучше удалить. А хирург по снимку сказал, что на 5-м нельзя делать резекцию корня т.к. лицевой нерв рядом (что опасно) и даже если делать резекцию, то нельзя допустить соприкосновения вкладки с тканями. Т.е. удаление, а 6-ку хирург сказал, что возможно лечить без гарантии. Я вообще не представляю, как это удалить два зуба( Тогда рекомендую обратиться к Коллеге ger_berra Ссылка на комментарий
juli63 Опубликовано 11 августа, 2013 Поделиться Опубликовано 11 августа, 2013 Идеальный вариант: найти Доктора, проконсультироваться очно и все решить.Если что, то удалить сразу 2а... +1 Оба лечить,если есть возможность восстановления этих зубов. Если настроены на сохранение этих зубов,то лечить их нужно у специалиста по корневым каналом (эндодонтиста). "Открытым " способом и полосканиями зубы не спасти.+1, и еще нужно обратить вниманее на 22 зуб. Однозначно, в лечении, покрытии коронками нуждаются и другие зубы, конкретно какие, как уже сказали, уточняйте на очном приеме. Смените врача. Ссылка на комментарий
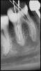
prettywoman29 Опубликовано 12 августа, 2013 Автор Поделиться Опубликовано 12 августа, 2013 (изменено) Решили пробовать 6-ку лечить:Вот моя попытка - выкладываю снимок, один канал не прошли, зуб еще в школе лечился-убивался формальдегидом (надеюсь, что правильно написала). Мне бы очень не хотелось удалять. Есть ли смысл бороться? Изменено 12 августа, 2013 пользователем prettywoman29 Ссылка на комментарий
Magdalena Опубликовано 12 августа, 2013 Поделиться Опубликовано 12 августа, 2013 Ищете эндодонтиста, работающего с микроскопом, без увеличения у зуба больше шансов на удаление, ступень, которая есть в канале, вслепую пройти очень и очень проблематично, риск перфорации (дырки в корне) высокий. Ссылка на комментарий
IvanK Опубликовано 12 августа, 2013 Поделиться Опубликовано 12 августа, 2013 Я за удаление.. Ссылка на комментарий
juli63 Опубликовано 12 августа, 2013 Поделиться Опубликовано 12 августа, 2013 . Есть ли смысл бороться? Вам уже сказали, что смысл лечить есть, но с оптикой. Ищете эндодонтиста, работающего с микроскопом, без увеличения у зуба больше шансов на удаление, ступень, которая есть в канале, вслепую пройти очень и очень проблематично, риск перфорации (дырки в корне) высокий.+100 Ссылка на комментарий
АнтонТЛТ Опубликовано 12 августа, 2013 Поделиться Опубликовано 12 августа, 2013 Я за удаление..Что за негатив? 1 Ссылка на комментарий
IvanK Опубликовано 12 августа, 2013 Поделиться Опубликовано 12 августа, 2013 Что за негатив? перспектива не нравится Ссылка на комментарий
prettywoman29 Опубликовано 12 августа, 2013 Автор Поделиться Опубликовано 12 августа, 2013 перспектива не нравится мне тоже Ссылка на комментарий
juli63 Опубликовано 12 августа, 2013 Поделиться Опубликовано 12 августа, 2013 перспектива не нравится Ну еще несколько мм и можно будет прощаться . Но еще не все потеряно Пока перфо нет, рука не поднимается. 1 Ссылка на комментарий
IvanK Опубликовано 12 августа, 2013 Поделиться Опубликовано 12 августа, 2013 Ну еще несколько мм и можно будет прощаться . Но еще не все потеряно Пока перфо нет, рука не поднимается.я уже готов Ссылка на комментарий
ger_berra Опубликовано 14 августа, 2013 Поделиться Опубликовано 14 августа, 2013 Уже тоже хочется удалить... 1 Ссылка на комментарий
M@estro Опубликовано 14 августа, 2013 Поделиться Опубликовано 14 августа, 2013 Я тоже за удаление. Несчастный зуб. Пятый тоже,видимо,судя по предполагаемому разрушению коронковой части ниже уровня десны и общей картины (в т.ч. периапикально) 1 Ссылка на комментарий
IvanK Опубликовано 14 августа, 2013 Поделиться Опубликовано 14 августа, 2013 Я тоже за удаление. Несчастный зуб. Пятый тоже,видимо,судя по предполагаемому разрушению коронковой части ниже уровня десны и общей картины (в т.ч. периапикально)И тебе лайк Ссылка на комментарий
ger_berra Опубликовано 15 августа, 2013 Поделиться Опубликовано 15 августа, 2013 Я тоже за удаление. Несчастный зуб. Пятый тоже,видимо,судя по предполагаемому разрушению коронковой части ниже уровня десны и общей картины (в т.ч. периапикально)Уверена,что лечение было бютжененькое. Ссылка на комментарий
DmitrySH Опубликовано 16 августа, 2013 Поделиться Опубликовано 16 августа, 2013 Если у хозяйки темы бюджет не очень велик, то лучше сразу удалить оба. и имплантация. Да, это дороже, но более прогнозируемо. Ссылка на комментарий
prettywoman29 Опубликовано 17 августа, 2013 Автор Поделиться Опубликовано 17 августа, 2013 Если у хозяйки темы бюджет не очень велик, то лучше сразу удалить оба. и имплантация. Да, это дороже, но более прогнозируемо. Лечение было вовсе не бюджетное - но т.к. зубы с детства плохие эту первую коронку я ставила еще лет 12 назад... я постоянный клиент стоматологов и трачу на стоматологию очень много, пытаясь сохранить то, что есть По поводу бюджета на лечение - он неограничен, но если бы найти грамотного эндодонтиста с опытом...пока что этого сделать не получается...в Москве стало очень много клиник с микроскопом..но.......Может кто-то подскажет грамотного врача с оборудованием и опытом, который мог бы взяться за мою попытку лечения? Заранее спасибо. Ссылка на комментарий
prettywoman29 Опубликовано 17 августа, 2013 Автор Поделиться Опубликовано 17 августа, 2013 Лечение было вовсе не бюджетное - но т.к. зубы с детства плохие эту первую коронку я ставила еще лет 12 назад... я постоянный клиент стоматологов и трачу на стоматологию очень много, пытаясь сохранить то, что есть По поводу бюджета на лечение - он неограничен, но если бы найти грамотного эндодонтиста с опытом...пока что этого сделать не получается...в Москве стало очень много клиник с микроскопом..но.......Может кто-то подскажет грамотного врача с оборудованием и опытом, который мог бы взяться за мою попытку лечения? Заранее спасибо. Имплантация - для меня сложно, у меня больше шансов, что не приживется (особенности организма) + если удалять,то тоже не факт что все очаги инфекции уйдут и можно пробовать импланты? А мосты ставить, совсем не хотелось бы( Ссылка на комментарий
Рекомендуемые сообщения
Для публикации сообщений создайте учётную запись или авторизуйтесь
Вы должны быть пользователем, чтобы оставить комментарий
Создать аккаунт
Зарегистрируйте новый аккаунт в нашем сообществе. Это очень просто!
Регистрация нового пользователяВойти
Уже есть аккаунт? Войти в систему.
Войти