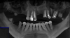
Olga NSK Опубликовано 9 августа, 2013 Поделиться Опубликовано 9 августа, 2013 Здравствуйте!Всю жизнь боялась стоматологического лечения + ужасная наследственность, результат видно на снимке. Единичные вылазки были, но довести дело до конца не удавалось ни разу - саботировала и пропадала. Но после курса психотерапии (не по поводу конкретно стоматологии, а вообще) таки решилась. Записалась на три консультации в разные клиники, жду будущей недели.На 11 и 23 стоял мост, закрывая отсутствующие 21 и 22, сейчас сломан и не функционален, исключительно декор, чинить его не хочу, а хочу: п.1 Санация. Скорее всего, синус-лифтинг. Имплантировать 21 и 22, на 11, 23, 24, 45 - коронки. 27, скорее всего, предложат удалять - над ним в десне свищ и он сильно наклонился и съехал, занимая место почти отсутствующих 26 и 26. Поставить на место отстутствующих жевательных зубов нейлоновые съёмные на время накопления средств на следующий пункт. п.2 Имплантировать 25, 26, 27 и 36, 37. Сделать паузу на накопление средств на п.3, оставив нейлон на правой стороне. п.3 Имплантировать 14, 15, 16, 17 и 46, 47. Вопрос в том - делают ли так вообще? Если делают, то верен ли мой план протезировать разом не по челюстям (сначала нижнюю, потом верхнюю), а по сторонам? Съёмные в плане изчезновения кости и дёсен мне не страшны, т.к. жевательные отсутствуют давно.Заранее спасибо Ссылка на комментарий
IvanK Опубликовано 10 августа, 2013 Поделиться Опубликовано 10 августа, 2013 http://fotohost.kz/images/2013/08/10/k9SUc.png Ссылка на комментарий
IvanK Опубликовано 10 августа, 2013 Поделиться Опубликовано 10 августа, 2013 ЗдравствуйтеУдаление корня 17, корня 25, 26?, 27,38,48Синус лифтинг справа, слева? далее имплантацияНижняя челюсть: имплантация Хирургические этапы Вы можете разбить, протезировать нужно все вместе.Мне не нравятся лечение с ношением съемного протеза Съёмные в плане изчезновения кости и дёсен мне не страшны, т.к. жевательные отсутствуют давно. очень возможно, что потребуется работа по "наращиванию" костной ткани + работа с мягкими тканями Ссылка на комментарий
Olga NSK Опубликовано 12 августа, 2013 Автор Поделиться Опубликовано 12 августа, 2013 (изменено) Хирургические этапы Вы можете разбить, протезировать нужно все вместе.Мне не нравятся лечение с ношением съемного протеза Спасибо! Судя по всему, никому не нравится Эх, а я нафантазировала. Сегодня я совсем без паники посетила первую консультацию, не пыталась сбежать, покусать врачей, сердце моё билось ровно, и я могла связно общаться Такая радость.Был предложен вариант восстанавливать до шестёрок.Внизу три имплантата - врачу не понравилась моя пятёрка (45), сказал, что она повернулась прим. на 90 градусов, и поэтому под коронку не годится, вместо неё будет имплантат. + обе шестёрки, без костной пластики, 3,3 подходят, кость позволяет.Наверху не всё так просто, есть несколько огорчающих моментов.Первый - мой единственный везучий (ну и что, что 13?) здоровый зуб будет обточен. Второе - безметалловой керамики на единицы и двойки мне не светит, а я так хотела за такие-то деньжищщи получить максимальную эстетику. Врач сказал, что они делают такое при протезировании одного зуба, в моём варианте конструкция не предусматривает. Эх. Уж очень я насмотрелась на металлокерамику, хоть убейте - я её за три км вижу + зачастую эти темные границы. Огорчена, в общем. 24 кандидат на удаление - киста + корни сложноизогнутые. Спросила про 11 - там тоже киста, и больше в два раза, но его спасает прямой канал, он вместе с 12, 23 и, к моему удивлению, 27 - на перелечивание. Имплантаты будут стоять 14 и 16. Пластика в районе 14-16 и 21-22 + там же работа с мягкими тканями для восстановления эстетики - я улыбаюсь так, что видно десну, и все годы, что стоял мост, была сурова и мрачна, потому как обошлась самым бюджетным вариантом, в которую пластика(?) мягких тканей не входила. Не спросила: возможность ремонта верхней конструкции при нужде, марку имплантата, на каких условиях переделка, если понадобится. Впереди ещё две консультации, может, я что-то упускаю в плане вопросов? Что бы вы, уважаемые врачи, посоветовали пациентам узнавать у вас? Изменено 12 августа, 2013 пользователем Olga NSK Ссылка на комментарий
Olga NSK Опубликовано 15 августа, 2013 Автор Поделиться Опубликовано 15 августа, 2013 Вторая консультация пройдена. Так как я уже уяснила, что план предлагает врач, а мои пожелания принимаются или нет по возможности, я просто сидела и слушала, а потом задавала вопросы.Во втором месте мне было предложено тоже восстанавливать до шестёрок, но на нижнюю челюсть два имплантата, про удаление 45 даже не говорили - идёт под лечение и коронку. Была одновременная консультация ортопеда и имплантолога, томограмму мою никто не смотрел, сказали, что нужно будет сделать прицельные рентген-снимки отдельных зубов (вопрос специалистам: скажите, томограмма недостаточно информативна? задавала на консультации, ответ получила в таком виде: "позже она обязательно понадобится") Зато очень тщательно смотрели как я улыбаюсь, как совмещаются челюсти, здесь заметили особенность строения, которую если и заметил, то не озвучил врач в первом месте - середина ВЧ не совпадает с серединной линией лица. С НЧ всё ок, а ВЧ устроена так, что 11 зуб расположен над 31-41. После обнаружения этой проблемы сказал, что пока не может предложить мне никакого варианта, пока не сделает диагностическую модель - слепок. И опять мне не хотят ставить имплантаты на 11,12. Хирург посмотрела как я улыбаюсь, и сказала - у вас верхняя улыбка, а имплантация это операция, будут тяжи и шрамы. На жевательную зону - без проблем. Этой фразой я озадачена, у меня были другие представления.Объясню - почему хочу имплантаты вперёд - два корня отсутствуют, и при моей незажатой улыбке это видно, т.е. на десне углубление. Полагала, что имплантация эту проблему решит, а мне уже два врача говорят, что туда только мост. Но мост же не решит проблему недостатка десны? Ссылка на комментарий
Рекомендуемые сообщения
Для публикации сообщений создайте учётную запись или авторизуйтесь
Вы должны быть пользователем, чтобы оставить комментарий
Создать аккаунт
Зарегистрируйте новый аккаунт в нашем сообществе. Это очень просто!
Регистрация нового пользователяВойти
Уже есть аккаунт? Войти в систему.
Войти