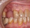
kriokov Опубликовано 22 июля, 2013 Поделиться Опубликовано 22 июля, 2013 пациенту в одной из клиник удалили 14 и 15 заподозрили кисту и сообщение. На момент осмотра свищ с гнойным отделяемым из лунки 14, мягкие ткани не айс, решил соперировать через 6 недельсообщение с пазухой было дистально ближе к 16, гной был, но не много, оболочка отошла терпимо, без кускования. Графт и мембрану не использовал. Заживление первичное. Из медикаментов- амоксиклав за сутки до и 5 суток после, нафтизин 3 дня, найз три дня 4 Ссылка на комментарий
johniola Опубликовано 22 июля, 2013 Поделиться Опубликовано 22 июля, 2013 вкусно! Ссылка на комментарий
kriokov Опубликовано 22 июля, 2013 Автор Поделиться Опубликовано 22 июля, 2013 в названии темы опечатался. Киста правосторонняя. Ссылка на комментарий
IvanK Опубликовано 22 июля, 2013 Поделиться Опубликовано 22 июля, 2013 Покажешь через 2-3 мес? Ссылка на комментарий
kriokov Опубликовано 22 июля, 2013 Автор Поделиться Опубликовано 22 июля, 2013 Иван ,едва ли, хотя самому интересно. Пациент военнослужащий, следующий отпуск через год. 1 Ссылка на комментарий
АнтонТЛТ Опубликовано 22 июля, 2013 Поделиться Опубликовано 22 июля, 2013 Фото доступа есть? Ссылка на комментарий
kriokov Опубликовано 22 июля, 2013 Автор Поделиться Опубликовано 22 июля, 2013 Антон , фото доступа не делал. Доступ крестально с иссечением свища, далее дистально сулькулярно за 17 и вертикально за ним, медиально сулькулярно по клыку и вертикально около 1 см. (без вертикального на высоту для обзора отслоиться сложно, боялся порвать, вертикальный потом кетгутом 5\0 ушил, все остальное пга толстым)Окно костное делать почти не пришлось, там часть надкостницы сохранилось и оболочка, кортикальной вестибулярно минимум, вся узурированная. Вестибулярных стенок 14 и 15 считай нет. Ссылка на комментарий
Рекомендуемые сообщения
Для публикации сообщений создайте учётную запись или авторизуйтесь
Вы должны быть пользователем, чтобы оставить комментарий
Создать аккаунт
Зарегистрируйте новый аккаунт в нашем сообществе. Это очень просто!
Регистрация нового пользователяВойти
Уже есть аккаунт? Войти в систему.
Войти